Proteomic Profiles of Whole Seeds, Hulls, and Dehulled Seeds of Two Industrial Hemp (Cannabis sativa L.) Cultivars
Abstract
As a source of nutritionally important components, hemp seeds are often dehulled for consumption and food applications by removing the hard hulls, which increases their nutritional value. The hulls thus become waste, although they may contain valuable protein items, about which there is a lack of information. The present work is therefore aimed at evaluating the proteome of hemp (Cannabis sativa L.) at the whole-seed, dehulled seed, and hull levels. The evaluation was performed on two cultivars, Santhica 27 and Uso-31, using LC-MS/MS analysis. In total, 2833 protein groups (PGs) were identified, and their relative abundances were determined. A set of 88 PGs whose abundance exceeded 1000 ppm (MP88 set) was considered for further evaluation. The PGs of the MP88 set were divided into ten protein classes. Seed storage proteins were found to be the most abundant protein class: the averages of the cultivars were 65.5%, 71.3%, and 57.5% for whole seeds, dehulled seeds, and hulls, respectively. In particular, 11S globulins representing edestin (three PGs) were found, followed by 7S vicilin-like proteins (four PGs) and 2S albumins (two PGs). The storage 11S globulins in Santhica 27 and Uso-31 were found to have a higher relative abundance in the dehulled seed proteome (summing to 58.6 and 63.2%) than in the hull proteome (50.5 and 54%), respectively. The second most abundant class of proteins was oleosins, which are part of oil-body membranes. PGs belonging to metabolic proteins (e.g., energy metabolism, nucleic acid metabolism, and protein synthesis) and proteins related to the defence and stress responses were more abundant in the hulls than in the dehulled seeds. The hulls can, therefore, be an essential source of proteins, especially for medical and biotechnological applications. Proteomic analysis has proven to be a valuable tool for studying differences in the relative abundance of proteins between dehulled hemp seeds and their hulls among different cultivars.
Article type: Research Article
Keywords: industrial hemp, hulls, dehulled seeds, proteomic profile, 11S globulin
Affiliations: Department of Plant Production, Faculty of Agriculture and Technology, University of South Bohemia, 370 05 České Budějovice, Czech Republic; barta@fzt.jcu.cz (J.B.); jarosovam@fzt.jcu.cz (M.J.); stupkova@fzt.jcu.cz (A.S.); Mendel Centre of Plant Genomics and Proteomics, Central European Institute of Technology, Masaryk University, 625 00 Brno, Czech Republic; pavel.roudnicky@ceitec.muni.cz (P.R.); zbynek.zdrahal@ceitec.muni.cz (Z.Z.); HEMP PRODUCTION CZ, Ltd., 262 72 Chraštice, Czech Republic; krejcova@ekonopi.cz (Z.K.); riha@ekonopi.cz (V.Ř.); Department of Dairy, Fat and Cosmetics, University of Chemistry and Technology, 166 28 Prague, Czech Republicvladimir.filip@vscht.cz (V.F.); Department of Food Biotechnology and Agricultural Products Quality, Faculty of Agriculture and Technology, University of South Bohemia, 370 05 České Budějovice, Czech Republicsmetana@fzt.jcu.cz (P.S.)
License: © 2023 by the authors. CC BY 4.0 Licensee MDPI, Basel, Switzerland. This article is an open access article distributed under the terms and conditions of the Creative Commons Attribution (CC BY) license (https://creativecommons.org/licenses/by/4.0/).
Article links: DOI: 10.3390/plants13010111 | PubMed: 38202419 | PMC: PMC10780685
Relevance: Core topic: mentioned in title and keywords
Full text: PDF (866 KB)
1. Introduction
Hemp (Cannabis sativa L.), also known as industrial hemp, has long been cultivated as a source of solid and durable fibre in the stems, oily seeds, and active compounds useful in medicine [ref. 1,ref. 2]. Compared to Cannabis indica, most industrial hemp cultivars contain low levels of the drug tetrahydrocannabinol (THC), which has enabled an increase in its acreage in much of the world today. In addition to the valuable fibre, the seeds represent another important and economically exploitable component [ref. 3].
Hemp seeds are nutritionally very valuable; on average, whole seeds contain 25–35% fat, 20–28% protein, 25–37% carbohydrate (including fibre), 5–6% ash, and 4–8% moisture [ref. 1,ref. 3,ref. 4]. A large proportion of hemp seeds are used (mainly through cold pressing) to produce hemp oil, which is valued for its high content of polyunsaturated fatty acids. A number of papers [ref. 5,ref. 6,ref. 7,ref. 8,ref. 9] report a polyunsaturated fatty acid content of over 70% in the oil, mainly the essential n-6 linoleic acid (around 55%) and n-3 alpha-linolenic acid (12–18%) and minor levels of n-6 gamma-linolenic acid (1–3%) and n-3 stearidonic acid (<1%).
In addition to the oil, hemp seeds also contain easily digestible protein with a good amino acid composition, in which arginine plays an important role. Compared to soybean proteins, hemp seed proteins do not contain protease inhibitors in large amounts and are also considered less allergenic than proteins from other plant seeds [ref. 10]. Like the seeds of other dicotyledonous plants, hemp seed proteins are mainly represented by the globulin fraction (around 75%), with the rest being albumins [ref. 11,ref. 12].
Globulins are predominantly represented by the legumin-like 11S protein family [ref. 2,ref. 13], which, in hemp seed, is represented by edestin, which has a hexameric structure in its native state [ref. 12,ref. 14,ref. 15]. The edestin monomer has a molecular weight (MW) of 52–54 kDa and is composed of acidic (MW around 34 kDa) and basic (MW 20–25 kDa) polypeptides, which are linked together by a disulphide bond [ref. 12]. Edestin is a storage protein in the seed and is present in 60–80% of the total protein pool of hemp seeds [ref. 2,ref. 14]. The minor fraction of globulins is represented by the trimeric 7S protein (MW monomer 47-48 kDa), one of the vicilin-like proteins [ref. 4,ref. 16]. Albumin is mainly represented by a 10 kDa protein (2S albumin), which is 18% by weight of sulphur amino acids (cysteine, methionine) and, therefore, belongs to the group of sulphur-rich proteins [ref. 12].
Regarding the study of the protein profile of hemp seeds, several proteomic studies are available that deal with the analysis of proteins in whole seeds [ref. 17,ref. 18], in protein isolates [ref. 4,ref. 10], or in products after extrusion treatment [ref. 19]. Some studies [ref. 20,ref. 21,ref. 22] also present proteomic techniques as a tool suitable for verifying the authenticity of foods and their composition or assessing foods for the presence of allergens, which can be used to verify the addition of flours prepared from oilseeds (including hemp seeds) to food products. Most of the works [ref. 4,ref. 10,ref. 18,ref. 19,ref. 22] mentioned edestins or 11S globulins as major proteins in hemp seeds. Other proteins identified included proteins responsible for the biocatalysis of metabolic pathways, proteins related to nucleic acid and protein synthesis, proteins associated with membrane structures and functions, and stress proteins [ref. 17,ref. 18].
The above-mentioned studies [ref. 4,ref. 10,ref. 17,ref. 18,ref. 19] addressed protein number and identification using available databases but did not compare the relative abundance of identified items within the hemp seed protein pool. Moreover, in these studies, only one hemp cultivar was always used as the source of seed material, so information on varietal differences is lacking. Hemp seeds (more correctly, hemp achene) are dehulled for direct consumption and other food applications, which involves removing the hard, difficult-to-eat hull consisting of the pericarp and the seed coat layers, which contain primarily insoluble and indigestible fibre. On the other hand, dehulling increases the concentration of fat and protein in the dehulled seed [ref. 23]. It may thus alter the relative abundance of protein items in the dehulled seed compared to the whole (unhulled) seed. The hulls themselves can be finely ground, and the resulting powder (flour) can be used to fortify bakery, meat, or other food products with fibre and vegetable protein. However, the protein profiles of the hulls in terms of the presence and relative abundance of the different protein items have not been investigated, and information is completely lacking. Knowledge of the differences between the proteomes of the pericarp and the dehulled seed may be essential from the biological, nutritional, and technological points of view, as well as from the point of view of potential health risks and food safety.
Nowadays, the gel-free approach utilising LC-MS/MS analysis is the most efficient tool allowing the deep coverage of proteomes. The perspectives and potential of seed proteomics were recently reviewed by Smolikova et al. [ref. 24].
To increase the knowledge about the possibilities of using hemp seeds, dehulled seeds, and hulls as protein sources, the objectives of this study were (i) to perform proteomic characterisation at the level of whole seeds, dehulled seeds, and hulls; (ii) to evaluate the differences in the relative abundance of significant proteins and protein classes in these seed products in two industrial hemp cultivars.
2. Results and Discussion
2.1. Protein and Fat Contents in Original and Defatted Seed Product Samples
Protein and fat are the most valuable components of hemp seeds. As shown in Table 1, for both cultivars evaluated, Uso-31 and Santhica 27, the protein content of whole original seeds was found to be around 26–28% of dry matter (DM), and the fat content was around 29% of DM. The fat content of the whole seed corresponds to the usually reported data [ref. 1]; the protein content found is higher than or at the upper limit of the already-reported values of 20–25% [ref. 1] or 21.3–28.1% [ref. 3].
Table 1: Dry matter, protein, and fat contents in evaluated hemp seed samples (mean ± standard deviation).
| Material | Cultivar | Variant | Dry Matter Content (% FM) | Protein Content (% DM) | Fat Content (% DM) |
|---|---|---|---|---|---|
| Original | Uso-31 | whole seeds | 92.01 ± 0.07 b | 25.79 ± 1.68 e | 29.40 ± 0.87 b |
| hulls | 91.57 ± 0.13 bc | 13.40 ± 0.16 h | 6.19 ± 0.19 d | ||
| dehulled seeds | 94.84 ± 0.07 a | 35.35 ± 0.07 d | 49.07 ± 0.41 a | ||
| Santhica 27 | whole seeds | 91.39 ± 0.05 bc | 27.74 ± 1.70 e | 28.65 ± 0.63 b | |
| hulls | 91.39 ± 0.86 bc | 19.20 ± 0.62 g | 15.43 ± 0.92 c | ||
| dehulled seeds | 93.87 ± 0.62 a | 35.61 ± 0.31 cd | 49.34 ± 0.79 a | ||
| Defatted | Uso-31 | whole seeds | 89.96 ± 0.17 d | 37.85 ± 0.83 c | 1.18 ± 0.26 e |
| hulls | 91.19 ± 0.09 bc | 17.08 ± 0.18 g | 0.05 ± 0.09 e | ||
| dehulled seeds | 91.38 ± 0.25 bc | 71.74 ± 0.15 a | 0.27 ± 0.15 e | ||
| Santhica 27 | whole seeds | 89.76 ± 0.06 d | 35.83 ± 0.89 cd | 0.64 ± 0.13 e | |
| hulls | 90.63 ± 0.20 cd | 21.79 ± 0.21 f | 0.23 ± 0.19 e | ||
| dehulled seeds | 90.09 ± 0.25 d | 68.50 ± 0.44 b | 0.04 ± 0.04 e |
DM—dry matter; FM—fresh matter; Different letters in columns indicate the statistically significant difference at p < 0.05 (Tukey HSD test).
