A Case Report of Cannabis Induced Hemoptysis
Abstract
As the principal route of marijuana use is by inhalation, potential harmful consequences on pulmonary structure and function can be anticipated. Here, we present a case of hemoptysis attributed to smoking cannabis in a 38-year-old man. The patient experienced an episode of hemoptysis and shortness of breath immediately after smoking marijuana. Chest radiograph and computed tomography (CT) scans of the chest showed bilateral diffuse ground-glass opacities. A fiber optic bronchoscopy confirmed bilateral diffuse bleeding from respiratory tract. Additional evaluation of hemoptysis indicated no infection or immunological responses. Urine toxicology was positive for cannabis.
Chronic marijuana smoking causes visible and microscopic injury to the larger airways responsible for symptoms or chronic bronchitis. We review the beneficial and deleterious effects of marijuana and describe a case of significant hemoptysis attributed to smoking marijuana. In addition to other respiratory complications of marijuana use, physicians should educate their patients about this potentially lethal effect of marijuana smoking in the form of hemoptysis.
License: Copyright © 2016 Wolters Kluwer Health, Inc. All rights reserved. CC BY-ND 4.0 This is an open access article distributed under the Creative Commons Attribution-NoDerivatives License 4.0, which allows for redistribution, commercial and non-commercial, as long as it is passed along unchanged and in whole, with credit to the author. http://creativecommons.org/licenses/by-nd/4.0
Article links: DOI: 10.1097/MD.0000000000003232 | PubMed: 27043693 | PMC: PMC4998554
Relevance: Moderate: mentioned 3+ times in text
Full text: PDF (308 KB)
INTRODUCTION
Cannabis remains the most prevalent illegal drug worldwide.1 Over 60 cannabinoids are found in natural marijuana, including delta-9-tetrahydrocannabinol (THC) the most psychoactive cannabinoid, cannabidiol, and cannabinol. Cannabis is derived from Cannabis sativa, a native plant of Asia now grown all over the world. Cannabis is highly lipid soluble and rapidly absorbed by the respiratory and gastrointestinal mucosa. The bioavailability of cannabis from smoking is 15% to 20%, whereas oral consumption results in approximately 6%. Furthermore, smoking produces rapid effects within a few minutes of inhalation and ingestion takes 1 to 3 hours.2
In the United States, the rates of cannabis use in young adults peaked in 1979, which was followed by a long decline until the early 1990 when its use increased again, before leveling off toward the end of the decade.3
THC is lipid soluble and highly protein-bound (95–99%). Its metabolism occurs via the hepatic cytochrome oxidases CYP2C9 and CYP3A4. After metabolism, THC is mostly excreted as hydroxylated and carboxylated metabolites via feces (65%) and urine (20%).4
Hemoptysis is defined as the expectoration of blood originating from the tracheobronchial tree or the pulmonary parenchyma. So far there has been one reported case of fatal alveolar hemorrhage associated with marijuana. The other drugs which have also been associated with hemoptysis are cocaine, bevacizumab, nitrogen dioxide toxicity, Argemone alkaloid-contaminated cooking oil (Dropsy), anticoagulants and antiplatelet agents.
CASE REPORT
This case report is based on a 38-year-old male with no past medical history who came for an evaluation due to a cough with hemoptysis and shortness of breath that started immediately after smoking marijuana. The patient was afebrile and his blood pressure was 122/81 mmHg. His heart rate was 79 beats/min and his oxygen saturation was 90% in room air. Examination of his lungs indicated bibasilar rales.
