Obstructive jaundice as a rare complication of multiple pancreaticoduodenal artery aneurysms due to median arcuate ligament syndrome: a case report and review of the literature
Abstract
Background:
Obstructive jaundice has various causes, and one of the rarest is pancreaticoduodenal artery aneurysm (PDAA), which is often associated with celiac axis stenosis caused by median arcuate ligament syndrome (MALS).
Case presentation:
The patient was a 77-year-old Azeri woman who presented with progressive jaundice, vague abdominal pain, and abdominal distension from 6 months ago. The intra- and extrahepatic bile ducts were dilated, the liver’s margin was slightly irregular, and the echogenicity of the liver was mildly heterogeneous in the initial ultrasound exam. A huge cystic mass with peripheral calcification and compressive effect on the common bile duct (CBD) was also seen near the pancreatic head, which was connected to the superior mesenteric artery (SMA) and had internal turbulent blood flow on color Doppler ultrasound. According to the computed tomography angiography (CTA) findings, the huge mass of the pancreatic head was diagnosed as a true aneurysm of the pancreaticoduodenal artery caused by MALS. Two similar smaller aneurysms were also present at the huge aneurysm’s superior margin. Due to impending rupture signs in the huge aneurysm, the severe compression effect of this aneurysm on CBD, and the patient’s family will surgery was chosen for the patient to resect the aneurysms, but unfortunately, the patient died on the first day after the operation due to hemorrhagic shock.
Conclusion:
In unexpected obstructive jaundice due to a mass with vascular origin in the head of the pancreas, PDAA should be considered, and celiac trunk should be evaluated because the main reason for PDAA is celiac trunk stenosis or occlusion by atherosclerosis or MALS. The treatment method chosen (including transarterial embolization, open surgery, or combined method) depends on the patient’s clinical status and radiological findings, but transarterial embolization would be safer and should be used as a first-line method.
Article type: Case Report
Keywords: Jaundice, Superior mesenteric artery, Pancreaticoduodenal artery aneurysm, Median arcuate ligament syndrome, Common bile duct, Computed tomography angiography, Case report
Affiliations: grid.412888.f0000 0001 2174 8913Medical Radiation Sciences Research Group, Tabriz University of Medical Sciences, Tabriz, Iran; grid.412888.f0000 0001 2174 8913Department of Radiology, Emam Reza Hospital, Tabriz University of Medical Sciences, Tabriz, Iran; grid.412888.f0000 0001 2174 8913Department of General Surgery, Emam Reza Hospital, Faculty of Medicine, Tabriz University of Medical Sciences, Tabriz, Iran; grid.412888.f0000 0001 2174 8913Student Research Committee, Tabriz University of Medical Sciences, Tabriz, Iran; grid.412888.f0000 0001 2174 8913Department of Surgical and Clinical Pathology, Emam Reza Hospital, Tabriz University of Medical Sciences, Tabriz, Iran
License: © The Author(s) 2023 CC BY 4.0 Open Access This article is licensed under a Creative Commons Attribution 4.0 International License, which permits use, sharing, adaptation, distribution and reproduction in any medium or format, as long as you give appropriate credit to the original author(s) and the source, provide a link to the Creative Commons licence, and indicate if changes were made. The images or other third party material in this article are included in the article’s Creative Commons licence, unless indicated otherwise in a credit line to the material. If material is not included in the article’s Creative Commons licence and your intended use is not permitted by statutory regulation or exceeds the permitted use, you will need to obtain permission directly from the copyright holder. To view a copy of this licence, visit http://creativecommons.org/licenses/by/4.0/. The Creative Commons Public Domain Dedication waiver (http://creativecommons.org/publicdomain/zero/1.0/) applies to the data made available in this article, unless otherwise stated in a credit line to the data.
Article links: DOI: 10.1186/s13256-023-04114-6 | PubMed: 37689729 | PMC: PMC10493028
Relevance: Relevant: mentioned in keywords or abstract
Full text: PDF (1.8 MB)
Introduction
The fusiform aneurysm is a focal dilatation of an artery at least 1.5 times its predicted diameter, while a saccular aneurysm is a berrylike outpouching. Both of these conditions are classified as true aneurysms and contain all three layers of a vessel wall. Pseudoaneurysm doesn’t have all of these layers and is a consequence of intimal disruption, which leads to abnormal to-and-fro blood flow outside the vessel’s lumen [ref. 1]. Due to their non-specific symptoms, visceral artery aneurysms (VAAs) are rarely discovered, although their mortality rate is 25–75% [ref. 2]. Among the visceral arteries, the pancreaticoduodenal artery (PDA) is less involved [ref. 3], and about 2% of VAAs belong to pancreaticoduodenal artery aneurysms (PDAA) [ref. 4].