The dehulled original (non-defatted) seed has increased protein and fat contents, with values of 35% and 49%, respectively, in the two cultivars evaluated compared to the original whole seed (Table 1), which is roughly consistent with the literature reports [ref. 23,ref. 25]. In contrast, according to the literature data, significantly lower protein and fat contents were found in hulls, which have a high fibre content [ref. 25]. In the case of hulls, the effect of the cultivar on the separation of the hull from the rest of the seed seems to be more pronounced, as the reduction in the protein and fat contents of hulls relative to the whole seed does not occur in the same proportion in the two cultivars evaluated. In the case of the cultivar Uso-31, there was a reduction in the protein content of the hulls from 25.8 to 13.4% of DM (relative reduction to 51.9% content of original seed) and a reduction in the fat content from 29.4 to 6.2% (relative reduction to 21.1%). In the case of Santhica 27, there was a lower reduction in the protein and fat contents of the hulls, close to the values in the whole seed: the protein content was reduced from 27.7 to 19.2% (relative reduction to 69.3%), and the fat content was reduced from 28.7 to 15.4% (relative reduction to 53.7%).
For the defatted variants of the samples, which were subsequently subjected to detailed proteomic analysis, the fat content was reduced to below 1% of dry matter in almost all samples due to defatting with an organic solvent. The protein content increased in all samples due to defatting, with the dehulled seed samples showing an increase in protein content to above 65%, the value reported as the minimum protein content for protein concentrate products [ref. 26]. The increase in protein content is correlated with the original fat content removal. Thus, the highest growth in protein content was obtained in the dehulled seeds, from 35.4 to 71.7% of DM for the cultivar Uso-31 and from 35.6 to 68.5% of DM for the cultivar Santhica 27. Shen et al. [ref. 27] also observed increased protein content in flour and protein isolates prepared from dehulled seeds compared to the non-dehulled variants. However, they found only 41.8% protein content (Nx6.25) and 8.8% residual fat content (at 4.3% moisture content) for flour prepared from dehulled seeds after mechanical defatting, which is lower than our findings.
The results indicate that the mechanical separation of the hulls from hemp seeds is one of the two processes that significantly affect the production of hemp seed products with different primary nutrient contents. The second process should be defatting [ref. 28], either through mechanical pressing and fat extraction using an organic solvent or direct solvent use. Combining both processes (dehulling and defatting) can be essential to obtain concentrates with a higher protein content.
2.2. Characterisation of Seed Protein Pool
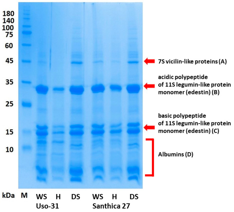
The essential features of the protein profiles of defatted seed, defatted hull, and dehulled seed samples are evident after one-dimensional SDS-PAGE (Figure 1). Four main zones of protein bands (A–D) are clear for all three types of samples of the two cultivars evaluated. However, the protein bands in the four zones mentioned above have different intensities. The A-zone region, with the weakest staining intensity, should represent a 7S vicilin-like protein with an MW of 47–48 kDa, similarly reported by several studies [ref. 12,ref. 29,ref. 30,ref. 31]. The most intense protein bands are those in zones B and C, which represent acidic (MW 30–35 kDa) and basic (MW 18–20 kDa) polypeptides of the 11S protein (edestin) monomer. The D zone proteins (MW 15 kDa and less) should represent the albumin fraction of the protein. The presence of edestin and the albumin fraction in SDS-PAGE gels has also been described by Liu et al. [ref. 29], Liu et al. [ref. 30], and Fang et al. [ref. 32].

Based on the evaluation of the proteomic data, 2833 protein groups (all belonging to Cannabis sativa L.) were identified, and their relative protein abundances in individual samples were determined and expressed in ppm. For further assessment of the protein pool, only protein groups (hereafter referred to as proteins or protein items) with a relative abundance greater than 1000 ppm (0.1%) in at least one of the three independent replicates for one of the three sample types (original or defatted whole seed, hulled seed, or hull) were considered. Eighty-eight of these major proteins were found (hereafter referred to as collection MP88). Their list, names, and primary data (molecular weight; the name of the corresponding protein family), including a more detailed characterisation of the proteins in the areas of biological process, molecular function, and cellular component, obtained from the UniProt KB database, are given in Table 2. Based on this detailed characterisation, the MP88 proteins were divided into ten protein classes: seed storage proteins (SP), oleosins (OL), other membrane components (MC), proteins involved in energy and metabolism (EM), translation-related proteins (TR), proteins related to DNA and RNA metabolism (DM), stress response and defence proteins (SD), proteins related to photosynthesis (PS), cytoskeleton and transport proteins (CT), and uncharacterised proteins (UP).
Table 2: Description of evaluated proteins (information from UniProt KB database) included in MP88 collection.
| Accession | Protein Name | Mol. Mass (Da) | Protein Families | Biological Process—Molecular Function—Cellular Component |
|---|---|---|---|---|
| Seed storage proteins (SP) | ||||
| A0A7J6GWL5 | Cupin type-1 domain-containing protein | 109,151 | 11S seed storage protein—globulins family | x—nutrient reservoir activity—x |
| A0A7J6DTA7 | Cupin type-1 domain-containing protein | 52,031 | 11S seed storage protein—globulins family | x—nutrient reservoir activity—x |
| A0A7J6E205 | Cupin type-1 domain-containing protein | 62,389 | 11S seed storage protein—globulins family | x—nutrient reservoir activity—membrane |
| A0A7J6H2R3 | Cupin type-1 domain-containing protein | 108,332 | x—x—membrane | |
| A0A7J6GLH5 | Cupin type-1 domain-containing protein | 108,083 | x—x—membrane | |
| A0A7J6HAT3 | Cupin type-1 domain-containing protein | 25,314 | x—x—x | |
| A0A7J6G321 | Cupin type-1 domain-containing protein | 55,360 | x—x—x | |
| A0A7J6H292 | Bifunctional inhibitor/plant lipid transfer protein/seed storage helical domain-containing protein | 16,752 | 2S seed storage albumins family; Plant LTP family | x—lipid binding; nutrient reservoir activity—x |
| A0A7J6DXD1 | Bifunctional inhibitor/plant lipid transfer protein/seed storage helical domain-containing protein | 17,558 | 2S seed storage albumins family; Plant LTP family | x—lipid binding; nutrient reservoir activity—x |
| Oleosins (OL) | ||||
| A0A7J6EJ89 | Oleosin | 15,410 | Oleosin family | reproductive process; post-embryonic development—x—membrane; monolayer-surrounded lipid storage body |
| A0A7J6F0Y4 | Oleosin | 17,355 | Oleosin family | reproductive process; post-embryonic development—x—membrane; monolayer-surrounded lipid storage body |
| A0A7J6H4F6 | Oleosin | 16,884 | Oleosin family | reproductive process; post-embryonic development—x—membrane; monolayer-surrounded lipid storage body |
| Other membrane components (MC) | ||||
| A0A7J6I425 | Verticillium wilt resistance-like protein | 124,317 | Receptor-like protein family | x—x—plasma membrane |
| A0A7J6F280 | Peroxygenase | 27,243 | Caleosin family | x—x—membrane |
| A0A7J6G6U3 | Uncharacterized protein | 71,299 | x—oxidoreductase activity—membrane | |
| A0A7J6DNR1 | Uncharacterized protein | 64,236 | x—x—membrane | |
| A0A7J6DPR7 | Uncharacterized protein | 20,132 | x—x—membrane | |
| A0A7J6ENC9 | Uncharacterized protein | 19,908 | x—transmembrane transporter activity—membrane | |
| A0A7J6GSC3 | Aquaporin TIP3-2 | 27,504 | MIP/aquaporin (TC 1.A.8) family | x—channel activity—membrane |
| A0A7J6I7S9 | Uncharacterized protein | 41,884 | x—x—membrane | |
| Proteins involved in energy and metabolism (EM) | ||||
| A0A7J6G6Z3 | Glyceraldehyde 3-phosphate dehydrogenase NAD(P) binding domain-containing protein | 31,874 | Glyceraldehyde-3-phosphate dehydrogenase family | x—NAD binding; oxidoreductase activity, acting on the aldehyde or oxo group of donors, NAD or NADP as acceptor —x |
| A0A7J6E4U9 | Triose-phosphate isomerase | 30,435 | Triosephosphate isomerase family | glycolytic process—triose-phosphate isomerase activity—x |
| A0A7J6EFG0 | Uncharacterized protein | 46,262 | x—oxidoreductase activity—x | |
| A0A7J6EJG0 | Protein disulfide-isomerase | 56,660 | Protein disulfide isomerase family | x—protein disulfide isomerase activity—endoplasmic reticulum lumen |
| A0A7J6E5J2 | Fructose-bisphosphate aldolase | 38,370 | Class I fructose-bisphosphate aldolase family | glycolytic process—fructose-bisphosphate aldolase activity—x |
| A0A7J6EZ77 | Malate dehydrogenase | 36,570 | LDH/MDH superfamily, MDH type 1 family | malate metabolic process; tricarboxylic acid cycle—L-malate dehydrogenase activity—x |
| A0A7J6HK40 | Glyceraldehyde 3-phosphate dehydrogenase NAD(P) binding domain-containing protein | 31,950 | Glyceraldehyde-3-phosphate dehydrogenase family | x—NAD binding; oxidoreductase activity, acting on the aldehyde or oxo group of donors, NAD or NADP as acceptor—x |
| A0A7J6GRW8 | Phosphopyruvate hydratase | 46,384 | Enolase family | glycolytic process—magnesium ion binding; phosphopyruvate hydratase activity—phosphopyruvate hydratase complex |
| A0A7J6EG53 | Peptidyl-prolyl cis-trans isomerase | 18,171 | Cyclophilin-type PPIase family | protein folding; protein peptidyl-prolyl isomerization—peptidyl-prolyl cis-trans isomerase activity—x |
| A0A7J6FNP6 | Malate synthase | 63,098 | Malate synthase family | glyoxylate cycle; tricarboxylic acid cycle—malate synthase activity—glyoxysome |
| A0A7J6E8J3 | Malate dehydrogenase | 36,478 | LDH/MDH superfamily, MDH type 2 family | malate metabolic process; tricarboxylic acid cycle; malate metabolic process; tricarboxylic acid cycle—L-malate dehydrogenase activity—membrane |
