A case of a common bile duct stone that formed around a fish bone as a nidus after distal gastrectomy with Roux-en-Y reconstruction
Abstract
Background:
The presence of a foreign body in the common bile duct (CBD) is a rare phenomenon. Thus, the route and mechanism of its migration remain difficult to fully clarify, especially for cases that occur after gastrectomy with Roux-en-Y reconstruction. Herein, we present a case of a CBD stone that formed around a fish bone as a nidus subsequent to distal gastrectomy with Roux-en-Y reconstruction.
Case presentation:
A 70-year-old man was admitted to our hospital due to repeated episodes of epigastralgia. He had undergone distal gastrectomy with Roux-en-Y reconstruction for gastric cancer approximately 10 years prior. Blood tests revealed obstructive jaundice, hepatobiliary dysfunction, and inflammation. Multi-plane reconstructed computed tomography (CT) revealed a CBD stone with a needle-shaped calcification density at the center, oriented along the length of the CBD. Surgery was performed using an upper median laparotomy approach. Lithotomy with choledochotomy was performed to remove one fragile bilirubin stone that had formed around a 3-cm, needle-shaped fish bone. A choledochoduodenal fistula was not detected intraoperatively. A review of the imaging of a prior examination revealed that the formation of the CBD stone around the fish bone was observable on a follow-up CT performed approximately 2 years prior. However, no clinical symptoms associated with the migration of the fish bone to the CBD were reported and the fish bone was not detected at that time.
Conclusion:
In this case, transpapillary migration of the fish bone could only be speculated in the absence of an observable fistula, choledochostomy, or any clinical symptoms. Our case is clinically relevant as cholangitis developed after CBD stone formation around the fish bone that acted as a nidus.
Article type: Case Report
Keywords: Foreign body, Fish bone, Common bile duct stone, Gastrectomy, Roux-en-Y reconstruction
Affiliations: Department of Surgery, Hikari Municipal Hikari General Hospital, Hikarigaoka 6-1, Hikari, Yamaguchi 743-8561 Japan
License: © The Author(s) 2021 CC BY 4.0 Open AccessThis article is licensed under a Creative Commons Attribution 4.0 International License, which permits use, sharing, adaptation, distribution and reproduction in any medium or format, as long as you give appropriate credit to the original author(s) and the source, provide a link to the Creative Commons licence, and indicate if changes were made. The images or other third party material in this article are included in the article’s Creative Commons licence, unless indicated otherwise in a credit line to the material. If material is not included in the article’s Creative Commons licence and your intended use is not permitted by statutory regulation or exceeds the permitted use, you will need to obtain permission directly from the copyright holder. To view a copy of this licence, visit http://creativecommons.org/licenses/by/4.0/.
Article links: DOI: 10.1186/s40792-021-01142-6 | PubMed: 33630177 | PMC: PMC7907409
Relevance: Relevant: mentioned in keywords or abstract
Full text: PDF (1.2 MB)
Background
The presence of foreign bodies in the common bile duct (CBD) is a rare phenomenon. Although reports of such cases are gradually increasing, the route and mechanism of migration of such foreign bodies into the CBD remain to be clarified. Additionally, there are no reports about the length of time required to form a stone after foreign body migration into the CBD. As such, there is a need for more case reports to be accumulated and discussed. Herein, we present a case of a CBD stone that formed around a fish bone as a nidus after distal gastrectomy with Roux-en-Y reconstruction.
