The analysis of C9orf72 repeat expansions in a large series of clinically and pathologically diagnosed cases with atypical parkinsonism☆
Abstract
A GGGGCC repeat expansion in the C9orf72 gene was recently identified as a major cause of familial and sporadic amyotrophic lateral sclerosis and frontotemporal dementia. There is suggestion that these expansions may be a rare cause of parkinsonian disorders such as progressive supranuclear palsy (PSP), multiple system atrophy (MSA), and corticobasal degeneration (CBD). Screening the C9orf72 gene in 37 patients with features of corticobasal syndrome (CBS) detected an expansion in 3 patients, confirmed by Southern blotting. In a series of 22 patients with clinically diagnosed PSP, we found 1 patient with an intermediate repeat length. We also screened for the C9orf72 expansion in a large series of neuropathologically confirmed samples with MSA (n = 96), PSP (n = 177), and CBD (n = 18). Patients were found with no more than 22 GGGGCC repeats. Although these results still need to be confirmed in a larger cohort of CBS and/or CBD patients, these data suggest that in the presence of a family history and/or motor neuron disease features, patients with CBS or clinical PSP should be screened for the C9orf72 repeat expansion. In addition, we confirm that the C9orf72 expansions are not associated with pathologically confirmed MSA, PSP, or CBD in a large series of cases.
Article type: Brief Report
Keywords: Parkinsonism, Multiple system atrophy (MSA), Progressive supranuclear palsy (PSP), Corticobasal degeneration (CBD) and corticobasal syndrome (CBS)
Affiliations: Department of Molecular Neuroscience, UCL Institute of Neurology, The National Hospital for Neurology and Neurosurgery, London, UK; Neurogenetics Laboratory, UCL Institute of Neurology, The National Hospital for Neurology and Neurosurgery, London, UK; Reta Lila Weston Institute for Neurological Studies, The Queen Square Brain Bank, UCL Institute of Neurology, The National Hospital for Neurology and Neurosurgery, London, UK; The MRC Centre for Neuromuscular Diseases, UCL Institute of Neurology, The National Hospital for Neurology and Neurosurgery, London, UK; Laboratory of Neurogenetics, NIA, NIH, Bethesda, MD, USA; The Sobell Department of Movement Disorders, UCL Institute of Neurology, The National Hospital for Neurology and Neurosurgery, London, UK
License: © 2015 The Authors CC BY 4.0 This is an open access article under the CC BY license (http://creativecommons.org/licenses/by/3.0/).
Article links: DOI: 10.1016/j.neurobiolaging.2014.08.024 | PubMed: 25308964 | PMC: PMC4321829
Relevance: Relevant: mentioned in keywords or abstract
Introduction
The identification of a GGGGCC repeat expansion in the C9orf72 gene (OMIM *614260) has been an important breakthrough in the diagnosis and understanding of neurodegenerative disorders. Expansions in this gene have primarily been identified in familial and sporadic amyotrophic lateral sclerosis (ALS; OMIM #105400) and frontotemporal dementia (FTD; OMIM #600274) (ref. DeJesus-Hernandez et al., 2011; Renton et al., 2011). A greater frequency of expansions has been observed in the Finnish and Northern European populations (ref. Mok et al., 2012). Neuropathologically, TAR DNA-binding protein-43 and p62 inclusions are present in samples carrying C9orf72 expansions but our knowledge of the neuropathology associated with this genetic abnormality is expanding (ref. Bieniek et al., 2013; Neumann, 2013).
Progressive supranuclear palsy (PSP; OMIM #601104), multiple system atrophy (MSA; OMIM #146500), and corticobasal degeneration (CBD) are collectively referred as atypical parkinsonian disorders, and they each have specific and validated diagnostic criteria (ref. Armstrong et al., 2013; Gilman et al., 2008; Litvan et al., 1996). Patients with MSA present with a combination of cerebellar dysfunction, parkinsonism, and autonomic dysfunction and are pathologically characterized by alpha-synuclein immunoreactive glial cytoplasmic inclusions and neuronal loss in the olivopontocerebellar and striatonigral systems (ref. Ahmed et al., 2012). Postural instability and supranuclear gaze palsy are the salient features in PSP, which exhibits predominantly 4-repeat tau in a characteristic distribution including tufted astrocytes and coiled bodies (ref. Williams and Lees, 2009). CBD is pathologically characterized by cortical and striatal 4-repeat tau deposition with astrocytic plaques being the pathologic hallmark (ref. Ling et al., 2010). Corticobasal syndrome (CBS) consists of a constellation of extrapyramidal and frontoparietal cortical features. CBS is the classic clinical presentation of CBD, but many CBS cases turn out to have alternate neuropathology.