| A0A7J6DST1 | NADP-dependent oxidoreductase domain-containing protein | 38,559 | Aldo/keto reductase family | x—oxidoreductase activity—x |
| A0A7J6HKH5 | Nucleoside-diphosphate kinase | 16,290 | NDK family | CTP biosynthetic process; GTP biosynthetic process; UTP biosynthetic process—nucleoside diphosphate kinase activity—x |
| A0A7J6HTX3 | Tyrosinase copper-binding domain-containing protein | 66,851 | Tyrosinase family | pigment biosynthetic process—catechol oxidase activity; metal ion binding—x |
| A0A7J6HQA0 | NADH-cytochrome b5 reductase | 31,100 | Flavoprotein pyridine nucleotide cytochrome reductase family | x—cytochrome-b5 reductase activity, acting on NAD(P)H—membrane |
| Stress response and defence proteins (SD) | ||||
| A0A7J6DVP5 | rRNA N-glycosylase | 28,760 | Ribosome-inactivating protein family | defence response; negative regulation of translation—rRNA N-glycosylase activity; toxin activity—x |
| A0A7J6FXL4 | Dehydrin | 29,312 | Plant dehydrin family | response to abscisic acid; response to cold; response to water deprivation—metal ion binding—x |
| A0A7J6I6U6 | Uncharacterized protein | 59,963 | LEA type 4 family | x—x—x |
| A0A7J6G382 | Uncharacterized protein | 17,523 | Small heat shock protein (HSP20) family | response to stress—x—x |
| A0A7J6HZ01 | Annexin | 36,065 | Annexin family | response to stress—calcium ion binding; calcium-dependent phospholipid binding—x |
| A0A7J6I4E9 | 18 kDa seed maturation protein | 15,710 | LEA type 1 family | embryo development ending in seed dormancy—x—x |
| A0A7J6FL33 | Late embryogenesis abundant protein D-29 | 30,417 | x—x—x | |
| A0A7J6GTA4 | SHSP domain-containing protein | 17,897 | Small heat shock protein (HSP20) family | x—x—x |
| A0A7J6FPH5 | Lactoylglutathione lyase | 32,764 | Glyoxalase I family | x—lactoylglutathione lyase activity; metal ion binding—x |
| A0A7J6DT98 | Peroxiredoxin | 24,133 | Peroxiredoxin family, Prx6 subfamily | x—thioredoxin-dependent peroxiredoxin activity—x |
| A0A7J6GJC9 | Dehydroascorbate reductase | 23,719 | GST superfamily, DHAR family | ascorbate glutathione cycle—glutathione dehydrogenase (ascorbate) activity; glutathione transferase activity—x |
| A0A7J6F3P9 | Catalase | 57,402 | Catalase family | hydrogen peroxide catabolic process; response to oxidative stress—catalase activity; heme binding; metal ion binding—x |
| A0A7J6HTR6 | Glutaredoxin domain-containing protein | 14,424 | Glutaredoxin family, CPYC subfamily | x—x—x |
| A0A7J6FRN5 | Alcohol dehydrogenase | 41,112 | Zinc-containing alcohol dehydrogenase family | x—oxidoreductase activity; zinc ion binding—x |
| Proteins related to DNA and RNA metabolism (DM) | ||||
| A0A7J6EYT6 | PPC domain-containing protein | 30,708 | x—minor groove of adenine-thymine-rich DNA binding—x | |
| A0A7J6E9G4 | Histone H4 | 11,409 | Histone H4 family | x—DNA binding; protein heterodimerization activity; structural constituent of chromatin—nucleosome; nucleus |
| A0A7J6E6Z7 | Histone H2A | 15,148 | Histone H2A family | x—DNA binding; protein heterodimerization activity; structural constituent of chromatin—nucleosome; nucleus |
| A0A7J6E9K3 | Histone H2B | 16,235 | Histone H2B family | x—DNA binding; protein heterodimerization activity; structural constituent of chromatin —nucleosome; nucleus |
| A0A7J6HBN5 | ATP-dependent RNA helicase | 33,486 | DEAD box helicase family | x—ATP binding; hydrolase activity; RNA binding; RNA helicase activity—x |
| Translation-related proteins (TR) | ||||
| A0A7J6HCW3 | Elongation factor 1-alpha | 49,259 | TRAFAC class translation factor GTPase superfamily, Classic translation factor GTPase family, EF-Tu/EF-1A subfamily | x—GTP binding; GTPase activity; translation elongation factor activity—x |
| A0A7J6GTP8 | 60S acidic ribosomal protein P0 | 33,920 | Universal ribosomal protein uL10 family | ribosome biogenesis—x—ribonucleoprotein complex; ribosome |
| A0A7J6HHK4 | Translation elongation factor EF1B beta/delta subunit guanine nucleotide exchange domain-containing protein | 25,124 | EF-1-beta/EF-1-delta family | x—translation elongation factor activity—eukaryotic translation elongation factor 1 complex |
| A0A7J6F1D8 | KH type-2 domain-containing protein | 28,920 | Universal ribosomal protein uS3 family | translation—RNA binding; structural constituent of ribosome—ribonucleoprotein complex; ribosome |
| A0A7J6HVI4 | Ribosomal_L28e domain-containing protein | 16,563 | Eukaryotic ribosomal protein eL28 family | translation—structural constituent of ribosome—ribonucleoprotein complex; ribosome |
| A0A7J6E6C3 | Ribosomal protein L7 | 30,458 | Universal ribosomal protein uL30 family | maturation of LSU-rRNA from tricistronic rRNA transcript (SSU-rRNA, 5.8S rRNA, LSU-rRNA)—structural constituent of ribosome—cytosolic large ribosomal subunit |
| A0A7J6I4S9 | Ribosomal protein L6 N-terminal domain-containing protein | 25,942 | Eukaryotic ribosomal protein eL6 family | translation—structural constituent of ribosome—ribonucleoprotein complex; ribosome |
| A0A7J6I083 | 60S acidic ribosomal protein P1 | 16,784 | Eukaryotic ribosomal protein P1/P2 family | translational elongation—structural constituent of ribosome—ribonucleoprotein complex6; ribosome |
| A0A7J6F1J9 | 40S ribosomal protein S14 | 16,389 | Universal ribosomal protein uS11 family | translation—structural constituent of ribosome—ribonucleoprotein complex; ribosome |
| A0A7J6GA02 | Ribosomal_S7 domain-containing protein | 22,343 | Universal ribosomal protein uS7 family | translation—RNA binding; structural constituent of ribosome—small ribosomal subunit |
| A0A7J6G6F9 | 60S ribosomal protein L22-2; peroxidase | 14,052 | Eukaryotic ribosomal protein eL22 family; Peroxidase family | translation; hydrogen peroxide catabolic process; response to oxidative stress—structural constituent of ribosome; heme binding; lactoperoxidase activity—ribonucleoprotein complex; ribosome; extracellular region |
| A0A7J6I796 | 60S ribosomal protein L12 | 17,790 | Universal ribosomal protein uL11 family | translation—structural constituent of ribosome—ribonucleoprotein complex; ribosome |
| A0A7J6HT66 | 40S ribosomal protein S9-2 | 23,142 | Universal ribosomal protein uS4 family | translation—rRNA binding; structural constituent of ribosome—small ribosomal subunit |
| A0A7J6ENY3 | RRM domain-containing protein | 11,250 | x—nucleic acid binding—x | |
| A0A7J6FAW9 | 40S ribosomal protein S18 | 17,635 | Universal ribosomal protein uS13 family | translation—rRNA binding; structural constituent of ribosome—ribonucleoprotein complex; ribosome |
| A0A7J6I9M7 | Ribosomal_L18e/L15P domain-containing protein | 20,840 | Eukaryotic ribosomal protein eL18 family | translation—mRNA binding; structural constituent of ribosome—ribonucleoprotein complex; ribosome |
| A0A7J6FX59 | KOW domain-containing protein | 16,767 | Universal ribosomal protein uL24 family | translation—RNA binding; structural constituent of ribosome—large ribosomal subunit |
| A0A7J6F744 | Ribosomal_L14e domain-containing protein | 15,331 | Eukaryotic ribosomal protein eL14 family | translation—RNA binding; structural constituent of ribosome—ribosome |
| A0A7J6E9P9 | 60S ribosomal protein L27 | 15,794 | Eukaryotic ribosomal protein eL27 family | translation—structural constituent of ribosome—ribonucleoprotein complex; ribosome |
| A0A7J6H424 | 50S ribosomal protein L23, chloroplastic | 17,400 | Universal ribosomal protein uL23 family; DHBP synthase family | translation; riboflavin biosynthetic process—mRNA binding; rRNA binding; structural constituent of ribosome; 3,4-dihydroxy-2-butanone-4-phosphate synthase activity; GTP binding—ribonucleoprotein complex; ribosome |
| A0A7J6EFK0 | 40S ribosomal protein S17 | 16,185 | Eukaryotic ribosomal protein eS17 family | translation—structural constituent of ribosome—ribonucleoprotein complex; ribosome |
| A0A7J6G5C7 | 60S ribosomal protein L23 | 14,997 | Universal ribosomal protein uL14 family | translation—structural constituent of ribosome—ribonucleoprotein complex; ribosome |
| A0A7J6GWW0 | 40S ribosomal protein S26 | 14,763 | Eukaryotic ribosomal protein eS26 family | translation—structural constituent of ribosome; nucleotidyltransferase activity—ribonucleoprotein complex; ribosome |
| A0A7J6E4Y6 | 60S acidic ribosomal protein P3 | 11,903 | Eukaryotic ribosomal protein P1/P2 family | translational elongation—structural constituent of ribosome—ribonucleoprotein complex; ribosome |
| Proteins related to photosynthesis (PS) | ||||
| A0A7J6GUI2 | Chlorophyll a-b binding protein, chloroplastic | 28,276 | Light-harvesting chlorophyll a/b-binding (LHC) protein family | photosynthesis; light harvesting—chlorophyll binding—chloroplast thylakoid membrane; photosystem I; photosystem II |
| A0A7J6GSM8 | Chlorophyll a-b binding protein, chloroplastic | 28,429 | Light-harvesting chlorophyll a/b-binding (LHC) protein family | photosynthesis, light harvesting—chlorophyll binding—chloroplast thylakoid membrane; photosystem I; photosystem II |
| Cytoskeleton and transport proteins (CT) | ||||
| A0A7J6I6X2 | MD-2-related lipid-recognition domain-containing protein | 16,057 | intracellular sterol transport—sterol binding—x | |
| A0A7J6I828 | Actin | 41,726 | Actin family | x—ATP binding—cytoplasm; cytoskeleton |
| A0A0M5M1Z3 | ATP synthase subunit alpha | 55,324 | ATPase alpha/beta chains family | actin filament bundle assembly; actin filament capping—actin filament binding; ATP binding; proton-transporting ATP synthase activity, rotational mechanism—mitochondrial inner membrane; proton-transporting ATP synthase complex, catalytic core F(1) |
| Uncharacterised proteins (UP) | ||||
| A0A7J6FR97 | Uncharacterized protein | 35,774 | x—x—x | |
| A0A7J6FP03 | Uncharacterized protein | 16,800 | x—x—x | |
| A0A7J6I334 | Uncharacterized protein | 15,922 | x—x—x | |
| A0A7J6GUW7 | Uncharacterized protein | 13,786 | x—x—x | |
| A0A7J6HWC7 | Uncharacterized protein | 17,135 | x—x—x | |
x—information in UniProt KB database is not available.