Case presentation
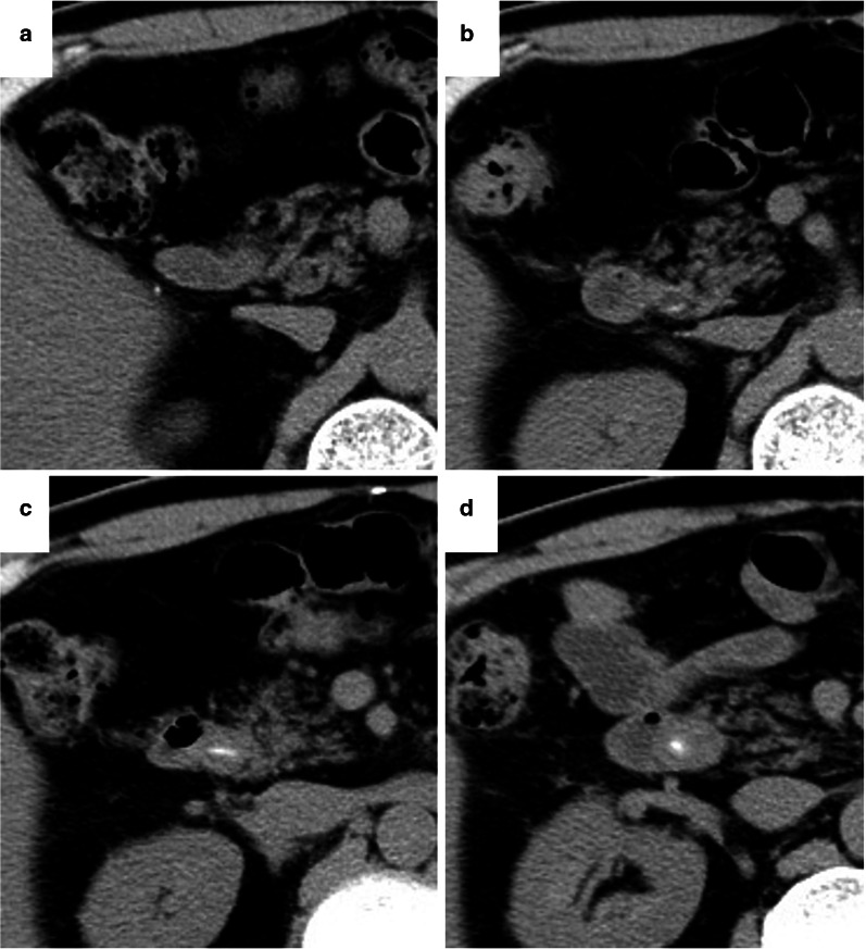
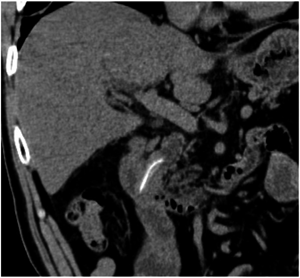
A 70-year-old man was admitted to our hospital for obstructive jaundice. He had undergone distal gastrectomy with Roux-en-Y reconstruction for gastric cancer concomitant with cholecystectomy for cholecystolithiasis approximately 10 years prior at a different hospital. The pathological staging of his gastric cancer was SS, N0, M0, stage IB. Gastric cancer recurrence was not detected during postoperative surveillance by computed tomography (CT) imaging or blood examination (Fig. 1a). In November 2016, further examination for repeated episodes of epigastralgia revealed the presence of obstructive jaundice. The patient’s serum total and direct bilirubin levels were 4.2 and 2.4 mg/dL, respectively. Moreover, hepatobiliary dysfunction was detected and the patient’s serum alkaline phosphatase, aspartate aminotransferase, alanine aminotransferase, and gamma-glutamyl transferase levels were 474 IU/L, 264 IU/L, 496 IU/L, and 676 IU/L, respectively. C-reactive protein was elevated at 11.2 mg/dL. CT examination revealed CBD dilatation with a high-density area (Fig. 1d). On a series of surveillance CT images, a spotted high-density area in the CBD was confirmed in a retrospective analysis following the onset of cholangitis (Fig. 1b, c). Multi-plane reconstructed (MPR) CT revealed a CBD stone along the length of the CBD that contained a needle-shaped calcification density at its center (Fig. 2). The patient was diagnosed as acute cholangitis concomitant with CBD stone. Gastroenterologists at our center and from a nearby hospital deemed that it would be difficult and tentative to perform endoscopic therapy to remove the stone through the Roux-en-Y reconstructed intestine. Therefore, the surgical procedure was adopted as quick and reliable treatment option and was performed using the upper median laparotomy approach. A severe adhesion, resulting from prior surgeries (namely distal gastrectomy and cholecystectomy), was found between the liver and the hepatoduodenal ligament. Even though the CBD was carefully exposed to adhesiolysis, a choledocoduodenal fistula was not detected. Lithotomy with choledochotomy was performed to remove one fragile bilirubin stone that had formed around a 3-cm, needle-shaped fish bone (Fig. 3). The choledochotomy was closed by interrupted sutures using a polyglactin 910 suture. CBD drainage was not performed. The needle-shaped foreign body was diagnosed as a fish bone by histological hematoxylin and eosin staining and infrared absorption spectrophotometry (Fig. 4). The patient’s postoperative course was uneventful and free of adverse events. The patient was discharged on postoperative day 21. No recurrence of a CBD foreign body was identified over the 4 years since the surgery.