The genetic understanding of the atypical parkinsonian disorders, MSA, PSP, and CBD has lagged behind the commoner neurodegenerative conditions of ALS, FTD, and Parkinson’s disease (PD). MSA has been linked to variants in the SNCA gene (ref. Al-Chalabi et al., 2009; Kiely et al., 2013; Ross et al., 2010; Scholz et al., 2009). More recently, variants in COQ2 has been proposed as a cause of familial MSA and a risk factor for sporadic clinically diagnosed MSA in the Japanese population (ref. Multiple-System Atrophy Research Collaboration, 2013), which has failed to be replicated so far (ref. Jeon et al., 2014; Schottlaender et al., 2014; Sharma et al., 2014). Further work could not identify MSA risk genes (ref. Segarane et al., 2009), and a genome-wide association study in MSA is ongoing (Sailer A, personal communication). A genome-wide association study in PSP has confirmed an association with variants in MAPT and has shown a significant signal with variants in EIF2AK3, STX6, and MOBP (ref. Höglinger et al., 2011), but further research is needed to understand these findings. The H1/H1 MAPT haplotype is associated with PSP and CBD and likewise MAPT variants such as p.N410H (ref. Kouri et al., 2014) and p.A152T have been linked to pathologically confirmed CBD and PSP (ref. Houlden et al., 2001; Kara et al., 2012).
Overlap of the clinical features of PSP and CBS are not uncommon, although CBD can have a clinical phenotype of classic PSP, which is known as Richardson syndrome, and rarely PSP may present with CBS (ref. Ling et al., 2010, 2014). In addition, atypical parkinsonian disorders and PD often cluster in pedigrees; however, this is not often inherited in a dominant fashion.
Taking a good family history is essential in the diagnosis of neurodegenerative diseases. Patients with ALS that carry C9orf72 expansions commonly have a history of FTD and/or a family history of other neurodegenerative or neuropsychiatric disorder (ref. Byrne et al., 2012, 2013; Fallis and Hardiman, 2009). Numerous ALS and FTD series have now been screened for C9orf72 expansions (ref. Rademakers, 2012). The expansions have also been rarely identified in PD, CBS, PSP, MSA-cerebellar type, and dementia with Lewy bodies (ref. Dejesus-Hernandez et al., 2013; Lesage et al., 2013; Lindquist et al., 2013; Snowden et al., 2012; Ticozzi et al., 2014). The expansion has also been detected in some families with Alzheimer’s disease (AD) but few had pathologic confirmation (ref. Beck et al., 2013; Harms et al., 2013; Majounie et al., 2012; Xi et al., 2012). C9orf72 expansions have been identified in nondemented healthy elderly individuals, suggesting incomplete penetrance (ref. Beck et al., 2013; Cooper-Knock et al., 2013; Galimberti et al., 2014).
Based on the large heterogeneity of patients with a C9orf72 repeat expansion we aim to assess the frequency of this genetic variation in a large series of patients with atypical parkinsonism.
Methods
Informed consent and standard protocol approvals
Informed consent was obtained for genetic analysis from all patients. Brain tissue from neuropathologically confirmed samples was obtained from the Queen Square, Harvard, Maryland and the Netherlands Brain Banks (UCLH ethics approval (UG2UPD|04/Q0505/2). Tissue is stored in the Queen Square Brain Bank (QSBB) under a license from the Human Tissue Authority and has been donated for research according to protocols approved by the NRES committee London-Central.
Sample and DNA extraction
Screening for the C9orf72 expansion was performed in both clinically diagnosed atypical parkinsonism patients as well as pathologically confirmed samples. The clinically diagnosed cohort included CBS (n = 37) and PSP (n = 22) samples, and the pathologically confirmed series comprised MSA (n = 96), PSP (n = 177), and CBD (n = 18) samples.
Genomic DNA was extracted from peripheral blood using Flexigene extraction kit and Autopure LS extraction system (Qiagen, Venlo, the Netherlands) and from brain tissue using the DNeasy Tissue Kit (Qiagen, Hilden, Germany) according to the manufacturer’s instructions.
Repeat-primed polymerase chain reaction
To provide a qualitative assessment of the presence of an expanded GGGGCC hexanucleotide repeat in C9orf72, we performed a repeat-primed polymerase chain reaction (PCR). The repeat was amplified with a PCR reaction performed in the presence of 1 M betaine, with Extensor long PCR master mix (Thermo Scientific), using a previously described cycling program (ref. Gijselinck et al., 2012). Primer sequences using one fluorescently labeled primer were used as previously published (ref. DeJesus-Hernandez et al., 2011). A second sizing PCR was also used to size alleles of <30 repeats. This PCR used previously published primers (ref. DeJesus-Hernandez et al., 2011) in a reaction with Extensor long PCR master mix (Thermo Scientific) supplemented with betaine, dimethyl sulfoxide, magnesium chloride, and 7-deaza-2-deoxy GTP. All PCR products were analyzed by fragment length analysis on an automated ABI3730 DNA-analyzer, and allele identification and scoring was accomplished using GeneMapper v3.7 software (ABI).
Southern blotting
Confirmation of expansions and intermediate repeats was performed by Southern blotting with a 1 kb single copy probe as previously described (ref. Fratta et al., 2013) but using BsU36I or BamHI/EcoRI restriction enzyme digests that generate a 6.2 kb or 2.4 kb band for unexpanded alleles, respectively, rather than the EcoRI digest used previously that generates an 8 kb band.
Results
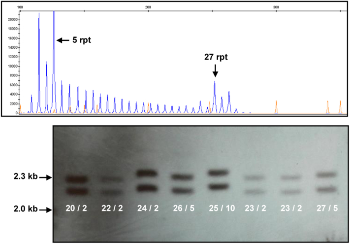
Among clinically diagnosed patients, a pathologic expansion in C9orf72 was detected in 3 CBS patients, representing a significant association when compared with published British controls (p < 0.001) (ref. Beck et al., 2013) (Fig. 1, Table 1). A single patient with clinically diagnosed PSP was found to carry an intermediate allele of 27 repeat length in C9orf72 (Fig. 2). All these expansions were confirmed by Southern blot (Figs. 1 and 2).