Aneurysms or pseudoaneurysms of PDA are usually caused by celiac artery occlusion or stenosis, pancreatitis, bacterial infection, and iatrogenic trauma from surgery or vascular manipulation [ref. 5]. In most cases, PDAA is caused by stenosis or occlusion of the common hepatic or celiac artery due to MALS (median arcuate ligament syndrome) or atherosclerosis [ref. 6]. 68% of MALS patients had PDAA, indicating a close link between these conditions [ref. 7]. In fact, due to celiac artery stenosis, the arterial pressure gradient in the pancreaticoduodenal arteries reverses, and retrograde blood flow from the superior mesenteric artery (SMA) enters the PDA to supply the organs normally nourished by the celiac trunk [ref. 5, ref. 8]. This phenomenon causes hemodynamic stress on these vessels, making them prone to aneurysm formation [ref. 9].
PDAAs are usually asymptomatic and are not diagnosed until they rupture. However, due to the increased use of diagnostic modalities today, the rate of accidental diagnosis and reporting of asymptomatic PDAAs has increased [ref. 10]. Although, in scarce situations, mass-effect symptoms such as biliary obstruction [ref. 11], abdominal pain, abdominal distention, and spontaneous retroperitoneal hemorrhage [ref. 12] can be seen. When PDAA is ruptured, the mortality rate reaches 50%, even in asymptomatic cases [ref. 13]. So therapeutic interventions are recommended regardless of the size of the aneurysm [ref. 14].
In this study, we present an extremely rare case of multiple PDAAs caused by MALS in a 77-year-old woman who presented with obstructive jaundice. Following that, we discuss the imaging findings of this patient with a pathological correlation, as well as a review of the literature on the characteristics of PDAA in the setting of MALS and its treatment approaches.
Case presentation
The patient was a 77 years old Azeri woman who presented with progressive jaundice, vague abdominal pain, and abdominal distention from 6 months ago. For the past month, the patient has been experiencing multiple episodes of severe consecutive coughing. Outpatient evaluations, including chest computed tomography (CT) scans and Spirometry, did not show any abnormalities. The patient denied a history of smoking, asthma, other chronic pulmonary diseases, recent respiratory tract infections, or taking new medication. Therefore, we started empiric treatment to relieve her coughs, which included omeprazole 40 mg once daily, inhaled budesonide 400 mcg per day, inhaled salbutamol 400 mcg per day, Brompheniramine 6 mg twice daily, and dextromethorphan 20 mg daily. In addition, the patient has had diabetes and hypertension for around 30 years. These conditions are treated with Metformin 500 mg twice daily and Lozartan-H 12.5 mg twice daily, respectively.
Laboratory data showed significantly elevated levels of direct bilirubin and alkaline phosphatase suggestive of cholestasis. Aspartate aminotransferase (AST) and alanine aminotransferase (ALT) levels were also mildly increased. Complete blood count (CBC) was normal, and erythrocyte sedimentation rate (ESR) and c-reactive protein (CRP) levels were not increased. CA 19-9 was in the normal range. In Appendix 1 we present an overview of important laboratory results.
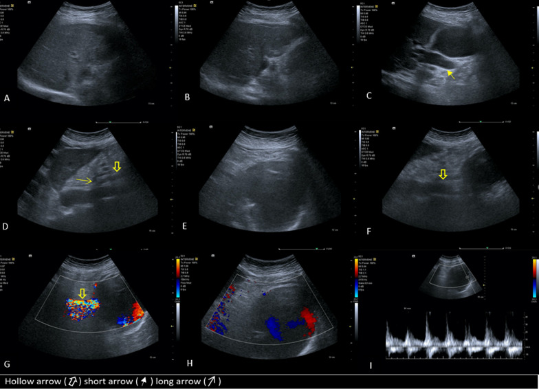
With suspicion of a mass causing obstructive jaundice, ultrasonography was performed. Ultrasonography showed a large cystic mass with peripheral calcification in the head of the pancreas leading to moderate dilation of extra and intrahepatic bile ducts. In the Doppler ultrasound exam, the mass had turbulent blood flow with yin and yang sign and was connected to the superior mesenteric artery, suggesting aneurysmal dilation or pseudoaneurysm of this artery or its branches. Also, the echogenicity of the liver was mildly heterogeneous, and its margin was not completely smooth, in favor of chronic parenchymal liver disease (Fig. 1).