Discussion
In this case, we confirm the possibility of a CBD stone forming around a fish bone as a nidus. Moreover, in the absence of an observable fistula, the fish bone was assumed to have migrated into the CBD, although the route and mechanism of this migration remain to be clarified.
We summarize previously published cases on CBD foreign bodies in Japan. We identified 54 reports (of 63 cases) that identified the following causes: iatrogenic (42/63, 66.7%), oral ingestion (17/63, 27.0%), extracorporeal penetration (1/63, 1.6%), and parasites (3/63, 4.8%). In the world, foreign bodies introduced by ingestion have included toothpicks [ref. 1, ref. 2], needles [ref. 3], fish bones [ref. 4, ref. 5], chicken bones [ref. 6], and plant fibers [ref. 7, ref. 8]. Due to the high fish consumption in Japan, a fish bone was the most identified foreign body in the CBD in 16 cases, including our case [ref. 4, ref. 9–ref. 19], and plant fiber in one cases [ref. 20] (Table 1).
Table 1: The 16 cases of fish bones in the common bile duct reported in Japan
| No. | Author | Year | Age | Sex | Chief complaints | Previous disease and interventional treatment or surgery | Interval time of migration (years) | length of fish bone (mm) | Therapeutic procedures for CBD stone | Possible pathway of migration to CBD |
|---|---|---|---|---|---|---|---|---|---|---|
| 1 | Morimoto | 2018 | 73 | F | Rt. hypochondralgiaBack pain | None | – | 35 | EST | Through the papilla by chance |
| 2 | Sakakida | 2018 | 78 | F | FeverEpigastric pain | Duodenal carcinomaPancreaticoduodenectomy | 9 | 20 | Single-balloon endoscopic lithotomy | Choledochojejunostomy |
| 3 | Koga | 2018 | 71 | M | Fever | CholangiocarcinomaPancreaticoduodenectomy | 1 | Not specified | Double-balloon endoscopic lithotomy | Choledochojejunostomy |
| 4 | Bamba | 2017 | 71 | M | FeverLiver dysfunction | Intraductal papillary mucinous neoplasmPancreaticoduodenectomy | 2 | 25 | Single-balloon endoscopic lithotomy | Choledochojejunostomy |
| 5 | Kuga | 2016 | 63 | M | FeverEpigastric pain | Perforation of juxtapapillary duodenal diverticulumPylorus-preserving pancreaticoduodenectomy | 5 | 19 | Laparotomy | Choledochojejunostomy |
| 6 | Araya | 2016 | 79 | F | Epigastric painJaundice | None | – | 15 | EST | Not specified |
| 7 | Hori | 2016 | 70 | M | Consciousness disturbanceFever | 1. Distal gastrectomy, Billroth II reconstruction2. CBD stone, choledochoduodenostomy | 405 | 25 | Laparotomy | Choledocoduodenostomy |
| 8 | Yoshida | 2010 | 73 | M | Rt. upper abdominal painFever | CBD stone, EST | 3 | 40 | EST | Through the papilla (post-EST) |
| 9 | Yoshida | 2005 | 77 | M | Rt. hypochondralgia | None | – | 38 | Endoscopic papillary balloon dilatation | Through the papilla by chance |
| 10 | Kaji | 2004 | 83 | M | Jaundice | None | – | 30 | LaparotomyCholedochotomy | Temporary choledochoduodenal fistula |
| 11 | Watanabe | 1999 | 74 | F | Fever (ampulla carcinoma of Vater) | None | – | 30 | LaparotomyPancreaticoduodenectomy | Through the papilla by chance |
| 12 | Sakai | 1997 | 69 | M | Rt. hypochondralgia | CBD stone, EST | 1 | 32 and 44 | Endoscopic lithotomy | Through the papilla (post-EST) |
| 13 | Kakiuchi | 1989 | 63 | M | Epigastric pain | Gastric cancer, gastrectomy | 16 | 25 | LaparotomyCholedochotomy | Through the papilla by chance |
| 14 | Kato | 1985 | 84 | M | Epigastric painVomiting | Gastric ulcer, gastrectomy | 30 | 40 | LaparotomyCholedochotomy | Not mentioned |
| 15 | Sato | 1980 | 60 | F | Epigastric painJaundice | Gastric ulcer, gastrectomy, Billroth II reconstruction | 10 | 50 | LaparotomyCholedochotomy | Not mentioned |
| 16 | Our case | 2017 | 70 | M | Epigastric pain | Gastric cancerDistal gastrectomy, Roux-en Y reconstruction | 2 | 32 | LaparotomyCholedochotomy | Through the papilla by chance (speculated) |
The interval time of migration is defined as the time interval for the migration after a previous interventional treatment or surgery and is shown as the number of years
F female, M male, Rt right, CBD common bile duct, EST endoscopic sphincterotomy