Table 1: Results of C9orf72 repeat expansion screening in atypical parkinsonism
| Diagnosis | Number of samples | Expanded |
|---|---|---|
| MSA (pathologically confirmed) | 96 | 0 |
| CBD (pathologically confirmed) | 18 | 0 |
| PSP (pathologically confirmed) | 177 | 0 |
| CBS (clinical) | 37 | 3 (p < 0.001a) |
| PSP (clinical) | 22 | 1 (27 repeats) |
| British controls (clinical) | 7579 | 11 |
Key: CBD, corticobasal degeneration; CBS, corticobasal syndrome; MSA, multiple system atrophy; PSP, progressive supranuclear palsy.

All pathologically confirmed MSA, PSP, and CBD samples were found not to have pathologic expansions. No patient had more than 22 GGGGCC C9orf72 repeats (range, 2–22 repeats).
Clinically, the 3 patients that carry a large C9orf72 expansion presented with a CBS phenotype classified as probable CBD according to consensus criteria. One of them had additional motor-neuron features and the other 2 had dysphagia and dysarthria as salient features. Two expansion carriers had a family history of dementia. The patient with a 27-repeat allele had an onset later in life, presented and progressed as typical PSP, and had a family history of dementia as well as Parkinson’s disease.
The full clinical characteristics of the patients with expansions are described in Table 2. The family tree of the patient with an intermediate repeat is presented in Fig. 3.
Table 2: Clinical characteristics of the CBS patients with expansions in the C9orf72 gene, and the clinically diagnosed PSP patient with an allele of 27 repeats
| Age of onset, gender | Repeat | Initial presentation | Previous psychiatric features | Other clinical features | Working diagnosis | CBD variant (consensus criteria) | Family history | Imaging |
|---|---|---|---|---|---|---|---|---|
| 51, F | Expanded | Falls and personality change | Depression | Akinetic-rigid syndrome with cognitive decline and asymmetrical upper-motor neuron signs. Progressed with minimal L-dopa response and atrophy on MRI brain scan. | CBS | Probable-CBS | Father with dementia in his early 50s | MRI: generalized volume loss. DATSCAN: bilateral severe deficit of presynaptic dopamine transporter in the basal ganglia. |
| 44, F | Expanded | Parkinsonism after head trauma | No | Atypical PD with cognitive decline after 9 y, asymmetrical limb manifestations, falls, hypometric saccades and frontal liberation signs, dysphagia, and dysarthria | CBS | Probable-CBS | Mother diagnosed with Pick disease | MRI: atrophy. |
| 60, M | Expanded | Parkinsonism (hypomimia, shuffling gait, and reduced arm swing) | Possibly | Tremor, dysphagia and dysarthria, impaired memory and reduced concentration, staring expression with frontalis overactivity. Asymmetrical parkinsonism poorly responsive to L-dopa. | CBS | Probable-CBS (frontal behavioral-spatial syndrome) | No | MRI: generalized volume loss with marked involvement of the frontal and temporal lobes more severe on the left. |
| 74, F | Intermediate allele of 27 repeats | Writing difficulties and falls | No | Parkinsonism, restriction of vertical gaze, cognitive decline, echolalia, brisk reflexes, dysphagia | Clinical PSP | Probable PSP | See pedigree (Fig. 3) | MRI: the superior cerebellar peduncles were found slender, general atrophy. |
Key: CBD, corticobasal degeneration; CBS, corticobasal syndrome; F, female; M, male; MRI, magnetic resonance imaging; PD, Parkinson’s disease; PSP, progressive supranuclear palsy.

Discussion
In this study, we identified a C9orf72 expansion in 3 patients with a clinical history consistent with CBS and 1 intermediate expansion in a patient with a clinical history of PSP. The identification of CBS patients with C9orf72 repeat expansions is an important point to portray to clinicians and diagnostic laboratories. A positive family history was present in 3 of 4 of these patients. This suggests the diagnostic workup of CBS patients with a possible and/or probable family history, in the presence of motor-neuron features, should include screening for C9orf72 expansions (ref. Ticozzi et al., 2014). The counseling of other family members will be an important issue to discuss in depth given the reduced penetrance and the very rare identification of the expanded repeat in elderly controls (ref. Beck et al., 2013; Galimberti et al., 2014). Furthermore, C9orf72 repeat expansions may have relevance in patients with CBS and other neurodegenerative disorders, which can have heterogeneous underlying neuropathology (ref. Kouri et al., 2011; Ling et al., 2010). The expansion should also be screened in patients with familial AD as FTD may have an amnestic AD-like presentation.
In addition, we found the absence of C9orf72 repeat expansions in the largest series of pathologically confirmed MSA, PSP, and CBD samples screened to date. This adds to our knowledge of this genetic abnormality and helps to define the spectrum of C9orf72 expansion-associated neuropathology. Other unknown and likely poorly penetrant genetic variations consisting of SNPs or repeat expansions in other genes may still be associated with these disorders, although any new genetic finding in MSA would probably differ from PSP and CBD in view of their pathologic differences.
