Bile duct carcinoma associated with congenital biliary dilatation in a 16-year-old female: a case report and literature review
Abstract
We encountered a very rare case of bile duct carcinoma associated with congenital biliary dilatation (CBD) in a 16-year-old female who was admitted to our hospital because of right upper abdominal pain and vomiting. Abdominal computed tomography demonstrated a cystic dilatation of the common bile duct measuring 7 cm in diameter and two enhanced tumors 4 cm in diameter located in the inferior bile duct and middle bile duct. Magnetic resonance cholangiopancreatography clearly demonstrated a cystic dilatation of the extrahepatic bile duct (Todani’s CBD classification: type 4-A). Endoscopic retrograde cholangiopancreatography also revealed two tumors. Biopsy results of one of the tumors confirmed adenocarcinoma. Excision of the perihilar bile duct and subtotal stomach-preserving pancreaticoduodenectomy with dissection of the major lymph nodes were performed. A postoperative histopathologic examination revealed a well-differentiated tubular adenocarcinoma, which remained within the mucosal layer, and no lymph node metastasis was found. The postoperative course was uneventful, and the patient was discharged 10 days after surgery and has remained disease-free for 21 months.
Article type: Case Report
Keywords: Congenital biliary dilatation, Pancreaticobiliary maljunction, Bile duct carcinoma, Pancreaticoduodenectomy
Affiliations: Department of Gastrointestinal Surgery, Tokai University School of Medicine, 143 Shimokasuya, Isehara, Kanagawa 259-1193 Japan; Department of Internal Medicine, Tokai University School of Medicine, 143 Shimokasuya, Isehara, Kanagawa 259-1193 Japan; Department of Pathology, Tokai University School of Medicine, 143 Shimokasuya, Isehara, Kanagawa 259-1193 Japan
License: © Izumi et al. 2016 CC BY 4.0 Open AccessThis article is distributed under the terms of the Creative Commons Attribution 4.0 International License (http://creativecommons.org/licenses/by/4.0/), which permits unrestricted use, distribution, and reproduction in any medium, provided you give appropriate credit to the original author(s) and the source, provide a link to the Creative Commons license, and indicate if changes were made.
Article links: DOI: 10.1186/s40792-016-0132-y | PubMed: 26943681 | PMC: PMC4722045
Relevance: Relevant: mentioned in keywords or abstract
Full text: PDF (789 KB)
Background
It is well known that congenital biliary dilatation (CBD) has a significant association with bile duct carcinoma and that CBD merges with pancreaticobiliary maljunction (PBM) in all cases [ref. 1]. PBM is a congenital anomaly defined as a junction of the pancreatic and biliary ducts located outside of the duodenal wall that usually forms a markedly long common channel [ref. 2, ref. 3]. Some authors have proposed a hyperplasia-dysplasia-carcinoma sequence [ref. 4, ref. 5]. Thus, PBM is thought to be a high risk factor for the development of carcinoma in the biliary tract. Here, we report a rare case of a 16-year-old female with early bile duct carcinoma combined with PBM and CBD.
Case presentation
A 16-year-old female was admitted to our hospital with a chief complaint of right upper abdominal pain and vomiting. Although our patient was autistic, her condition did not play any role in her present illness. Her body mass index was 18.49. Her family history included a grandfather treated for colon cancer at an unknown age, but there was no family history of anomalies of the pancreaticobiliary tract system. On physical examination, there was slight tenderness and an abnormal palatable mass in the right upper abdomen. Blood test findings on admission were as follows (Table 1): mild anemia and a longitude increase in hepatobiliary enzymes, amylase, and elastase 1, while levels of carcinoembryonic antigen and cancer antigen 19-9 (CA19-9) were within normal ranges.