It should be noted that the number of proteins classified in these classes and their relative abundances in the samples of the three types reflect the condition of the maturing/mature seed. This state is associated with physiological processes involving the accumulation of di- and oligosaccharides, the synthesis of storage proteins, LEA proteins and heat-shock proteins, and the activation of antioxidant defences, in addition to the increasing dry matter content and the physical, structural changes in the cells [ref. 33]. In comparison to our experimental setup, Park et al. [ref. 17], in their study of the proteomic profiling of Cheungsam (Cannabis sativa L.) seeds using a combination of 2D PAGE and nano-LC-MS/MS, found 168 identified unique protein spots out of a total of 1102 spots resolved by the 2D PAGE separation of the extracted hemp seed protein mixture due to the lack of hemp protein sequences. Park et al. [ref. 17] used the database information of rice and Arabidopsis genomes, which had been completely sequenced at the time, to identify the proteins. The identified proteins were classified into 13 categories according to their function, as listed in the SWISS-PROT and NCBI databases.
2.2.1. Seed Storage Proteins
The SP class represents the most abundant group: seed storage proteins. The MP88 dataset included nine proteins. Three proteins (A0A7J6GWL5, A0A7J6DTA7, A0A7J6E205) were classified into the 11S family of seed storage proteins, commonly referred to as edestin in hemp seeds [ref. 12,ref. 14]; then, two proteins (A0A7J6H292, A0A7J6DXD1) were assigned to 2S albumins, and the remaining four proteins (A0A7J6H2R3, A0A7J6GLH5, A0A7J6HAT3, and A0A7J6G321) belong to the globulin family, and some of them belong to the 7S family (see Table 2). The names of these proteins do not directly imply that they are 7S proteins, but additional information found in the UniProt KB database suggests their similarity to 7S vicilin-like proteins. The occurrence of the three types of seed storage proteins mentioned above agrees with most papers that have investigated hemp seed proteins [ref. 10,ref. 16,ref. 22,ref. 34].
The main storage protein in hemp seeds is edestin. Docimo et al. [ref. 34], in their study on the molecular characterisation of the edestin gene family, found seven genes encoding seven forms of edestin, which can be divided into two types of edestin based on the sequence similarity—edestin 1 (includes four forms) and edestin 2 (involves three forms). In subsequent work [ref. 16], edestin type 3 was additionally found, which resembles type 1 more than type 2. The three above items of 11S proteins that we found are not directly identified as edestin in the UniProt KB database version used for database searching (they are named Cupin type-1 domain-containing protein) but show high sequence similarity to the edestins described in previous works [ref. 16,ref. 34]. The storage protein A0A7J6GWL5 has, according to the UniProt KB database, an MW of 109.15 kDa and is composed of a sequence of 953 amino acids, showing a close identity (99.8%) to edestin 1 (A0A090DLH8) in region 8-511, as reported in the UniProt database by, e.g., Mamone et al. [ref. 10] and Kotecka-Majchrzak et al. [ref. 22]. The second found 11S storage protein item (A0A7J6DTA7) has an MW of 52.03 kDa, is composed of 456 amino acids, and is consistent with forms of edestin 2—with item A0A090DLI7 at 98.1%, A0A090CXP9 at 97.8%, and A0A090CXP8 at 98.1%. The form of edestin 3 was not found in our experiment.
2.2.2. Proteins Involved in Energy and Metabolism
The class of proteins involved in energy and metabolism is represented by 15 proteins in the MP88 set. The most significantly represented items are those related to glycolysis, the tricarboxylic acid cycle (TCA), and other central metabolic processes, which are closely related to the physiological state of mature stored seed with preserved germination potential [ref. 33]. The importance of enzymes related to glycolysis, TCA, and the glyoxylate cycle for the metabolism of maturing oilseeds was also confirmed by Hajduch et al. [ref. 35].
Specifically, of the glycolytic enzymes, two glyceraldehyde-3-phosphate dehydrogenase items were represented in the MP88 set (items A0A7J6G6Z3 and A0A7J6HK40), in addition to triosephosphate isomerase (A0A7J6E4U9), fructose-bisphosphate aldolase (A0A7J6E5J2), and phosphopyruvate hydratase or enolase (A0A7J6GRW8). The TCA cycle is represented by two items of malate dehydrogenase (A0A7J6EZ77 and A0A7J6E8J3), and the glyoxylate cycle is represented by the enzyme malate synthase (A0A7J6FNP6).
Other important items with catalytic activity are involved in protein modification (protein disulfide-isomerase (A0A7J6EJG0) and peptidyl-prolyl cis-trans isomerase (A0A7J6EG53)), nucleotide metabolism (nucleoside-diphosphate kinase (A0A7J6HKH5)), etc. Other enzymes are related to electron and proton transfer in energy metabolism, e.g., NADH-cytochrome b5 reductase (A0A7J6HQA0) and ATP synthase (A0A0M5M1Z3). Due to their membrane localisation, these enzymes could also be classified as membrane components. Similarly, Park et al. [ref. 17] reported that the groups of proteins and enzymes related to basic metabolism and energy production in hemp seeds are the most numerous and diverse group of proteins. Their dataset also mainly lists enzymes of glycolysis, enzymes of the TCA cycle, and other important metabolic pathways.
2.2.3. Membrane Proteins
The representation of membrane proteins, which include two classes, namely, oleosins (OL) and other membrane components (MC), is significant. The OL are proteins involved in the structure of oil-body membranes called oleosomes [ref. 36]. In hemp seed cells, these are droplet-like structures (droplets) with a diameter of 3–5 µm, in whose membranes the membrane-specific oleosin proteins play an important structural role, with an estimated MW of ≈15 kDa [ref. 37]. In addition to oleosins, caleosins and steroleosins have also been reported as fat-body membrane proteins [ref. 38]. In the group of major proteins, three oleosin items (A0A7J6EJ89, A0A7J6F0Y4, A0A7J6H4F6) were found with MWs ranging from 15.41 to 17.36 kDa, which together represent about 8% of hemp seed proteins. The second highest relative abundance of oleosins in the hemp seed protein pool (after seed storage proteins) is thus closely related to the high fat accumulation in hemp seed tissue. Among the items of the MC class, which is represented by eight proteins, one can find a caleosin protein with peroxygenase activity (A0A7J6F280) and, e.g., aquaporin (A0A7J6GSC3), which functions as a transmembrane channel. Most of the other proteins are designated as uncharacterised proteins.
2.2.4. Proteins Involved in Stress Response and Defence
A total of 14 items were found in the MP88 dataset that can be classified as SD. These include LEA (late embryogenesis abundant) proteins (A0A7J6FL33, A0A7J6I6U6), including dehydrins (A0A7J6FXL4) as well as heat-shock proteins (A0A7J6GTA4, A0A7J6G382) and proteins associated with antioxidant protection against ROS (Reactive Oxygen Species), such as catalase (A0A7J6F3P9), peroxiredoxin (A0A7J6DT98), dehydroascorbate reductase (A0A7J6GJC9), glutaredoxin domain-containing protein (A0A7J6HTR6), and lactoylglutathione lyase or glyoxylase I (A0A7J6FPH5).
From the spectrum of stress-related proteins listed above, it is evident that the maturing/ripe seed and the developing/developed embryo must cope with progressive desiccation, temperature changes, and oxidative stress or oxygen deficiency. The occurrence of alcohol dehydrogenase in plants has been linked to oxygen deficiency.
Regarding seed defence, the occurrence of the enzyme rRNA N-glycosidase (A0A7J6DVP5) is significant. This enzyme generally belongs to the group of ribosome-inactivating proteins (RIPs), which are toxic because they inhibit proteosynthesis and are among the defence proteins [ref. 39]. Despite its toxicity, this group of proteins has the potential for possible applications in medicine or agriculture [ref. 40].
Park et al. [ref. 17] found, in their work on mature industrial hemp seeds, a similar spectrum of stress- or defence-related proteins—heat-shock proteins, glyoxylate reductase, dehydroascorbate reductase, alcohol dehydrogenase, and peroxiredoxin; in addition, they reported superoxide dismutase, which was also found in our samples, not in the MP88 set but in the set of all proteins. Aiello et al. [ref. 18] reported only Glyoxalase I and several variants of heat-shock proteins in their work focused on the proteomic characterisation of hemp seeds.