The pathologic cutoff for C9orf72 repeat expansions remains debatable. Repeat sizes between 20 and 30 are commonly referred to as intermediate alleles and are of uncertain significance; although above 30 repeats are frequently considered pathologic. FTD patients with 20–22 repeats have been reported in the past without any significant clinical difference in the FTD phenotype compared with those with large expansion (ref. Gómez-Tortosa et al., 2013). The C9orf72 intermediate repeat copies were found to be a significant risk factor for PD in a Spanish study (ref. Nuytemans et al., 2013) but later could not be confirmed in a pathologically confirmed PD cohort (ref. Nuytemans et al., 2014). There is also debate in the field that expansions in C9orf72 are actually disease modifiers and not disease causative. This belief is reinforced by the fact that double mutants have been identified (ref. Ferrari et al., 2012; King et al., 2013; Mignarri et al., 2014; van Blitterswijk et al., 2013). It is also important to this study that MAPT has been found mutated in PSP and GRN in CBS—both of which are FTD-associated genes (ref. Benussi et al., 2009; Dopper et al., 2011; Höglinger et al., 2011). Defects in these genes in our cases had been previously excluded.
In this study, the significance of the individual with an intermediate allele of 27 repeats in C9orf72 is unknown, although the late onset PSP phenotype and the family history may be suggestive of pathogenicity. Unfortunately, we are unable to investigate segregation in this family because of lack of DNA in the deceased patients.
The issue of penetrance, intermediate alleles, and the true pathologic cutoff will be of significant importance in the future from a diagnostic point of view. Predictive counseling of unaffected individuals in families will rely on a future understanding of the mechanistic basis of the expansion and the differences in risk conferred by repeat size variation.
Disclosure statement
The authors have no conflicts of interest or financial disclosures.
References
- Z. Ahmed, Y.T. Asi, A. Sailer, A.J. Lees, H. Houlden, T. Revesz, J.L. Holton. The neuropathology, pathophysiology and genetics of multiple system atrophy. Neuropathol. Appl. Neurobiol., 2012. [PubMed]
- A. Al-Chalabi, A. Dürr, N.W. Wood, M.H. Parkinson, A. Camuzat, J.-S. Hulot, K.E. Morrison, A. Renton, S.D. Sussmuth, B.G. Landwehrmeyer, A. Ludolph, Y. Agid, A. Brice, P.N. Leigh, G. Bensimon. Genetic variants of the alpha-synuclein gene SNCA are associated with multiple system atrophy. PLoS One, 2009. [PubMed]
- M.J. Armstrong, I. Litvan, A.E. Lang, T.H. Bak, K.P. Bhatia, B. Borroni, A.L. Boxer, D.W. Dickson, M. Grossman, M. Hallett, K.A. Josephs, A. Kertesz, S.E. Lee, B.L. Miller, S.G. Reich, D.E. Riley, E. Tolosa, A.I. Tröster, M. Vidailhet, W.J. Weiner. Criteria for the diagnosis of corticobasal degeneration. Neurology, 2013. [PubMed]
- J. Beck, M. Poulter, D. Hensman, J.D. Rohrer, C.J. Mahoney, G. Adamson, T. Campbell, J. Uphill, A. Borg, P. Fratta, R.W. Orrell, A. Malaspina, J. Rowe, J. Brown, J. Hodges, K. Sidle, J.M. Polke, H. Houlden, J.M. Schott, N.C. Fox, M.N. Rossor, S.J. Tabrizi, A.M. Isaacs, J. Hardy, J.D. Warren, J. Collinge, S. Mead. Large C9orf72 hexanucleotide repeat expansions are seen in multiple neurodegenerative syndromes and are more frequent than expected in the UK population. Am. J. Hum. Genet., 2013. [PubMed]
- L. Benussi, R. Ghidoni, E. Pegoiani, D.V. Moretti, O. Zanetti, G. Binetti. Progranulin Leu271LeufsX10 is one of the most common FTLD and CBS associated mutations worldwide. Neurobiol. Dis., 2009. [PubMed]
- K.F. Bieniek, M.E. Murray, N.J. Rutherford, M. Castanedes-Casey, M. DeJesus-Hernandez, A.M. Liesinger, M.C. Baker, K.B. Boylan, R. Rademakers, D.W. Dickson. Tau pathology in frontotemporal lobar degeneration with C9ORF72 hexanucleotide repeat expansion. Acta Neuropathol., 2013. [PubMed]