Choledochoduodenal fistulae and post-biliary jejunostomies have been reported as routes of foreign body migration into the CBD [ref. 1, ref. 5]. Other possibilities include direct access by needle-shaped objects, such as a fish bone [ref. 1, ref. 4, ref. 7], transhepatic migration [ref. 21], and transpapillary regurgitation [ref. 2, ref. 3, ref. 8, ref. 10, ref. 22, ref. 23]. There is also the possibility of excretion of foreign bodies from the liver into the bile duct, as shown in a case of a shrapnel splinter in the right thoracic cavity that migrated into the CBD through the diaphragm and liver [ref. 24]. Foreign bodies could also migrate into the CBD through the papilla, as shown by cases in which soft material impaction, such as plant stems or fibers and a chicken bone, in the duodenal papilla was the contributing source of the CBD foreign body [ref. 6, ref. 8, ref. 20].
In our case, after distal gastrectomy and Roux-en-Y reconstruction, severe adhesions were found between the residual stomach and liver, as well as around the duodenal stump and hepatoduodenal ligament, although there was no fistula or jejunostomy. Additionally, no previous duodenal papillae treatment had been performed. Thus, besides the transpapillary route, transient gastrohepatic, and duodenal biliary fistulae were considered as possible causes but with no conclusive evidence. During the clinical course, since the fish bone migrated into the bile duct, there were no specific abnormalities, such as pain or inflammation associated with perforation. As such, we considered transpapillary foreign body migration as the most likely route of migration, as previously described [ref. 25]. In six cases (37.5%) reported in Japan, migration through the duodenal papilla was considered [ref. 10, ref. 15–ref. 19]. The introduction of an ingested foreign body into the bile duct via reflux should also be considered, regardless of duodenal papilla treatment [ref. 7, ref. 10]. In cases of post-gastrectomy, abnormal motility of the sphincter of Oddi has been observed by severing the intrinsic neural connection from the stomach at the proximal duodenum. As evidenced by the paradoxical response to cholecystokinin, post-gastrectomy sequelae may stimulate the contraction of the sphincter of Oddi. But it has not been clarified how a motor disorder of the sphincter of Oddi is related to regurgitation [ref. 26]. A study investigating reflux of oral contrast agents into the bile ducts during magnetic resonance cholangiopancreatography identified prior intervention to the duodenal papilla, parapapillary diverticulum, and pneumobilia as risk factors for reflux, although gastrectomy was not associated with the development of reflux [ref. 27].
Once the physiological analysis is completed, it is followed by the anatomical analysis. As several of the ingested foreign bodies reported to date have a thin needle-like shape and are approximately a few centimeters long, we hypothesize that they may be easily caught in the duodenal folds by peristalsis when passing through the curvature of the duodenum. Given that the duodenum is fixed to the retroperitoneum, the shape of the duodenum is almost flat in the direction of the papillary side of the small curvature, opposite to the greater curvature. Therefore, a long and thin object, such as a fish bone, that moves along a diagonal line in the major axis of the duodenal may unexpectedly be caught in the duodenal papilla.
Several hypotheses have been put forth as to why a fish bone is not expulsed from the CBD. The tip of the fish bone may have become lodged in the wall of the bile duct, subsequently being pushed into the bile duct by peristalsis, even if exposed to the duodenal papilla. Bile stasis might also be an associated factor. However, clear research evidence regarding these routes is needed. There is also the possibility of reflux into the afferent loop due to distal intestine stenosis or obstruction; however, such symptoms were not observed in our patient. Migration of the foreign body from the afferent loop to the duodenum, insertion into the duodenal papilla, and its persistent location in the bile duct appear to be coincident.