2.2.5. Other Protein Classes
Common cellular proteins include those involved in nucleic acid metabolism and subsequent protein synthesis during translation. The items included in the DM class are mainly represented by histone protein subunits (A0A7J6E9G4, A0A7J6E6Z7, A0A7J6E9K3). The TR class has the most significant number of items in the set of major proteins, as well as the EM class; in most cases (20 out of 24 items), these are ribosome subunits, e.g., two items of 60S ribosomal protein (A0A7J6GTP8, A0A7J6E9P9), as well as 40S (A0A7J6GWW0) and 50S (A0A7J6H424) ribosomal proteins and several other proteins involved in translation, e.g., elongation factor 1-alpha (A0A7J6HCW3) or EF1_GNE domain-containing protein (A0A7J6HK4).
The chloroplastic chlorophyll a-b-binding protein represents the PS class, and the CT class is represented by a protein related to intracellular sterol transport and by a protein from the actin family. Six items listed in the database had no characteristics and were therefore assigned to the UP class.
2.3. Effect of Cultivar and Dehulling on the Hemp Seed Protein Profile
The relative abundance of protein items in the MP88 set in the total protein profiles of whole seeds, hulls, and dehulled seeds with respect to the two cultivars studied (Uso-31, Santhica 27) is shown in Table 3. The percentages of the protein classes (including the group of proteins not included in the MP88 set) are expressed using pie charts in Figure 2.
Table 3: Relative abundance of the MP88 collection proteins (in ppm) in defatted hemp seed products.
| Accession | Protein Name | Uso-31 | Santhica 27 | ||||
|---|---|---|---|---|---|---|---|
| Whole Seed | Hulls | Dehulled Seeds | Whole Seed | Hulls | Dehulled Seeds | ||
| A0A7J6GWL5 | Cupin type-1 domain-containing protein | 292,953 abc | 249,256 cd | 301,796 ab | 265,551 bcd | 225,575 d | 316,781 a |
| A0A7J6DTA7 | Cupin type-1 domain-containing protein | 336,178 ab | 290,488 bc | 358,906 a | 319,042 abc | 278,002 c | 350,150 a |
| A0A7J6E205 | Cupin type-1 domain-containing protein | 2991 b | 734 c | 5698 a | 1767 bc | 1546 bc | 2397 b |
| A0A7J6H2R3 | Cupin type-1 domain-containing protein | 6299 ab | 7324 a | 6399 ab | 5745 b | 6426 ab | 6214 ab |
| A0A7J6GLH5 | Cupin type-1 domain-containing protein | 3410 a | 3532 a | 3127 a | 2708 a | 2851 a | 2780 a |
| A0A7J6HAT3 | Cupin type-1 domain-containing protein | 5750 bc | 7593 a | 5372 c | 5890 bc | 6958 ab | 5461 c |
| A0A7J6G321 | Cupin type-1 domain-containing protein | 16,117 b | 18,916 a | 15,978 b | 10,262 d | 13,227 c | 10,338 d |
| A0A7J6H292 | Bifunctional inhibitor/plant lipid transfer protein/seed storage helical domain-containing protein | 19,306 a | 21,984 a | 17,488 a | 15,188 a | 12,731 a | 15,075 a |
| A0A7J6DXD1 | Bifunctional inhibitor/plant lipid transfer protein/seed storage helical domain-containing protein | 1052 ab | 817 bc | 1297 a | 929 bc | 681 c | 909 bc |
| A0A7J6EJ89 | Oleosin | 16,729 bc | 7800 d | 26,828 a | 12,215 cd | 10,393 cd | 21,992 ab |
| A0A7J6F0Y4 | Oleosin | 40,499 a | 41,904 a | 38,200 a | 38,126 a | 44,509 a | 38,168 a |
| A0A7J6H4F6 | Oleosin | 25,020 a | 25,250 a | 29,762 a | 24,470 a | 28,268 a | 28,554 a |
| A0A7J6I425 | Verticillium wilt resistance-like protein | 988 a | 1458 a | 1525 a | 1547 a | 1874 a | 1371 a |
| A0A7J6F280 | Peroxygenase | 4675 ab | 5415 a | 4283 b | 4015 b | 4225 b | 4176 b |
| A0A7J6G6U3 | Uncharacterized protein | 1205 a | 1115 ab | 1164 a | 749 c | 898 bc | 721 c |
| A0A7J6DNR1 | Uncharacterized protein | 145 b | 81 b | 52 b | 13,567 a | 16,616 a | 95 b |
| A0A7J6DPR7 | Uncharacterized protein | 1549 ab | 1264 bc | 1966 a | 703 d | 775 d | 968 cd |
| A0A7J6ENC9 | Uncharacterized protein | 1498 c | 2198 ab | 1177 c | 1561 bc | 2410 a | 1395 c |
| A0A7J6GSC3 | Aquaporin TIP3-2 | 2236 a | 2728 a | 2585 a | 3037 a | 3023 a | 2988 a |
| A0A7J6I7S9 | Uncharacterized protein | 2546 abc | 824 d | 3336 a | 1959 bc | 1464 cd | 2655 ab |
| A0A7J6G6Z3 | Glyceraldehyde 3-phosphate dehydrogenase NAD(P) binding domain-containing protein | 3130 bc | 4596 a | 2123 c | 3207 bc | 4012 ab | 2765 c |
| A0A7J6E4U9 | Triose-phosphate isomerase | 2120 a | 2489 a | 1862 a | 1912 a | 2233 a | 2080 a |
| A0A7J6EFG0 | Uncharacterized protein | 2577 b | 3347 a | 2398 b | 1993 cd | 2455 b | 1774 d |
| A0A7J6EJG0 | Protein disulfide-isomerase | 948 bc | 1218 ab | 823 c | 1315 ab | 1597 a | 1239 ab |
| A0A7J6E5J2 | Fructose-bisphosphate aldolase | 1637 cd | 2756 b | 1158 d | 2346 b | 3594 a | 1745 c |
| A0A7J6EZ77 | Malate dehydrogenase | 999 bc | 1648 a | 732 c | 1154 b | 1552 a | 836 bc |
| A0A7J6HK40 | Glyceraldehyde 3-phosphate dehydrogenase NAD(P) binding domain-containing protein | 926 ab | 1276 a | 684 b | 898 ab | 1277 a | 702 b |
| A0A7J6GRW8 | Phosphopyruvate hydratase | 701 bc | 1043 a | 638 c | 807 b | 1142 a | 560 c |
| A0A7J6EG53 | Peptidyl-prolyl cis-trans isomerase | 4223 b | 6554 a | 3436 b | 3861 b | 6019 a | 3035 b |
| A0A7J6FNP6 | Malate synthase | 816 bc | 1225 a | 591 d | 878 b | 1284 a | 667 cd |
| A0A7J6E8J3 | Malate dehydrogenase | 995 bc | 1289 ab | 730 c | 1129 bc | 1792 a | 939 bc |
| A0A7J6DST1 | NADP-dependent oxidoreductase domain-containing protein | 7132 a | 5649 ab | 7532 a | 1840 b | 5212 ab | 7102 a |
| A0A7J6HKH5 | Nucleoside-diphosphate kinase | 1096 b | 1555 a | 539 c | 1050 b | 1602 a | 802 bc |
| A0A7J6HTX3 | Tyrosinase copper-binding domain-containing protein | 266 d | 1265 b | 1 e | 611 c | 1660 a | 10 e |
| A0A7J6HQA0 | NADH-cytochrome b5 reductase | 959 bc | 1153 ab | 340 d | 1244 ab | 1389 a | 607 cd |
| A0A7J6DVP5 | rRNA N-glycosylase | 485 bc | 2044 a | 60 d | 331 c | 584 b | 71 d |
| A0A7J6FXL4 | Dehydrin | 1169 a | 983 a | 1413 a | 1457 a | 1723 a | 1265 a |
| A0A7J6I6U6 | Uncharacterized protein | 877 b | 1277 a | 711 bc | 840 bc | 1297 a | 634 c |
| A0A7J6G382 | Uncharacterized protein | 5578 b | 7698 a | 4057 c | 2919 de | 3976 cd | 2535 e |
| A0A7J6HZ01 | Annexin | 1282 bc | 1481 b | 1040 cd | 1193 cd | 1791 a | 961 d |
| A0A7J6I4E9 | 18 kDa seed maturation protein | 3226 abc | 3796 a | 2444 bc | 3612 a | 3344 ab | 2104 c |
| A0A7J6FL33 | Late embryogenesis abundant protein D-29 | 2567 b | 2793 b | 1986 b | 2815 b | 3770 a | 2076 b |
| A0A7J6GTA4 | SHSP domain-containing protein | 1359 b | 2012 a | 1083 c | 693 de | 929 cd | 536 e |
| A0A7J6FPH5 | Lactoylglutathione lyase | 2462 ab | 2739 a | 1947 c | 2097 bc | 2472 ab | 1897 c |
| A0A7J6DT98 | Peroxiredoxin | 3473 bc | 4054 b | 2623 c | 4150 b | 6328 a | 3130 bc |
| A0A7J6GJC9 | Dehydroascorbate reductase | 868 a | 1052 a | 703 ab | 480 b | 733 ab | 724 ab |
| A0A7J6F3P9 | Catalase | 600 bc | 1393 a | 323 d | 777 b | 1421 a | 399 cd |
| A0A7J6HTR6 | Glutaredoxin domain-containing protein | 2690 ab | 1809 b | 3306 a | 2262 ab | 2009 ab | 2969 ab |
| A0A7J6FRN5 | Alcohol dehydrogenase | 843 b | 1160 a | 620 cd | 690 bc | 1129 a | 452 d |
| A0A7J6EYT6 | PPC domain-containing protein | 1681 b | 1234 b | 2057 b | 14,310 a | 1344 b | 2149 b |
| A0A7J6E9G4 | Histone H4 | 4793 cd | 9218 a | 3183 e | 5008 c | 7431 b | 3664 de |
| A0A7J6E6Z7 | Histone H2A | 1523 cd | 3063 a | 829 d | 1950 bc | 2576 ab | 1207 cd |
| A0A7J6E9K3 | Histone H2B | 1251 bc | 1921 a | 1166 bc | 1116 bc | 1558 ab | 858 c |
| A0A7J6HBN5 | ATP-dependent RNA helicase | 686 d | 1147 b | 464 e | 821 c | 1293 a | 655 d |
| A0A7J6HCW3 | Elongation factor 1-alpha | 2695 bc | 3321 ab | 2066 c | 2668 bc | 3676 a | 2345 c |
| A0A7J6GTP8 | 60S acidic ribosomal protein P0 | 882 cd | 1325 b | 749 d | 1117 bc | 1698 a | 825 cd |
| A0A7J6HHK4 | Translation elongation factor EF1B beta/delta subunit guanine nucleotide exchange domain-containing protein | 811 abc | 946 ab | 593 c | 932 ab | 1065 a | 749 bc |
| A0A7J6F1D8 | KH type-2 domain-containing protein | 696 de | 899 bc | 515 e | 973 b | 1239 a | 727 cd |
| A0A7J6HVI4 | Ribosomal_L28e domain-containing protein | 1077 bc | 1341 ab | 728 c | 1301 abc | 1864 a | 1283 abc |
| A0A7J6E6C3 | Ribosomal protein L7 | 691 cd | 1031 ab | 530 d | 854 bc | 1163 a | 618 d |