- S. Byrne, M. Elamin, P. Bede, A. Shatunov, C. Walsh, B. Corr, M. Heverin, N. Jordan, K. Kenna, C. Lynch, R.L. McLaughlin, P.M. Iyer, C. O’Brien, J. Phukan, B. Wynne, A.L. Bokde, D.G. Bradley, N. Pender, A. Al-Chalabi, O. Hardiman. Cognitive and clinical characteristics of patients with amyotrophic lateral sclerosis carrying a C9orf72 repeat expansion: a population-based cohort study. Lancet Neurol., 2012. [PubMed]
- S. Byrne, M. Heverin, M. Elamin, P. Bede, C. Lynch, K. Kenna, R. MacLaughlin, C. Walsh, A. Al Chalabi, O. Hardiman. Aggregation of neurologic and neuropsychiatric disease in amyotrophic lateral sclerosis kindreds: a population-based case-control cohort study of familial and sporadic amyotrophic lateral sclerosis. Ann. Neurol., 2013. [PubMed]
- J. Cooper-Knock, A. Frolov, J.R. Highley, G. Charlesworth, J. Kirby, A. Milano, J. Hartley, P.G. Ince, C.J. McDermott, T. Lashley, T. Revesz, P.J. Shaw, N.W. Wood, O. Bandmann. C9ORF72 expansions, parkinsonism, and Parkinson disease: a clinicopathologic study. Neurology, 2013. [PubMed]
- M. DeJesus-Hernandez, I.R. Mackenzie, B.F. Boeve, A.L. Boxer, M. Baker, N.J. Rutherford, A.M. Nicholson, N.A. Finch, H. Flynn, J. Adamson, N. Kouri, A. Wojtas, P. Sengdy, G.-Y.R. Hsiung, A. Karydas, W.W. Seeley, K.A. Josephs, G. Coppola, D.H. Geschwind, Z.K. Wszolek, H. Feldman, D.S. Knopman, R.C. Petersen, B.L. Miller, D.W. Dickson, K.B. Boylan, N.R. Graff-Radford, R. Rademakers. Expanded GGGGCC hexanucleotide repeat in noncoding region of C9ORF72 causes chromosome 9p-linked FTD and ALS. Neuron, 2011. [PubMed]
- M. Dejesus-Hernandez, S. Rayaprolu, A.I. Soto-Ortolaza, N.J. Rutherford, M.G. Heckman, S. Traynor, A. Strongosky, N. Graff-Radford, J. Van Gerpen, R.J. Uitti, J.J. Shih, S.C. Lin, Z.K. Wszolek, R. Rademakers, O.A. Ross. Analysis of the C9orf72 repeat in Parkinson’s disease, essential tremor and restless legs syndrome. Parkinsonism Relat. Disord., 2013. [PubMed]
- E.G.P. Dopper, H. Seelaar, W.Z. Chiu, I. de Koning, R. van Minkelen, M.C. Baker, A.J.M. Rozemuller, R. Rademakers, J.C. van Swieten. Symmetrical corticobasal syndrome caused by a novel C.314dup progranulin mutation. J. Mol. Neurosci., 2011. [PubMed]
- B.A. Fallis, O. Hardiman. Aggregation of neurodegenerative disease in ALS kindreds. Amyotroph. Lateral Scler., 2009. [PubMed]
- R. Ferrari, K. Mok, J.H. Moreno, S. Cosentino, J. Goldman, P. Pietrini, R. Mayeux, M.C. Tierney, D. Kapogiannis, G.A. Jicha, J.R. Murrell, B. Ghetti, E.M. Wassermann, J. Grafman, J. Hardy, E.D. Huey, P. Momeni. Screening for C9ORF72 repeat expansion in FTLD. Neurobiol. Aging, 2012. [PubMed]
- P. Fratta, M. Poulter, T. Lashley, J.D. Rohrer, J.M. Polke, J. Beck, N. Ryan, D. Hensman, S. Mizielinska, A.J. Waite, M.-C. Lai, T.F. Gendron, L. Petrucelli, E.M.C. Fisher, T. Revesz, J.D. Warren, J. Collinge, A.M. Isaacs, S. Mead. Homozygosity for the C9orf72 GGGGCC repeat expansion in frontotemporal dementia. Acta Neuropathol., 2013. [PubMed]
- D. Galimberti, B. Arosio, C. Fenoglio, M. Serpente, S.M.G. Cioffi, R. Bonsi, P. Rossi, C. Abbate, D. Mari, E. Scarpini. Incomplete penetrance of the C9ORF72 hexanucleotide repeat expansions: frequency in a cohort of geriatric non-demented subjects. J. Alzheimers Dis., 2014. [PubMed]
- I. Gijselinck, T. Van Langenhove, J. van der Zee, K. Sleegers, S. Philtjens, G. Kleinberger, J. Janssens, K. Bettens, C. Van Cauwenberghe, S. Pereson, S. Engelborghs, A. Sieben, P. De Jonghe, R. Vandenberghe, P. Santens, J. De Bleecker, G. Maes, V. Bäumer, L. Dillen, G. Joris, I. Cuijt, E. Corsmit, E. Elinck, J. Van Dongen, S. Vermeulen, M. Van den Broeck, C. Vaerenberg, M. Mattheijssens, K. Peeters, W. Robberecht, P. Cras, J.-J. Martin, P.P. De Deyn, M. Cruts, C. Van Broeckhoven. A C9orf72 promoter repeat expansion in a Flanders-Belgian cohort with disorders of the frontotemporal lobar degeneration-amyotrophic lateral sclerosis spectrum: a gene identification study. Lancet Neurol., 2012. [PubMed]