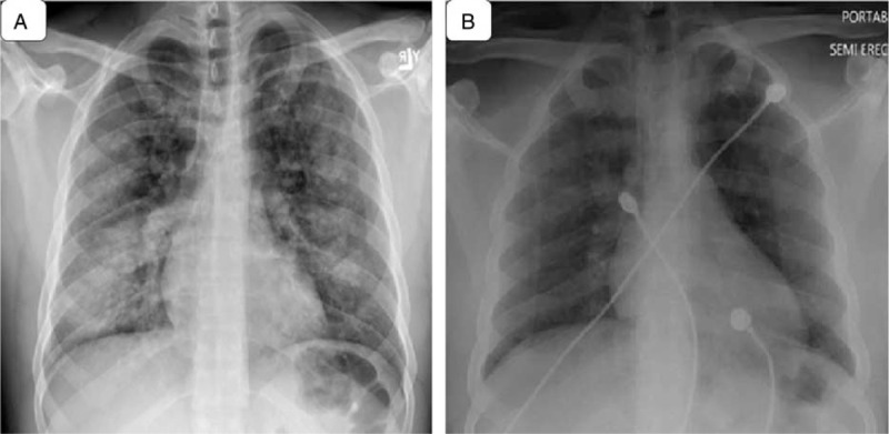
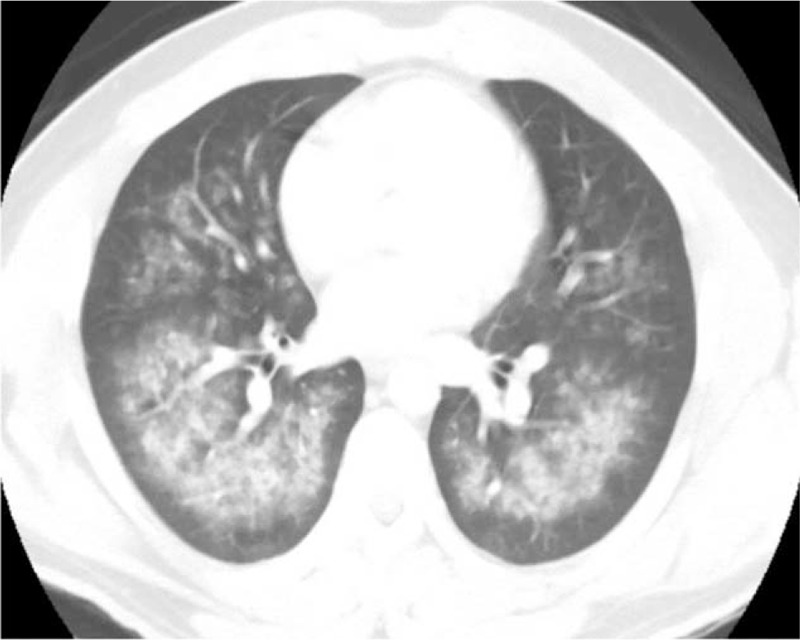
Chest radiograph (Figure 1A) showed increased interstitial markings and chest computed tomography (CT) scans (Figures 2 and 3) showed diffuse ground-glass opacities. An echocardiogram indicated a normal ejection fraction of 66% with no valvular abnormalities. A bronchoscopy with bronchoalveolar lavage (BAL) was initially bloody, but subsequently became clear (Figure 4). BAL cell counts showed leukocytes at 120 cells/mm3, with 98% neutrophils, and red blood cells at 28,250 × 106 cells/mm3. A transbronchial biopsy revealed chronic inflammation. The hemoglobin was 15.8 g/dl, coagulation profile was normal, vasculitis work up consisting of antinuclear antibody, rheumatoid factor, anti-DNA antibody, and antiglomerular basement membrane antibody was negative. The patient’s beta natriuretic peptide was 13 pg/ml and his urine toxicology was positive for cannabinoids.




The patient received a dose of furosemide and antibiotics were discontinued as the cultures were negative. Subsequently, his hemoptysis, cough, and shortness of breath resolved and was discharged home with follow-up in the pulmonary clinic. The patient’s chest radiograph before discharge demonstrated complete resolution of infiltrates (Figure 1B). This case is a unique case of hemoptysis likely due to marijuana inhalation, as no other possible causes were identified.
DISCUSSION
Marijuana has been used therapeutically as an antiemetic, an analgesic, a muscle relaxant, and an appetite stimulant. It has also been utilized for the treatment of amyotrophic lateral sclerosis, multiple sclerosis, and seizures associated with epilepsy. Furthermore, marijuana has antiinflammatory, anxiolytic, hypnotic, and antidepressant effects.5
A United States case–control study showed a simple association between cannabis smoking and head, neck, and lung cancers, but those associations were not significant after controlling for tobacco use.6 A recent epidemiologic review of marijuana and cancer demonstrated an increased risk of testicular cancer among marijuana users with insufficient evidence for cancers at other sites.7
Pneumomediastinum, pneumothorax, and subcutaneous emphysema are associated with deep inhalation of marijuana involving breath holding.8 This is a form of barotrauma which is a well-recognized cause of pneumothorax in intensive care units. If there is a cause-and-effect relationship between cannabis smoking and acute rupture of previously normal lung air spaces due to extreme pressure change, it falls under the diagnostic heading not of spontaneous but of traumatic pneumothorax.