Table 1: Blood test findings on admission
| Level | Units | |
|---|---|---|
| WBC | 4.9 × 103 | /μl |
| RBC | 4.48 × 106 | /μl |
| Hb | 10.5 | g/dl |
| Ht | 33.2 | % |
| PLT | 37.2 × 104 | /μl |
| BUN | 12 | mg/dl |
| Cr | 0.59 | mg/dl |
| Na | 141 | mEq/l |
| K | 3.9 | mEq/l |
| Cl | 104 | mEq/l |
| Ca | 9.7 | mg/dl |
| CRP | 0.74 | mg/dl |
| ALB | 4.7 | g/dl |
| CK | 40 | U/l |
| GOT | 33 | U/l |
| GPT | 66 | U/l |
| ALP | 334 | U/l |
| γ-GTP | 103 | U/l |
| T-Bil | 0.9 | mg/dl |
| D-Bil | 0.3 | mg/dl |
| AMY | 138 | U/l |
| CEA | 1.2 | ng/ml |
| CA19-9 | 29.0 | U/ml |
| Elastase 1 | 437 | ng/dl |
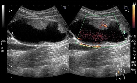
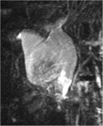
Abdominal ultrasonography revealed a cystic dilatation of the extrahepatic bile duct and two protruding tumors in the lumen of the dilated common bile duct (Fig. 1). Doppler ultrasound detected a blood flow signal within the tumor. Abdominal computed tomography (Fig. 2) demonstrated a cyst within the common bile duct measuring 7 cm in diameter and two enhanced tumors measuring 4 cm in diameter located in the inferior bile duct and middle bile duct. Magnetic resonance cholangiopancreatography (Fig. 3) clearly demonstrated a cystic dilatation of the extrahepatic bile duct (Todani’s CBD classification: type 4-A) [ref. 1]. Endoscopic retrograde cholangiopancreatography (Fig. 4) also demonstrated a cystic dilatation of the bile duct as well as the presence of two tumors. Biopsy of one of the tumors confirmed the presence of adenocarcinoma. Amylase, CA19-9, and carcinoembryonic antigen levels in the choledochal cyst were 54,722 IU/l, 230,853 U/ml, and 3.051 ng/ml, respectively.




At laparotomy, the cystic common bile duct was easily found. The wall of the bile duct had no indurations or scaring. Excision of the perihilar bile duct and subtotal stomach-preserving pancreaticoduodenectomy (SSPPD) with dissection of the major lymph nodes were performed. The proximal stump of the choledochus was negative for malignant cells.
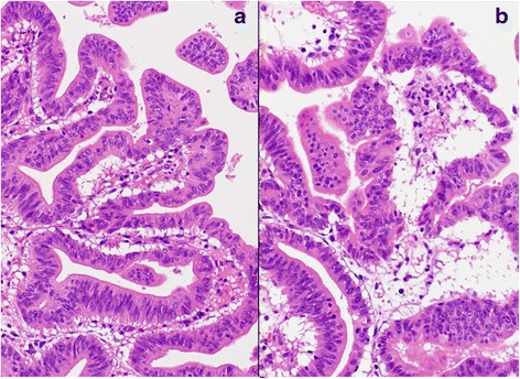
The resected specimen demonstrated tumors in the inferior and middle bile ducts (Fig. 5). Immunostaining was positive for CDX2 and negative for MUC1, MUC2, MUC5AC, MUC6, and p53. According to the Union for International Cancer Control (UICC), sixth edition rules, this case was stage 0 (Tis, N0, and M0). A postoperative histopathologic examination revealed a well-differentiated tubular adenocarcinoma, which entirely remained within the mucosal layer, and no lymph node metastasis was found (Fig. 6). The postoperative course was uneventful, and the patient was discharged 10 days after surgery and has remained disease-free for 21 months.


Discussion
The disease concept of CBD and classification according to morphological features was first described by Alonso-Lej et al. in 1959 [ref. 6]. It is well known that CBD merges with PBM in all cases. PBM is a congenital anomaly defined as a junction of the pancreatic and biliary ducts located outside of the duodenal wall that usually forms a markedly long common channel [ref. 2, ref. 3]. As the action of the sphincter of Oddi does not functionally affect this union, two-way regurgitation (biliopancreatic and pancreatobiliary reflux) occurs, resulting in various pathological conditions in the biliary tract and pancreas [ref. 7, ref. 8]. PBM, particularly in Asian patients, is a well-known risk factor for the development of carcinoma in the biliary tract [ref. 9]. According to a report by Todani et al. [ref. 10], the mean patient age for carcinoma arising in a choledochal cyst is 37 years (range, 15–73 years). Therefore, advanced biliary tract carcinoma in teenage patients is relatively uncommon.