- S. Gilman, G.K. Wenning, P.A. Low, D.J. Brooks, C.J. Mathias, J.Q. Trojanowski, N.W. Wood, C. Colosimo, A. Dürr, C.J. Fowler, H. Kaufmann, T. Klockgether, A. Lees, W. Poewe, N. Quinn, T. Revesz, D. Robertson, P. Sandroni, K. Seppi, M. Vidailhet. Second consensus statement on the diagnosis of multiple system atrophy. Neurology, 2008. [PubMed]
- E. Gómez-Tortosa, J. Gallego, R. Guerrero-López, A. Marcos, E. Gil-Neciga, M.J. Sainz, A. Díaz, E. Franco-Macías, M.J. Trujillo-Tiebas, C. Ayuso, J. Pérez-Pérez. C9ORF72 hexanucleotide expansions of 20-22 repeats are associated with frontotemporal deterioration. Neurology, 2013. [PubMed]
- M. Harms, B.A. Benitez, N. Cairns, B. Cooper, P. Cooper, K. Mayo, D. Carrell, K. Faber, J. Williamson, T. Bird, R. Diaz-Arrastia, T.M. Foroud, B.F. Boeve, N.R. Graff-Radford, R. Mayeux, S. Chakraverty, A.M. Goate, C. Cruchaga. C9orf72 hexanucleotide repeat expansions in clinical Alzheimer disease. JAMA Neurol., 2013. [PubMed]
- G.U. Höglinger, N.M. Melhem, D.W. Dickson, P.M.A. Sleiman, L.-S. Wang, L. Klei, R. Rademakers, R. de Silva, I. Litvan, D.E. Riley, J.C. van Swieten, P. Heutink, Z.K. Wszolek, R.J. Uitti, J. Vandrovcova, H.I. Hurtig, R.G. Gross, W. Maetzler, S. Goldwurm, E. Tolosa, B. Borroni, P. Pastor, L.B. Cantwell, M.R. Han, A. Dillman, M.P. van der Brug, J.R. Gibbs, M.R. Cookson, D.G. Hernandez, A.B. Singleton, M.J. Farrer, C.-E. Yu, L.I. Golbe, T. Revesz, J. Hardy, A.J. Lees, B. Devlin, H. Hakonarson, U. Müller, G.D. Schellenberg. Identification of common variants influencing risk of the tauopathy progressive supranuclear palsy. Nat. Genet., 2011. [PubMed]
- H. Houlden, M. Baker, H.R. Morris, N. MacDonald, S. Pickering-Brown, J. Adamson, A.J. Lees, M.N. Rossor, N.P. Quinn, A. Kertesz, M.N. Khan, J. Hardy, P.L. Lantos, P. St George-Hyslop, D.G. Munoz, D. Mann, A.E. Lang, C. Bergeron, E.H. Bigio, I. Litvan, K.P. Bhatia, D. Dickson, N.W. Wood, M. Hutton. Corticobasal degeneration and progressive supranuclear palsy share a common tau haplotype. Neurology, 2001. [PubMed]
- B.S. Jeon, M.J. Farrer, S.F. Bortnick. Mutant COQ2 in multiple-system atrophy. N. Engl. J. Med., 2014. [PubMed]
- E. Kara, H. Ling, A.M. Pittman, K. Shaw, R. de Silva, R. Simone, J.L. Holton, J.D. Warren, J.D. Rohrer, G. Xiromerisiou, A. Lees, J. Hardy, H. Houlden, T. Revesz. The MAPT p.A152T variant is a risk factor associated with tauopathies with atypical clinical and neuropathological features. Neurobiol. Aging, 2012. [PubMed]
- A.P. Kiely, Y.T. Asi, E. Kara, P. Limousin, H. Ling, P. Lewis, C. Proukakis, N. Quinn, A.J. Lees, J. Hardy, T. Revesz, H. Houlden, J.L. Holton. α-Synucleinopathy associated with G51D SNCA mutation: a link between Parkinson’s disease and multiple system atrophy?. Acta Neuropathol., 2013. [PubMed]
- A. King, S. Al-Sarraj, C. Troakes, B.N. Smith, S. Maekawa, M. Iovino, M.G. Spillantini, C.E. Shaw. Mixed tau, TDP-43 and p62 pathology in FTLD associated with a C9ORF72 repeat expansion and p.Ala239Thr MAPT (tau) variant. Acta Neuropathol., 2013. [PubMed]
- N. Kouri, Y. Carlomagno, M. Baker, A.M. Liesinger, R.J. Caselli, Z.K. Wszolek, L. Petrucelli, B.F. Boeve, J.E. Parisi, K.A. Josephs, R.J. Uitti, O.A. Ross, N.R. Graff-Radford, M.A. DeTure, D.W. Dickson, R. Rademakers. Novel mutation in MAPT exon 13 (p.N410H) causes corticobasal degeneration. Acta Neuropathol. (Berl.), 2014
- N. Kouri, J.L. Whitwell, K.A. Josephs, R. Rademakers, D.W. Dickson. Corticobasal degeneration: a pathologically distinct 4R tauopathy. Nat. Rev. Neurol., 2011. [PubMed]