In our case, a retrospective review of prior images identified that the process of CBD stone formation around the fish bone took approximately 2 years. The fish bone initially stagnated in the CBD, without stone formation, for the first year. Subsequently, a CBD stone gradually grew around the fish bone and finally became incarcerated for approximately 2 years, causing acute cholangitis. Prior studies have shown the potential for food-based foreign bodies in the CBD to act as a nidus for stone formation, making excretion difficult [ref. 1, ref. 9]. In our case, the stone that formed around the fish bone was formed of ocher bilirubinate. Bilirubin becomes deconjugated by the bacterial infection associated with cholestasis, resulting in the aggregation of poorly soluble calcium salts that led to stone formation around the fish bone [ref. 23]. Stone formation associated with a bacterial infection in the CBD is suggestive of reflux from the duodenal papillae.
In various reports, CT imaging has been useful to identify aspirated fish bones [ref. 9, ref. 12, ref. 28]. In our case, the fish bone in the CBD was visible on coronal plane MPR CT images performed at the onset of the cholangitis. On images of the axial plane CT, only a dot-like high-density area was observable, even though it could not be confirmed as an abnormality as the patient did not develop any symptoms. In particular, it was difficult to detect the very small spotted high-density area on the axial plain, which was performed before the cholangitis as a periodical examination. Today, owing to improvements in CT processing speed and resolution, CT reconstructed imaging could be routinely performed in cases with biliary system abnormalities.
Although endoscopic treatment is currently a well-established procedure, the patient would more likely be treated initially by single- or double-balloon endoscopy [ref. 9, ref. 12]. However, this would have been technically difficult to perform in our case due to the altered anatomy following the Roux-en-Y reconstruction. The success rate of reaching the duodenal papilla would still be low especially in the presence of a residual stomach, and shortly after the introduction of the new procedure at the institution. Therefore, we proceeded with open surgery as the more reliable treatment option during which severe adhesions were carefully dissected, although the procedure itself was the same as for normal bile duct stones and, therefore, there were no safety issues.
In our case, as a clinical experience, there was a progression from the invasion of the fish bone into the CBD to stone formation and the onset of cholangitis. However, though we speculate on a transpapillary pathway of migration of the fish bone into the CBD, there was no confirmatory evidence. There is a need to accumulate cases and experiences to improve our understanding of the process of foreign body invasion of the CBD.
Conclusions
We describe a rare case of a CBD stone that formed around a fish bone as a nidus after distal gastrectomy with Roux-en-Y reconstruction. In this case, transpapillary migration of the fish bone was considered as the route of entry, in the absence of a fistula, choledochostomy, or any clinical symptoms. Our case is valuable because the process of cholangitis development was retrospectively observed after the CBD stone had formed.
References
- JL Ban, FM Hirose, JR Benfield. Foreign bodies of the biliary tract: report of two patients and a review of the literature. Ann Surg, 1972. [DOI | PubMed]
- VO Brunaldi, MO Brunaldi, R Masagao, C Silva, H Masuda, JE Brunaldi. Toothpick inside the common bile duct: a case report and literature review. Case Rep Med, 2017. [DOI | PubMed]
- R Dias, P Dharmaratne. Ingested foreign body in the common bile duct. J Indian Assoc Pediatr Surg, 2012. [DOI | PubMed]
- H Kaji, N Asano, H Tamura, I Yuh. Common bile duct stone caused by a fish bone: report of a case. Surg Today, 2004. [DOI | PubMed]
- R Orda, A Leviav, I Ratan, J Stadler, T Wiznitzer. Common bile duct stone caused by a foreign body. J Clin Gastroenterol, 1986. [DOI | PubMed]