A MEDLINE literature search of English language articles revealed only six cases of biliary tract carcinoma in patients with PBM or CBD younger than 20 years (Table 2) [ref. 11–ref. 16]. Of these six patients, half were male and the most common PBM subtype was C-P, in which the common bile duct joins the major pancreatic duct. According to the classification of Todani [ref. 17], two patients had type 1a disease and two had type 4-A disease. The most common histological type of cancer was adenocarcinoma, and four cases underwent complete tumor resection of the choledochal cyst.
Table 2: Biliary tract carcinoma in patients with PBM or CBD younger than 20 years
| No. | Author | Year | Sex | Age | Classification of Todani | Location of carcinoma | Operation | Histopathology | Outcome |
|---|---|---|---|---|---|---|---|---|---|
| 1 | Armanino | 1946 | Male | 17 | Unknown | Liver | Autopsy case | Adenocarcinoma | Dead |
| 2 | Fujiwara | 1976 | Female | 17 | Unknown | Choledochal duct cyst, mesenteric lymph node | Biopsy of a mesenteric lymph node | Adenocarcinoma | Dead |
| 3 | Iwai | 1990 | Female | 12 | 4-A | Intrapancreatic duct | Cyst excision, hepaticojejunostomy | Adenocarcinoma | Dead |
| 4 | Tanaka | 2006 | Male | 11 | 4-A | Cyst wall, common hepatic duct | Cyst excision, PpPD | Adenocarcinoma | Alive |
| 5 | Nakamura | 2008 | Female | 15 | 1a | Cyst wall, liver metastases | PpPD, partial hepatectomy | Adenocarcinoma | Unknown |
| 6 | Saikusa | 2009 | Male | 3 | 1a | Cyst wall | Cyst excision, hepaticojejunostomy | Adenocarcinoma | Alive |
| 7 | Our case | 2015 | Female | 16 | 4-A | Cyst wall | Cyst excision, SSPPD | Adenocarcinoma | Alive |
PpPD pylorus-preserving pancreaticoduodenectomy
In the present case, the bile amylase level in the common bile duct was 54,722 IU/l, so chronic inflammation leading to malignant change was observed. This high amylase level in the choledochal cyst suggested a free reflux of pancreatic juice into the biliary system that might have caused chronic inflammation in the choledochal cyst [ref. 18]. The carcinogenesis of CBD coexisting with PBM is considered to involve the hyperplasia-dysplasia-carcinoma sequence provoked by chronic inflammation resulting from a reflux of pancreatic juices into the biliary tract [ref. 4, ref. 5]. Strong cytotoxic substances are produced when phospholipase A2 in the pancreatic juice mixes with bile, which have been recognized both clinically and experimentally to be injurious to cell membranes. Moreover, the subsequent chronic inflammation provokes high proliferative activity in the mucosal epithelia, finally resulting in CBD in PBM patients [ref. 19].
Once a diagnosis of CBD is made, early radical surgery for CBD combined with thorough intraoperative histopathologic examinations may be necessary, irrespective of the patient’s age. A preoperative diagnosis of bile duct carcinoma in CBD is sometimes difficult to establish [ref. 16]. In our case, the enhanced huge tumor in the dilated choledochus on CT was an important clue for the diagnosis of malignancy in CBD. The carcinoma spread to the level of the bile duct in the pancreas; therefore, after additional excision of the perihilar bile duct, SSPPD was performed. The surgical procedure should be modified based on the spread of the carcinoma because radical resection appears to be the only chance of cure in such cases.
Conclusions
We encountered a case of bile duct carcinoma in a 16-year-old female with PBM and CBD. The incidence of cancer in young people with CBD is very low; however, CBD can become cancerous after a long period of time has elapsed. Therefore, at the time of diagnosis of CBD, a preoperative inspection for bile duct carcinoma may be necessary.
Consent
Written informed consent was obtained from the patient’s parents for publication of this case report and all accompanying images. A copy of the written consent form is available for review from the Editor-in-Chief of this journal.