- S. Lesage, I. Le Ber, C. Condroyer, E. Broussolle, A. Gabelle, S. Thobois, F. Pasquier, K. Mondon, P.A. Dion, D. Rochefort, G.A. Rouleau, A. Dürr, A. Brice. C9orf72 repeat expansions are a rare genetic cause of parkinsonism. Brain, 2013. [PubMed]
- S.G. Lindquist, M. Duno, M. Batbayli, A. Puschmann, H. Braendgaard, S. Mardosiene, K. Svenstrup, L.H. Pinborg, K. Vestergaard, L.E. Hjermind, J. Stokholm, B.B. Andersen, P. Johannsen, J.E. Nielsen. Corticobasal and ataxia syndromes widen the spectrum of C9ORF72 hexanucleotide expansion disease. Clin. Genet., 2013. [PubMed]
- H. Ling, R. de Silva, L.A. Massey, R. Courtney, G. Hondhamuni, N. Bajaj, J. Lowe, J.L. Holton, A. Lees, T. Revesz. Characteristics of progressive supranuclear palsy presenting with corticobasal syndrome: a cortical variant. Neuropathol. Appl. Neurobiol., 2014. [PubMed]
- H. Ling, S.S. O’Sullivan, J.L. Holton, T. Revesz, L.A. Massey, D.R. Williams, D.C. Paviour, A.J. Lees. Does corticobasal degeneration exist? A clinicopathological re-evaluation. Brain, 2010. [PubMed]
- I. Litvan, Y. Agid, D. Calne, G. Campbell, B. Dubois, R.C. Duvoisin, C.G. Goetz, L.I. Golbe, J. Grafman, J.H. Growdon, M. Hallett, J. Jankovic, N.P. Quinn, E. Tolosa, D.S. Zee. Clinical research criteria for the diagnosis of progressive supranuclear palsy (Steele-Richardson-Olszewski syndrome): report of the NINDS-SPSP international workshop. Neurology, 1996. [PubMed]
- E. Majounie, Y. Abramzon, A.E. Renton, R. Perry, S.S. Bassett, O. Pletnikova, J.C. Troncoso, J. Hardy, A.B. Singleton, B.J. Traynor. Repeat expansion in C9ORF72 in Alzheimer’s disease. N. Engl. J. Med., 2012. [PubMed]
- A. Mignarri, S. Battistini, M.L. Tomai Pitinca, L. Monti, L. Burroni, F. Ginanneschi, C. Ricci, A. Bavazzano, A. Federico, G. Restagno, M.T. Dotti. Double trouble? Progranulin mutation and C9ORF72 repeat expansion in a case of primary non-fluent aphasia. J. Neurol. Sci., 2014. [PubMed]
- K. Mok, B.J. Traynor, J. Schymick, P.J. Tienari, H. Laaksovirta, T. Peuralinna, L. Myllykangas, A. Chiò, A. Shatunov, B.F. Boeve, A.L. Boxer, M. DeJesus-Hernandez, I.R. Mackenzie, A. Waite, N. Williams, H.R. Morris, J. Simón-Sánchez, J.C. van Swieten, P. Heutink, G. Restagno, G. Mora, K.E. Morrison, P.J. Shaw, P.S. Rollinson, A. Al-Chalabi, R. Rademakers, S. Pickering-Brown, R.W. Orrell, M.A. Nalls, J. Hardy. Chromosome 9 ALS and FTD locus is probably derived from a single founder. Neurobiol. Aging, 2012. [PubMed]
- Mutations in COQ2 in familial and sporadic multiple-system atrophy. N. Engl. J. Med., 2013. [PubMed]
- M. Neumann. Frontotemporal lobar degeneration and amyotrophic lateral sclerosis: molecular similarities and differences. Rev. Neurol. (Paris), 2013. [PubMed]
- K. Nuytemans, G. Bademci, M.M. Kohli, G.W. Beecham, L. Wang, J.I. Young, F. Nahab, E.R. Martin, J.R. Gilbert, M. Benatar, J.L. Haines, W.K. Scott, S. Züchner, M.A. Pericak-Vance, J.M. Vance. C9ORF72 intermediate repeat copies are a significant risk factor for Parkinson disease. Ann. Hum. Genet., 2013. [PubMed]
- K. Nuytemans, V. Inchausti, G.W. Beecham, L. Wang, D.W. Dickson, J.Q. Trojanowski, V.M.-Y. Lee, D.C. Mash, M.P. Frosch, T.M. Foroud, L.S. Honig, T.J. Montine, T.M. Dawson, E.R. Martin, W.K. Scott, J.M. Vance. Absence of C9ORF72 expanded or intermediate repeats in autopsy-confirmed Parkinson’s disease. Mov. Disord., 2014. [PubMed]
- R. Rademakers. C9orf72 repeat expansions in patients with ALS and FTD. Lancet Neurol., 2012. [PubMed]