| A0A7J6I4S9 | Ribosomal protein L6 N-terminal domain-containing protein | 620 cd | 815 b | 562 d | 759 bc | 1061 a | 636 bcd |
| A0A7J6I083 | 60S acidic ribosomal protein P1 | 753 d | 977 bc | 803 cd | 1045 ab | 1204 a | 854 bcd |
| A0A7J6F1J9 | 40S ribosomal protein S14 | 1583 bc | 1859 b | 1190 c | 1582 bc | 2413 a | 1300 c |
| A0A7J6GA02 | Ribosomal_S7 domain-containing protein | 804 ab | 893 ab | 593 b | 703 b | 1360 a | 683 b |
| A0A7J6G6F9 | 60S ribosomal protein L22-2; peroxidase | 1520 bc | 1897 ab | 1152 c | 1664 bc | 2307 a | 1241 c |
| A0A7J6I796 | 60S ribosomal protein L12 | 869 bc | 1133 ab | 685 c | 948 bc | 1279 a | 785 c |
| A0A7J6HT66 | 40S ribosomal protein S9-2 | 915 b | 1336 a | 544 c | 961 b | 1286 a | 728 bc |
| A0A7J6ENY3 | RRM domain-containing protein | 397 b | 1022 a | 403 b | 1068 a | 1321 a | 525 b |
| A0A7J6FAW9 | 40S ribosomal protein S18 | 733 b | 1031 ab | 673 b | 1000 ab | 1212 a | 806 b |
| A0A7J6I9M7 | Ribosomal_L18e/L15P domain-containing protein | 886 bcd | 1093 b | 663 d | 936 bc | 1458 a | 793 cd |
| A0A7J6FX59 | KOW domain-containing protein | 982 ab | 955 ab | 815 b | 804 b | 1453 a | 953 ab |
| A0A7J6F744 | Ribosomal_L14e domain-containing protein | 1065 b | 1480 a | 683 c | 1047 b | 1470 a | 929 bc |
| A0A7J6E9P9 | 60S ribosomal protein L27 | 835 b | 1374 a | 767 b | 1211 a | 1216 a | 951 b |
| A0A7J6H424 | 50S ribosomal protein L23, chloroplastic | 782 ab | 767 ab | 662 b | 784 ab | 1018 a | 777 ab |
| A0A7J6EFK0 | 40S ribosomal protein S17 | 607 bc | 793 b | 545 c | 726 bc | 1017 a | 589 bc |
| A0A7J6G5C7 | 60S ribosomal protein L23 | 651 b | 603 bc | 371 c | 805 ab | 1065 a | 647 b |
| A0A7J6GWW0 | 40S ribosomal protein S26 | 880 bc | 1124 ab | 722 c | 1100 ab | 1460 a | 826 bc |
| A0A7J6E4Y6 | 60S acidic ribosomal protein P3 | 540 a | 570 a | 588 a | 759 a | 1068 a | 627 a |
| A0A7J6GUI2 | Chlorophyll a-b binding protein, chloroplastic | 434 bc | 2459 a | 54 c | 864 b | 2696 a | 155 bc |
| A0A7J6GSM8 | Chlorophyll a-b binding protein, chloroplastic | 1449 c | 6038 a | 203 d | 2560 b | 5606 a | 522 d |
| A0A7J6I6X2 | MD-2-related lipid-recognition domain-containing protein | 1140 a | 1477 a | 1082 a | 1430 a | 1696 a | 1194 a |
| A0A7J6I828 | Actin | 973 a | 1218 a | 928 a | 1019 a | 1255 a | 806 a |
| A0A0M5M1Z3 | ATP synthase subunit alpha | 549 bc | 1081 a | 377 d | 629 b | 1035 a | 405 cd |
| A0A7J6FR97 | Uncharacterized protein | 1215 a | 1071 a | 1257 a | 1047 a | 1123 a | 1174 a |
| A0A7J6FP03 | Uncharacterized protein | 12,415 ab | 14,264 a | 9720 b | 13,312 ab | 16,039 a | 10,073 b |
| A0A7J6I334 | Uncharacterized protein | 1235 bc | 1552 a | 852 d | 1149 cd | 1479 ab | 948 cd |
| A0A7J6GUW7 | Uncharacterized protein | 786 ab | 856 ab | 643 b | 777 ab | 1061 a | 692 b |
| A0A7J6HWC7 | Uncharacterized protein | 1506 cd | 2038 ab | 1028 d | 1570 bc | 2260 a | 1045 d |
Different lowercase letters in the rows indicate a statistically significant difference at the p < 0.05 (Tukey HSD test) among the defatted hemp seed products of two cultivars (for each protein separately).

The presented results (Table 3) confirmed the assumption that the hemp seed’s main class of proteins is SP, especially the 11S globulin edestin. The relative abundance of 11S globulins (summed over the three MP88 items) in whole seeds was 58.6 and 63.2% for the Santhica 27 and Uso-31 cultivars, respectively, when expressed as percentages, approximately corresponding to the literature-reported range of 60–80% [ref. 2,ref. 14]. Liu et al. [ref. 29] reported a range of relative edestin proportions of 57–76% when studying nine protein isolates prepared from seeds of different Cannabis sativa cultivars/genotypes, but this is the relative representation of edestin among the storage proteins (11S, 7S, and 2S), not the representation of edestin in the overall protein profile of hemp seeds. All three 11S protein items (A0A7J6GWL5, A0A7J6DTA7, A0A7J6E205) of the MP88 set were found to have a conclusively (except in one case) higher relative abundance in hulled seeds than in hulls. Considering the accumulation of reserve compounds in the inner seed part, this finding confirms the reported role of 11S proteins and edestins as seed reserve proteins [ref. 2,ref. 14]. The finding is also interesting concerning the potential food applications of hemp seed proteins, as edestin is their most valuable component [ref. 34].
The protein items A0A7J6H2R3, A0A7J6GLH5, A0A7J6HAT3, and A0A7J6G321, which could be classified as 7S proteins or vicilin-like proteins, represent about 3% of the seed protein pool in whole seeds of both cultivars, which is significantly less than that reported by other authors: Sun et al. [ref. 4] reported 5% and Liu et al. [ref. 29] reported a range of 9–19% (but here, as mentioned above, it is the proportion of storage proteins). In contrast to the 11S proteins, the relative abundance of 7S proteins was inconclusively higher in the hulls than in the dehulled seeds in all cases (see Table 3).
The third group of storage proteins is represented by the 2S proteins (A0A7J6H292, A0A7J6DXD1), which are classified as albumins. Collectively, their representation in the whole seed was only 2.04% (cv. Uso-31) or 1.61% (cv. Santhica 27), which is lower than the values published by other authors: Sun et al. [ref. 4] reported 13%, and Liu et al. [ref. 29] reported a range of 12–24% within a set of nine cultivars (here again, the values are proportions of storage proteins). The predominance of 2S albumins in the hulls or dehulled seeds is not at all clear.
The second most represented group of SP is the class of oleosins. Because the inner part of the seed coat accumulates more oil as a natural energy reserve, one would expect a higher representation of oleosins in dehulled seeds as key proteins that are part of the fat bodies, in which fat is stored in the cells. The results showed that the total oleosins increased with dehulling, from 8.2 (WS) to 9.4% (DS) and from 7.5 (WS) to 8.9 (DS) in Uso-31 and Santhica 27, respectively. However, this is due to the presence of the oleosin A0A7J6EJ89, which is significantly higher in the dehulled seeds than in the hulls of both cultivars. The other two proteins (A0A7J6F0Y4, A0A7J6H4F6) have no clear differences in the different parts of the seed.
Either way, the oleosin protein fraction is important in food applications as a natural emulsification system [ref. 36,ref. 37,ref. 38] or as a lipid-based delivery system in the food industry or in cosmetics and pharmaceuticals [ref. 39,ref. 40].
The protein classes EM, SD, DM, TR, and CT are collectively more abundant in the hulls (proteins of some classes are even significantly more abundant) than in the hulled seeds, which generally indicates that higher metabolic activity is taking place in the hull cells. This can be explained by the function of the hull tissues, i.e., the pericarp and seed coat layers, which form the natural barrier of the hemp achene and are thus forced to react more strongly to environmental stimuli, particularly abiotic stressors. Most of the proteins classified as SD in the MP88 dataset have a higher relative abundance in the hull than in the dehulled seed, except for dehydrin (A0A7J6FXL4), glutaredoxin domain-containing protein (A0A7J6HTR6), and dehydroascorbate reductase (A0A7J6GJC9). N-glycosidase rRNA (A0A7J6DVP5) is significantly more abundant in hulls (8-fold in cv. Santhica 27, 30-fold in cv. Uso-31) than in hulled seeds. This finding confirms the function of tRNA N-glycosidase as a defence protein [ref. 39]. The higher abundance in the hull predisposes the hull to be a potential source of this enzyme for biomedical applications. The RIP proteins have been found to have important biological properties, such as anticancer, antiviral, and neurotoxic activities [ref. 40,ref. 41]. Both chlorophyll-binding proteins (A0A7J6GUI2, A0A7J6GSM8) were significantly overrepresented in the hulls (compared to dehulled seeds) of both cultivars, which can be explained by the fact that chlorophyll is mainly found in the innermost layer of the seed coat, which is part of the hull [ref. 42].