References
- T Todani, Y Watanabe, M Narusue, K Tabuchi, K Okajima. Congenital bile duct cysts: classification, operative procedures, and review of thirty-seven cases including cancer arising from choledochal cyst. Am J Surg, 1977. [DOI | PubMed]
- K Kimura, M Ohto, H Saisho, T Unozawa, Y Tsuchiya, M Morita. Association of gallbladder carcinoma and anomalous pancreaticobiliary ductal union. Gastroenterology, 1985. [PubMed]
- T Kamisawa, N Egawa, H Nakajima, K Tsuruta, A Okamoto, M Matsukawa. Origin of the long common channel based on pancreatographic findings in pancreaticobiliary maljunction. Dig Liv Dis, 2005. [DOI]
- K Shimada, J Yanagisawa, F Nakayama. Increased lysophosphatidylcholine and pancreatic enzyme content in bile of patients with anomalous pancreaticobiliary ductal junction. Hepatology, 1991. [DOI | PubMed]
- K Tokiwa, N Iwai. Early mucosal changes of the gallbladder in patients with anomalous arrangement of the pancreaticobiliary duct. Gastroenterology, 1996. [DOI | PubMed]
- F Alonso-Lej, WB Rever, DJ Pessagno. Congenital choledochal cyst, with a report of 2, and an analysis of 94, cases. Int Abstr Surg, 1959. [PubMed]
- N Komi, T Tamura, Y Miyoshi, K Kunitomo, H Udaka, H Takehara. Nationwide survey of cases of choledochal cyst. Analysis of coexistent anomalies, complications and surgical treatment in 645 cases. Surg Gastroenterol, 1984. [PubMed]
- T Kamisawa, M Matsukawa, K Amemiya, Y Tu, N Egawa, A Okamoto. Pancreatitis associated with pancreaticobiliary maljunction. Hepatogastroenterology, 2003. [PubMed]
- RM Reveille, G Van Stiegmann, GT Everson. Increased secondary bile acids in a choledochal cyst. Possible role in biliary metaplasia and carcinoma. Gastroenterology, 1990. [PubMed]
- T Todani, K Tabuchi, Y Watanabe, T Kobayashi. Carcinoma arising in the wall of congenital bile duct cysts. Cancer, 1979. [DOI | PubMed]
- LP Armanino. Idiopathic dilatation of the common bile duct with coexistent primary hepatic carcinoma; report of a case. Ann Inter Med, 1946. [DOI]
- Y Fujiwara, T Ohizumi, G Kakizaki, T Ishidate. A case of congenital choledochal cyst associated with carcinoma. J Pediatr Surg, 1976. [DOI | PubMed]
- N Iwai, E Deguchi, J Yanagihara, M Iwai, H Matsuo, S Todo. Cancer arising in a choledochal cyst in a 12-year-old girl. J Pediatr Surg, 1990. [DOI | PubMed]
- S Tanaka, M Kubota, M Yagi, N Okuyama, M Ohtaki, S Yamazaki. An 11-year-old male patient demonstrating cholangiocarcinoma associated with congenital biliary dilatation. J Pediatr Surg, 2006. [DOI | PubMed]
- H Nakamura, Y Katayose, T Rikiyama, T Onogawa, K Yamamoto, H Yoshida. Advanced bile duct carcinoma in a 15-year-old patient with pancreaticobiliary maljunction and congenital biliary cystic disease. J Hepatobiliary Pancreat Surg, 2008. [DOI | PubMed]
- N Saikusa, S Naito, Y Iinuma, T Ohtani, N Yokoyama, K Nitta. Invasive cholangiocarcinoma identified in congenital biliary dilatation in a 3-year-old boy. J Pediatr Surg, 2009. [DOI | PubMed]
- T Todani, Y Watanabe, A Toki, Y Morotomi. Classification of congenital biliary cystic disease: special reference to type Ic and IVA cysts with primary ductal stricture. J Hepatobiliary Pancreat Surg, 2003. [DOI | PubMed]
- T Kamisawa, A Okamoto. Biliopancreatic and pancreatobiliary refluxes in cases with and without pancreaticobiliary maljunction: diagnosis and clinical implications. Digestion, 2006. [DOI | PubMed]
- A Tsuchida, T Itoi. Carcinogenesis and chemoprevention of biliary tract cancer in pancreaticobiliary maljunction. World J Gastrointest Oncol, 2010. [DOI | PubMed]