- A.E. Renton, E. Majounie, A. Waite, J. Simón-Sánchez, S. Rollinson, J.R. Gibbs, J.C. Schymick, H. Laaksovirta, J.C. van Swieten, L. Myllykangas, H. Kalimo, A. Paetau, Y. Abramzon, A.M. Remes, A. Kaganovich, S.W. Scholz, J. Duckworth, J. Ding, D.W. Harmer, D.G. Hernandez, J.O. Johnson, K. Mok, M. Ryten, D. Trabzuni, R.J. Guerreiro, R.W. Orrell, J. Neal, A. Murray, J. Pearson, I.E. Jansen, D. Sondervan, H. Seelaar, D. Blake, K. Young, N. Halliwell, J.B. Callister, G. Toulson, A. Richardson, A. Gerhard, J. Snowden, D. Mann, D. Neary, M.A. Nalls, T. Peuralinna, L. Jansson, V.-M. Isoviita, A.-L. Kaivorinne, M. Hölttä-Vuori, E. Ikonen, R. Sulkava, M. Benatar, J. Wuu, A. Chiò, G. Restagno, G. Borghero, M. Sabatelli, D. Heckerman, E. Rogaeva, L. Zinman, J.D. Rothstein, M. Sendtner, C. Drepper, E.E. Eichler, C. Alkan, Z. Abdullaev, S.D. Pack, A. Dutra, E. Pak, J. Hardy, A. Singleton, N.M. Williams, P. Heutink, S. Pickering-Brown, H.R. Morris, P.J. Tienari, B.J. Traynor. A hexanucleotide repeat expansion in C9ORF72 is the cause of chromosome 9p21-linked ALS-FTD. Neuron, 2011. [PubMed]
- O.A. Ross, C. Vilariño-Güell, Z.K. Wszolek, M.J. Farrer, D.W. Dickson. Reply to: SNCA variants are associated with increased risk of multiple system atrophy. Ann. Neurol., 2010. [PubMed]
- S.W. Scholz, H. Houlden, C. Schulte, M. Sharma, A. Li, D. Berg, A. Melchers, R. Paudel, J.R. Gibbs, J. Simon-Sanchez, C. Paisan-Ruiz, J. Bras, J. Ding, H. Chen, B.J. Traynor, S. Arepalli, R.R. Zonozi, T. Revesz, J. Holton, N. Wood, A. Lees, W. Oertel, U. Wüllner, S. Goldwurm, M.T. Pellecchia, T. Illig, O. Riess, H.H. Fernandez, R.L. Rodriguez, M.S. Okun, W. Poewe, G.K. Wenning, J.A. Hardy, A.B. Singleton, F. Del Sorbo, S. Schneider, K.P. Bhatia, T. Gasser. SNCA variants are associated with increased risk for multiple system atrophy. Ann. Neurol., 2009. [PubMed]
- L.V. Schottlaender, H. Houlden. Mutant COQ2 in multiple-system atrophy. N. Engl. J. Med., 2014. [PubMed]
- B. Segarane, A. Li, R. Paudel, S. Scholz, J. Neumann, A. Lees, T. Revesz, J. Hardy, C.J. Mathias, N.W. Wood, J. Holton, H. Houlden. Glucocerebrosidase mutations in 108 neuropathologically confirmed cases of multiple system atrophy. Neurology, 2009. [PubMed]
- M. Sharma, G. Wenning, R. Krüger. Mutant COQ2 in multiple-system atrophy. N. Engl. J. Med., 2014. [PubMed]
- J.S. Snowden, S. Rollinson, C. Lafon, J. Harris, J. Thompson, A.M. Richardson, M. Jones, A. Gerhard, D. Neary, D.M.A. Mann, S. Pickering-Brown. Psychosis, C9ORF72 and dementia with Lewy bodies. J. Neurol. Neurosurg. Psychiatry, 2012. [PubMed]
- N. Ticozzi, C. Tiloca, D. Calini, S. Gagliardi, A. Altieri, C. Colombrita, C. Cereda, A. Ratti, G. Pezzoli, B. Borroni, S. Goldwurm, A. Padovani, V. Silani. C9orf72 repeat expansions are restricted to the ALS-FTD spectrum. Neurobiol. Aging, 2014. [PubMed]
- M. Van Blitterswijk, M.C. Baker, M. DeJesus-Hernandez, R. Ghidoni, L. Benussi, E. Finger, G.-Y.R. Hsiung, B.J. Kelley, M.E. Murray, N.J. Rutherford, P.E. Brown, T. Ravenscroft, B. Mullen, P.E.A. Ash, K.F. Bieniek, K.J. Hatanpaa, A. Karydas, E.M. Wood, G. Coppola, E.H. Bigio, C. Lippa, M.J. Strong, T.G. Beach, D.S. Knopman, E.D. Huey, M. Mesulam, T. Bird, C.L. White, A. Kertesz, D.H. Geschwind, V.M. Van Deerlin, R.C. Petersen, G. Binetti, B.L. Miller, L. Petrucelli, Z.K. Wszolek, K.B. Boylan, N.R. Graff-Radford, I.R. Mackenzie, B.F. Boeve, D.W. Dickson, R. Rademakers. C9ORF72 repeat expansions in cases with previously identified pathogenic mutations. Neurology, 2013. [PubMed]
- D.R. Williams, A.J. Lees. Progressive supranuclear palsy: clinicopathological concepts and diagnostic challenges. Lancet Neurol., 2009. [PubMed]
- Z. Xi, L. Zinman, Y. Grinberg, D. Moreno, C. Sato, J.M. Bilbao, M. Ghani, I. Hernández, A. Ruiz, M. Boada, F.J. Morón, A.E. Lang, C. Marras, A. Bruni, R. Colao, R.G. Maletta, G. Puccio, I. Rainero, L. Pinessi, D. Galimberti, K.E. Morrison, C. Moorby, J.D. Stockton, M. Masellis, S.E. Black, L.-N. Hazrati, Y. Liang, J. van Haersma de With, L. Fornazzari, R. Villagra, R. Rojas-Garcia, J. Clarimón, R. Mayeux, J. Robertson, P. St George-Hyslop, E. Rogaeva. Investigation of c9orf72 in 4 neurodegenerative disorders. Arch. Neurol., 2012. [PubMed]