Dehulling is an important technological process that removes the hard hull of the hemp seed, allowing the seeds to be consumed directly and used more widely in food products. Removing the hull eliminates or reduces the contents of antinutrients, improves the sensory properties of the dehulled seeds, and enhances their digestibility [ref. 42,ref. 43]. Previous work [ref. 27,ref. 43,ref. 44], and our presented results, have confirmed that dehulling can also be an important technological step in producing hemp seed protein concentrates and isolates, while this step removes big amounts of ballast substances (especially fibre components). At the same time, the proteomic results indicate the importance of hemp seed hulls as a source of a specific protein. The hulls often represent only the waste from hemp seed processing, while it could be a source of a large spectrum of proteins or as a raw material for a fibre flour product. On the other hand, the finding of a higher abundance of N-glycosidase rRNA also points to the possible risks of using products from the hulls for (direct) human consumption or the fact that the cultivar itself and its selection may play a major role in the occurrence of risk proteins.
3. Materials and Methods
3.1. Hemp Seed Samples and Their Preparation
The seeds of two cultivars of industrial hemp (Cannabis sativa L.) with low THC content (up to 0.2%), Uso-31 (registered in EUPVP—Common Catalogue; National Listing Netherlands; variety ID: 214015) and Santhica 27 (registered in EUPVP—Common Catalogue; National Listing France; variety ID: 213998), from the 2020 harvest were obtained from Hemp Production CZ, Ltd. Three variants of samples from both cultivars were provided for analysis: whole hemp seeds, seed hulls and dehulled hemp seeds. Hemp seeds were dehulled using dehulling and separating equipment (TFYM 1000; Liaoning Qiaopai Machineries Co., Ltd., Jinzhou, China). Before analyses, the samples were disintegrated using a Grindomix GD200 knife mill (Retsch, Haan, Germany) at 10,000 rpm for 1 min. The ground samples were then subjected to defatting using the organic solvent n-hexane. To the sample powder in the plastic tube, n-hexane was added at a ratio of 1:3 (w/v), and after mixing and extraction for 2 h at room temperature (with shaking of the sample mixture every 30 min), centrifugation (rpm 4500, 10 min, 20 °C) was performed, the solvent was carefully removed from the tube, and then the whole fat extraction process was repeated twice. After defatting, the sample pellets were left free to dry in the laboratory fume hood. Three defatted sample variants—defatted whole seeds (WS), defatted hulls (H), and defatted dehulled seeds (DS)—were obtained by the above-described treatment.
3.2. Dry Matter, Protein, and Fat Contents
Dry matter, protein, and fat contents were determined for the original (with fat) and defatted versions of the hulls, whole seeds, and dehulled seeds. The dry matter content was determined gravimetrically by drying the samples at 105 °C for 3 h in an oven to constant weight. The protein content was determined using the modified Dumas combustion method using a rapid N cube (N/Protein analysis) instrument (Elementar Analysen System, Langenselbold, Germany). Each sample was analysed in triplicate, and the protein content was calculated as the nitrogen content multiplied by a factor of 6.25. The fat content was measured using the Soxhlet extraction method using an ANKOM XT 10 Extractor (ANKOM Technology, Macedon, USA), according to the manufacturer’s manual. Petroleum ether was used as an extraction reagent. The fat content was calculated from the weight differences in the sample before and after extraction.
3.3. Sodium Dodecyl Sulphate Polyacrylamide Gel Electrophoresis
The defatted sample variants were extracted with SDS extraction buffer (0.065 M Tris-HCl, pH 6.8; 2% (w/v) SDS; 5% (v/v) 2-sulphanylethanol) in a ratio of 1:10 (w/v) at 4 °C for 4 h. Protein separation was carried out in triplicate using cooled dual vertical slab units (SE 600; Hoefer Scientific Instruments, Holliston, MA, USA) with a discontinuous gel system (4% stacking and 12% resolving gel) in reducing conditions [ref. 45]. Protein detection was performed by using Coomassie Brilliant Blue R-250.
3.4. LC-MS/MS Analysis
Proteins for LC-MS/MS analysis were extracted in SDT buffer (4% SDS, 0.1M DTT, 0.1M Tris/HCl, pH 7.6) in a thermomixer (Eppendorf ThermoMixer C, 60 min, 95 °C, 750 rpm). After that, all samples were centrifuged (15 min, 20,000× g), and the supernatants (ca. 100 μg of total protein) were used for filter-aided sample preparation (FASP), as described elsewhere [ref. 46], using 0.75 μg of trypsin (sequencing grade; Promega). Proteins were digested overnight (18 h) at 37 °C. The resulting peptides were analysed using LC-MS/MS.
LC-MS/MS analyses of all peptides were performed using an UltiMate 3000 RSLCnano system connected to an Orbitrap Exploris 480 spectrometer (Thermo Fisher Scientific, Waltham, MA, USA). Prior to LC separation, tryptic digests were concentrated and desalted online using a trapping column (Acclaim PepMap 100 C18, 300 μm ID, 5 mm long, 5 μm particles, Thermo Fisher Scientific). After washing the trapping column with 0.1% FA, the peptides were eluted in backflush mode (flow 500 nL·min−1) from the trapping column onto an analytical column (EASY-Spray column, 75 μm ID, 250 mm long, 2 μm particles, Thermo Fisher Scientific), where peptides were separated using a 90 min gradient program (flow rate 300 nL·min−1, 3–37% of mobile phase B; mobile phase A: 0.1% FA in water; mobile phase B: 0.1% FA in 80% ACN). Both columns were heated to 40 °C.
MS data were acquired in a data-dependent strategy (cycle time 2 s). The survey scan range was set to m/z 350–2000 with a resolution of 120,000 (at m/z 200), a normalised target value of 250%, and a maximum injection time of 500 ms. HCD MS/MS spectra (isolation window m/z 1.2, 30% relative fragmentation energy) were acquired from m/z 120 with a relative target value of 50% (intensity threshold 5 × 103), a resolution of 15,000 (at m/z 200), and a maximum injection time of 50 ms. Dynamic exclusion was enabled for 45 s.
3.5. Proteomic Data Processing
For data processing, we used MaxQuant software (v2.0.3.0) [ref. 47] with an inbuilt Andromeda search engine [ref. 48]. A search was performed against protein databases of Cannabis sativa (30,194 protein sequences, version from 24 February 2022, downloaded from https://www.uniprot.org/proteomes/UP000583929, accessed on 1 January 2020) and cRAP contaminants (112 sequences, version from 22 November 2018, downloaded from http://www.thegpm.org/crap). Modifications were set for the database search as follows: oxidation (M), deamidation (N, Q), and acetylation (Protein N-term) as variable modifications, with carbamidomethylation (C) as a fixed modification. Enzyme specificity was tryptic with two permissible missed cleavages. Only peptides and proteins with a false discovery rate threshold under 0.01 were considered. Relative protein abundance was assessed using protein intensities calculated using MaxQuant. The intensities of reported proteins were further evaluated using a software container environment (https://github.com/OmicsWorkflows/KNIME_docker_vnc; version 4.1.3a). The processing workflow is available upon request, and it covers, in short, reverse hits and contaminant protein group (cRAP) removal, protein group intensities’ log2 transformation, and normalisation (loessF). For the purpose of this article, protein groups reported by MaxQuant are referred to as proteins or protein items.
3.6. Statistical Analysis
The program Statistica 12 (StatSoft Power Solutions Inc., Palo Alto, CA, USA) was used for the data analysis. Data were subjected to analyses of variance using the two-way ANOVA method, and the means were compared using the Tukey HSD test. Differences between the variants were considered significant at p < 0.05 unless stated otherwise.
4. Conclusions
In total, 2833 proteins were identified in this proteomic study of the whole seeds, hulls, and dehulled seeds of two industrial hemp (Cannabis sativa L.) cultivars. Of this number, only 88 proteins accounted for 81.5–91.4% of the relative quantity of total proteins. The proteins within this set, reflecting the physiological state of the mature and stored seeds, were classified into 10 classes according to molecular and biological functions. According to the literature, we confirmed most of all three types of storage proteins—11S (edestin), 7S (vicilin-like proteins) globulins, and 2S albumins. As expected, the 11S storage globulins were found in increased abundance, mainly in the dehulled seeds; in contrast, 7S globulins were more abundant in the hulls, and 2S albumins were ambiguously represented within the two cultivars evaluated.
The relative quantification of the data revealed that the second most abundant protein class (next to storage proteins) included oleosins as key proteins of the oil-body membranes. Metabolically important classes of proteins (e.g., proteins related to energy acquisition, nucleic acid metabolism, or protein synthesis) and proteins that are part of defence mechanisms or stress responses are more abundant in the hulls. The hulls of the hemp seed can thus be an important source of valuable proteins for use in food, medical, or biotechnological applications.
Although protein samples of two cultivars were evaluated, it became very clear that the cultivar is an important factor in the relative abundance of proteins, and the selection of a suitable cultivar will be important not only in terms of hemp cultivation as a field crop and in terms of seed-to-oil processing but also in the utilisation of the protein component of the seed.