- S Baldota, C Breach, B Murtuza, B el Houcheimi, A Darzi, DJ Hadjiminas. Chicken bone injury of the common bile duct. J R Soc Med, 2000. [DOI | PubMed]
- GY Lv, W Qiu, Y Yu, T Li. Development of hepatolithiasis due to a celery stalk retained within the bile ducts of the liver. Ann R Coll Surg Engl, 2016. [DOI | PubMed]
- V Prochazka, D Krausova, R Kod’ousek, P Zamecnikova. Foreign material as a cause of choledocholithiasis. Endoscopy, 1999. [DOI | PubMed]
- T Sakakida, H Sato, T Doi, T Kawakami, Y Nakatsugawa, K Nishimura. A bile duct stone formation around a fish bone as a nidus after pancreatoduodenectomy. Case Rep Gastroenterol, 2018. [DOI | PubMed]
- Y Morimoto, T Fujita, T Mizuno, A Ito, T Nakano, T Hachisuka. A case of choledocolithiasis caused by fish bones that served as cores around which gallstones developed. Gastroenterol Endosc, 2018
- Y Koga, A Soyama, A Kitasato, M Takatsuki, S Eguchi. Fishbone migration in the intrahepatic bile duct after pancreaticoduodenectomy. ACG Case Rep J, 2018. [DOI | PubMed]
- H Bamba, T Nakata, Y Sato, T Shuhei, I Hiroto, I Takayuki. A case report of a bile duct stone whose formation was induced by a fish bone after pancreatoduodenectomy. Gastroenterol Endosc, 2017
- T Kuga, K Oka, T Inokuchi, K Ueda, Y Yano, Y Fujii. A case report of the patient with foreign body (fish bone) in the intrahepatic bile duct after pylorus preserved pancreatoduodenectomy. Geka, 2016
- N Hori, T Matsuda, R Katsube, U Jeon, M Lee, K Yasuaki. A case of a fish bone detected in the upper bile duct after gastrectomy and choledochoduodenostomy. J Jpn Surg Assoc, 2016. [DOI]
- A Yoshida, K Ohba, T Morisaki, T Kenichi, Y Naoyuki, O Ken. A case of common bile duct stone caused by an ingested fish bone. Gastroenterol Endosc, 2010
- A Yoshida, T Fujii, N Shibata, O Fumika, M Akinori, T Masaki. A case of a fish bone in the common bile duct. Gastroenterol Endosc, 2005
- T Watanabe, M Sukigara, N Shinozuka, Y Tatsuo, K Isamu, O Ryouzo. A case of stone of the common bile duct caused by an ingested fish bone with an ampulla carcinoma of the Vater. J Jpn Surg Assoc, 1999. [DOI]
- T Sakai, M Kihara, H Wagayama, S Atsuya, K Mikio, T Yukihiko. A case of recurrent choledocholithiasis due to foreign bodies (fish bones) after endoscopic sphincterotomy. J Jpn Soc Gastroenterol, 1997
- M Kakiuchi, K Iwai, T Akamine, F Sentou. A case of common bile duct stone caused by a fish bone. J Clin Surg, 1989
- M Takahashi, H Ishii, M Koizumi, S Susumu. A case report of stones formation in the common bile duct due to a core of a plant. Jpn Soc Gastroenterol Surg, 1991. [DOI]
- L Carballo Rodriguez, I Ruiz Montesinos, R Jimenez Aguero, GA Beguiristain. Hepatic abscesses secondary to a foreign body in the common bile duct. Rev Esp Enferm Dig, 2017. [DOI | PubMed]
- YH Kim, YJ Kim, WK Park, SK Lee, JH Kwon, SK Woo. Fish bone as a nidus for stone formation in the common bile duct: report of two cases. Korean J Radiol, 2004. [DOI | PubMed]
- F Cetta, F Lombardo, S Rossi. Large foreign body as a nidus for a common duct stone in a patient without spontaneous biliary enteric fistula or previous abdominal surgery. HPB Surg, 1993. [DOI | PubMed]
- S Eguchi, S Matsuo, M Hidaka, T Azuma, S Yamaguchi, T Kanematsu. Impaction of a shrapnel splinter in the common bile duct after migrating from the right thoracic cavity: report of a case. Surg Today, 2002. [DOI | PubMed]
- Y Wada, W Sasao, T Oku. Gastric perforation due to fish bone ingestion: a case report. J Gen Fam Med, 2016. [DOI]
- M Tanaka. Advances in research and clinical practice in motor disorders of the sphincter of Oddi. J Hepatobiliary Pancreat Surg, 2002. [DOI | PubMed]
- K Sakamoto, Y Shinagawa, K Inoue, A Morita, H Urakawa, R Fujimitsu. Obliteration of the biliary system after administration of an oral contrast medium is probably due to regurgitation: a pitfall on MRCP. Magn Reson Med Sci, 2016. [DOI | PubMed]
- SH Venkatesh, NK Venkatanarasimha Karaddi. CT findings of accidental fish bone ingestion and its complications. Diagn Interv Radiol, 2016. [DOI | PubMed]