A case crossover study by Mittleman that included 3882 patients with myocardial infarction, showed that cannabis can increase the risk of myocardial infarction by 4 to 8 times within an hour of use.9 Cannabis use during pregnancy was consistently associated with reduced birth weights in a large epidemiological study.10
Hemoptysis is a rare and potentially fatal presentation after smoking cannabis. Respiratory events have been reported in cannabis users most often in connection with additives. Psychiatric disorders are the most frequently reported presentations following cannabis inhalation because it is mainly used recreationally for its psychoactive effects.11 Respiratory disorders related to cannabis inhalation are similar to those due to tobacco inhalation, including cough, expectoration, respiratory tract inflammation, and bronchial cell growth modification that can lead to chronic bronchitis and/or cancer.12
There is a reported case of fatal alveolar hemorrhage that was associated with cannabis use in a young male who regularly smoked marijuana. His urine toxicology revealed a significant level of cannabis and a trace of cocaine.13 Another case of 16 years old male who was hospitalized for hemoptysis expectoration and found to have cannabis use 2 hours before admission, has been described by Monfort et al.14
Negative pressure pulmonary edema has been associated with hemoptysis.15 Edema develops as a consequence of an excessive pressure gradient between the capillary space and the alveolar space caused by a negative intrathoracic pressure-induced increase in right ventricular filling and a decrease in left ventricular ejection. Use of the term negative pressure pulmonary hemorrhage has been suggested for this variant. For alveolar hemorrhage to develop, there must also be mechanical damage to the alveolar epithelial lining.16
Our case is unique as significant hemoptysis associated solely with marijuana use has not been reported. Evidence of chronic inflammation on transbronchial biopsy in this otherwise healthy male supports chronic effects of marijuana on the lung parenchyma. Radiographically and bronchoscopically, our patient appeared to have the source of injury at the level of distal bronchioles and/or alveoli. Future reports on this phenomenon will hopefully give greater insight into this rare association to better define the pathophysiological mechanism linking hemoptysis with inhalational marijuana use.
CONCLUSION
It is imperative that physicians educate patients and colleagues about the potential dangers of any drug, especially one that is often used recreationally. Cannabis use can lead to life threatening complications, such as respiratory failure requiring mechanical ventilation, myocardial infarction, pulmonary edema secondary to hypertensive crises, or, as in this case, hemoptysis.
References
- E Jouanjus, F Leymarie, M Tubery. Cannabis-related hospitalizations: unexpected serious events identified through hospital databases.. Br J Clin Pharmacol, 2011. [PubMed]
- MK Benson, AM Bentley. Lung disease induced by drug addiction.. Thorax, 1995. [PubMed]
- W Hall, WD Hall, RL Pacula. Cannabis Use and Dependence: Public Health and Public Policy.. 2003
- F Grotenhermen. Pharmacokinetics and pharmacodynamics of cannabinoids.. Clin Pharmacokinet, 2003. [PubMed]
- CH Ashton. Adverse effects of cannabis and cannabinoids.. Br J Anaesth, 1999. [PubMed]
- M Hashibe. Marijuana use and the risk of lung and upper aerodigestive tract cancers: results of a population-based case-control study.. Cancer Epidemiol Biomarkers Prev, 2006. [PubMed]
- YH Huang, ZF Zhang, DP Tashkin. An epidemiologic review of marijuana and cancer: an update.. Cancer Epidemiol Biomarkers Prev, 2015. [PubMed]
- DP Tashkin. Effects of marijuana smoking on the lung.. Ann Am Thorac Soc, 2013. [PubMed]
- MA Mittleman, RA Lewis, M Maclure. Triggering myocardial infarction by marijuana.. Circulation, 2001. [PubMed]
- DM Fergusson, LJ Horwood, K Northstone. Maternal use of cannabis and pregnancy outcome.. BJOG, 2002. [PubMed]
- W Hall, L Degenhardt. Adverse health effects of non-medical cannabis use.. Lancet, 2009. [PubMed]
- JM Tetrault, K Crothers, BA Moore. Effects of marijuana smoking on pulmonary function and respiratory complications: a systematic review.. Arch Intern Med, 2007. [PubMed]
- O Gilbert, D Mathieu, O Hanquet. Hemoptysis in a young man.. Rev Mal Respir, 2006. [PubMed]
- M Monfort, A Larakeb, F Gouraud. Hemoptysis in a young man smoking cannabis.. Arch Pediatr, 2013. [PubMed]
- AF Broccard, L Liaudet, JD Aubert. Negative pressure post-tracheal extubation alveolar hemorrhage.. Anesth Analg, 2001. [PubMed]
- DR Schwartz, A Maroo, A Malhotra. Negative pressure pulmonary hemorrhage.. Chest, 1999. [PubMed]