References
- J.C. Callaway. Hempseed as a nutritional resource: An overview. Euphytica, 2004. [DOI]
- R.A. Burton, M. Andres, M. Cole, J.M. Cowley, M.A. Augustin. Industrial hemp seed: From the field to value-added food ingredients. J. Cannabis Res., 2022. [DOI | PubMed]
- B. Farinon, R. Molinari, L. Costantini, N. Merendino. The Seed of Industrial Hemp (Cannabis sativa L.): Nutritional Quality and Potential Functionality for Human Health and Nutrition. Nutrients, 2020. [DOI | PubMed]
- X. Sun, Y. Sun, Y. Li, Q. Wu, L. Wang. Identification and Characterization of the Seed Storage Proteins and Related Genes of Cannabis sativa L.. Front. Nutr., 2021. [DOI | PubMed]
- U. Kriese, E. Schumann, W.E. Weber, M. Beyer, L. Brühl, Matthäus. Oil content, tocopherol composition and fatty acid patterns of the seeds of 51 Cannabis sativa L. genotypes. Euphytica, 2004. [DOI]
- Y. Lan, F. Zha, A. Peckrul, B. Hanson, B. Johnson, J. Rao, B. Chen. Genotype x Environmental Effects on Yielding Ability and Seed Chemical Composition of Industrial Hemp (Cannabis sativa L.) Varieties Grown in North Dakota, USA. J. Am. Oil. Chem. Soc., 2019. [DOI]
- J.I. Alonso-Esteban, M.J. González-Fernández, D. Fabrikov, E. Torija-Isasa, M.d.C. Sánchez-Mata, J.L. Guil-Guerrero. Hemp (Cannabis sativa L.) Varieties: Fatty Acid Profiles and Upgrading of γ-Linolenic Acid–Containing Hemp Seed Oils. Eur. J. Lipid Sci. Technol., 2020. [DOI]
- Y. Xu, J. Zhao, R. Hu, W. Wang, J. Griffin, Y. Li, X.S. Sun, D. Wang. Effect of genotype on the physicochemical, nutritional, and antioxidant properties of hempseed. J. Agric. Food Res., 2021. [DOI]
- W. Golimowski, M. Teleszko, D. Marcinkowski, D. Kmiecik, A. Grygier, A. Kwaśnica. Quality of Oil Pressed from Hemp Seed Varieties: ‘Ealina 8FC’, ‘Secueni Jubileu’ and ‘Finola’. Molecules, 2022. [DOI | PubMed]
- G. Mamone, G. Picariello, A. Ramondo, M.A. Nicolai, P. Ferranti. Production, digestibility and allergenicity of hemp (Cannabis sativa L.) protein isolates. Food Res. Int., 2019. [DOI | PubMed]
- J.A. Miernyk, M. Hajduch. Seed proteomics. J. Proteom., 2011. [DOI | PubMed]
- R.E. Aluko. Hemp Seed (Cannabis sativa L.) Proteins: Composition, Structure, Enzymatic Modification, and Functional or Bioactive Properties. Sustainable Protein Sources, 2017
- C.-H. Tang, Z. Ten, X.-S. Wang, X.-Q. Yang. Physicochemical and Functional Properties of Hemp (Cannabis sativa L.) Protein Isolate. J. Agric. Food Chem., 2006. [DOI | PubMed]
- Q. Wang, Y.L. Xiong. Processing, Nutrition, and Functionality of Hempseed Protein: A Review. Compr. Rev. Food Sci. Food Saf., 2019. [DOI | PubMed]
- J. Bárta, V. Bártová, M. Jarošová, J. Švajner. Proteins of Oilseed Cakes, Their Isolation and Usage Possibilities. Chem. Listy, 2021
- E. Ponzoni, I.M. Brambilla, I. Galasso. Genome-wide identification and organization of seed storage protein genes of Cannabis sativa. Biol. Plant., 2018. [DOI]
- S.-K. Park, J.-B. Seo, M.-Y. Lee. Proteomic profiling of hempseed proteins from Cheungsam. Biochim. Biophys. Acta Proteins Proteom., 2012. [DOI]
- G. Aiello, E. Fasoli, G. Boschin, C. Lammi, C. Zanoni, A. Citterio, A. Arnoldi. Proteomic characterization of hempseed (Cannabis sativa L.). J. Proteom., 2016. [DOI]
- W. Leonard, P. Zhang, D. Ying, S. Nie, E. Tindal, Z. Fang. Transformation of hempseed (Cannabis sativa L.) oil cake proteome, structure and functionality after extrusion. Food Chem., 2022. [DOI | PubMed]
- M. Stoyke, R. Becker, J. Brockmeyer, W. Jira, B. Popping, S. Uhlig, S. Wittke. German Government Official Methods Board Points the Way Forward: Launch of a New Working Group for Mass Spectrometry for Protein Analysis to Detect Food Fraud and Food Allergens. J. AOAC Int., 2019. [DOI | PubMed]
- K. Kotecka-Majchrzak, A. Sumara, E. Fornal, M. Montowska. Identification of species-specific peptide markers in cold-pressed oils. Sci. Rep., 2020. [DOI | PubMed]
- K. Kotecka-Majchrzak, A. Sumara, E. Fornal, M. Montowska. Proteomic analysis of oilseed cake: A comparative study of species-specific proteins and peptides extracted from ten seed species. J. Sci. Food Agric., 2021. [DOI | PubMed]
- J.I. Alonso-Esteban, J. Pinela, A. Ćirić, R.C. Calhelha, M. Soković, I.C.F.R. Ferreira, L. Barros, E. Torija-Isasa, M.d.C. Sánchez-Mata. Chemical composition and biological activities of whole and dehulled hemp (Cannabis sativa L.) seeds. Food Chem., 2022. [DOI | PubMed]
- G. Smolikova, D. Gorbach, E. Lukasheva, G. Mavropolo-Stolyarenko, T. Bilova, E. Soboleva, A. Tsarev, E. Romanovskaya, E. Podolskaya, V. Zhukov. Bringing New Methods to the Seed Proteomics Platform: Challenges and Perspectives. Int. J. Mol. Sci., 2020. [DOI | PubMed]
- J.D. House, J. Neufeld, G. Leson. Evaluating the Quality of Protein from Hemp Seed (Cannabis sativa L.) Products Through the use of the Protein Digestibility-Corrected Amino Acid Score Method. J. Agric. Food Chem., 2010. [DOI | PubMed]
- J.I. Boye, C. Barbana. Protein Processing in Food and Bioproduct Manufacturing and Techniques for Analysis. Food and Industrial Bioproducts and Bioprocessing, 2012
- P. Shen, Z. Gao, M. Xu, J. Rao, B. Chen. Physicochemical and structural properties of proteins extracted from dehulled industrial hempseeds: Role of defatting process and precipitation pH. Food Hydrocoll., 2020. [DOI]
- H. Chen, B. Xu, Y. Wang, W. Li, D. He, Y. Zhang, X. Zhang, X. Xing. Emerging natural hemp seed proteins and their functions for nutraceutical applications. Food Sci. Hum. Wellness, 2023. [DOI]
- M. Liu, J.A. Toth, M. Childs, L.B. Smart, A. Abbaspourrad. Composition and functional properties of hemp seed protein isolates from various hemp cultivars. J. Food Sci., 2023. [DOI | PubMed]
- M. Liu, M. Childs, M. Loos, A. Taylor, L.B. Smart, A. Abbaspourrad. The effects of germination on the composition and functional properties of hemp seed protein isolate. Food Hydrocoll., 2023. [DOI]
- F. Potin, S. Lubbers, F. Husson, R. Saurel. Hemp (Cannabis sativa L.) Protein Extraction Conditions Affect Extraction Yield and Protein Quality. J. Food Sci., 2019. [DOI | PubMed]
- B. Fang, Z. Gu, J.-B. Ohm, B. Chen, J. Rao. Reverse micelles extraction of hemp protein isolate: Impact of defatting process on protein structure, functionality, and aromatic profile. Food Hydrocoll., 2023. [DOI]
- R. Angelovici, G. Galili, A.R. Fernie, A. Fait. Seed desiccation: A bridge between maturation and germination. Trends Plant Sci., 2010. [DOI | PubMed]
- T. Docimo, I. Caruso, E. Ponzoni, M. Mattana, I. Galasso. Molecular characterization of edestin gene family in Cannabis sativa L.. Plant Physiol. Biochem., 2014. [DOI | PubMed]
- M. Hajduch, R. Matusova, N.L. Houston, J.J. Thelen. Comparative proteomics of seed maturation in oilseeds reveals differences in intermediary metabolism. Proteomics, 2011. [DOI | PubMed]
- C.V. Nikiforidis. Structure and functions of oleosomes (oil bodies). Adv. Colloid. Interface Sci., 2019. [DOI | PubMed]
- F.L. Garcia, S. Ma, A. Dave, A. Acevedo-Fani. Structural and Physicochemical Characteristics of Oil Bodies from Hemp Seeds (Cannabis sativa L.). Foods, 2021. [DOI | PubMed]
- C. Lopez, B. Novales, H. Rabesona, M. Weber, T. Chardot, M. Anton. Deciphering the properties of hemp seed oil bodies for food applications: Lipid composition, microstructure, surface properties and physical stability. Food Res. Int., 2021. [DOI | PubMed]
- M. Puri, I. Kaur, M.A. Perugini, R.C. Gupta. Ribosome-inactivating proteins: Current status and biomedical applications. Drug Discov. Today, 2012. [DOI | PubMed]
- A. Bolognesi, M. Bortolotti, S. Maiello, M.G. Battelli, L. Polito. Ribosome-Inactivating Proteins from Plants: A Historical Overview. Molecules, 2016. [DOI | PubMed]
- L. Citores, R. Iglesias, J.M. Ferreras. Antiviral Activity of Ribosome-Inactivating Proteins. Toxins, 2021. [DOI | PubMed]
- E.-S. Kim, T.-H. Kwon, S.-H. Park. Structural Characteristics of Shells in a Fibrous Cultivar of Cannabis sativa L.. J. Nat. Fibers, 2023. [DOI]
- P. Shen, Z. Gao, M. Xu, J.-B. Ohm, J. Rao, B. Chen. The impact of hempseed dehulling on chemical composition, structure properties and aromatic profile of hemp protein isolate. Food Hydrocoll., 2020. [DOI]
- S. Sharma, T. Tamilselvan, M. Shakeb, P. Prabhasankar. Hydrothermal treatment of hemp seeds (Cannabis sativa L.): Impact on its dehulling yield, fatty acid profile and nutritional characteristics. J. Sci. Food Agric., 2023. [DOI | PubMed]
- U.K. Laemmli. Cleavage of Structural Proteins during the Assembly of the Head of Bacteriophage T4. Nature, 1970. [DOI | PubMed]
- J.R. Wiśniewski, A. Zougman, N. Nagaraj, M. Mann. Universal sample preparation method for proteome analysis. Nat. Methods, 2009. [DOI | PubMed]
- J. Cox, M. Mann. MaxQuant enables high peptide identification rates, individualized p.p.b.-range mass accuracies and proteome-wide protein quantification. Nat. Biotechnol., 2008. [DOI | PubMed]
- J. Cox, N. Neuhauser, A. Michalski, R.A. Scheltema, J.V. Olsen, M. Mann. Andromeda: A Peptide Search Engine Integrated into the MaxQuant Environment. J. Proteome Res., 2011. [DOI | PubMed]