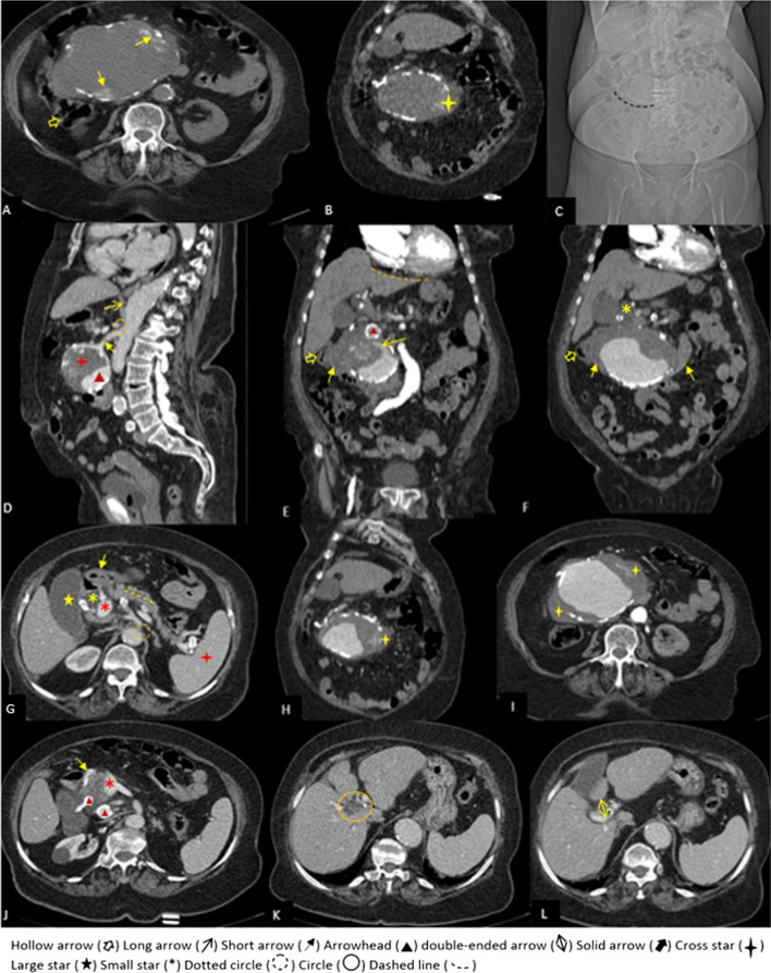
In the non-contrast CT that was done before the computed tomography angiography (CTA), there was a huge mass (14 × 10 × 9 cm) with peripheral discontinuous calcification near the head of the pancreas extending superiorly to the subhepatic region and inferiorly medial to the cecum and causing severe compression on D2 and D3 portion of the duodenum and the common bile duct (CBD). Moreover, marginal hyperdense crescent areas were present (Fig. 2A–C). After contrast injection in the arterial phase of CTA, the mass had a density like an aorta and originated superiorly from the posterior surface of the proximal portion of the SMA. The aneurysm was inferiorly connected to the tortuous atherosclerotic vessels around the head of the pancreas. These vessels superiorly originated from the gastroduodenal artery. All arterial branches supplying the bowel loops originated from own SMA, not from this aneurysm. These findings suggest that the huge aneurysm originated from the inferior pancreaticoduodenal artery, which was connected to SMA on one side and to anterior and posterior pancreaticoduodenal arteries on the other (Figs. 2D, 3A, C, D).


There was mural thrombosis in the aneurysm, which was accompanied by a linear extension of intraluminal contrast through the mural thrombosis, indicating a thrombosis fissuration sign (Fig. 2E). Discontinuous calcification of the aneurysm’s wall was present, and there were areas of focal bulging of the aneurysm’s lumen to the surrounding mesenteric fat, associated with mild stranding and minimal fluid in these areas. Two smaller aneurysms (2.5 × 2.5 cm and 1.5 × 1.2 cm) were also seen adjacent to the superomedial margin of the huge aneurysm, originating from the posterior branch of the gastroduodenal artery (superior posterior pancreaticoduodenal artery) (Figs. 2E, J, 3C, D). A significant narrowing at the origin of the celiac trunk was noted due to diaphragmatic crura compression, indicating median arcuate ligament syndrome (Figs. 1D, 2D, G, 3C).
Although there was no obvious evidence of the aneurysm’s rupture or extravasation of contrast but the presence of hyperdense crescent sign on non-contrast CT, thrombus fissuration sign on CTA, and areas of focal bulging of aneurysm’s lumen associated with adjacent fat stranding were impending rupture signs of aneurysm which all of them necessitates the early treatment.
So, conventional angiography (CA) was done (Fig. 3) to evaluate the precise anatomy of aneurysms, confirm CTA findings, and to perform transarterial embolization (TAE), but CA was terminated early due to some reasons. First of all, it was impossible to interpret digital subtraction angiography (DSA) images due to blurring caused by the patient’s coughing. More significantly, the patient experienced dizziness following a puncture of the femoral artery. When she became dizzy, her blood pressure was 90/60, and her heart rate was 100. Fortunately, with close observation, minimal hydration therapy (up to 200 cc of fluid), and leg elevation, her vital signs quickly returned to normal. Her hemodynamics had stabilized after three hours, and hemorrhagic shock was ruled out. Her symptoms were assumed to be the result of reflex syncope brought on by coughing and arterial puncture. After the patient’s blood pressure and heart rate returned to normal, the angiographic procedure could be completed while she was under general anesthesia. However, we were leaning towards the surgical option due to the lack of patient and family consent for general anesthesia to perform supplementary angiography.
The massive size of the aneurysm (the largest diameter among previously reported cases) as well as the severe compression of the aneurysm on CBD causing chronic cholestasis leading to some degrees of chronic liver disease, were other reasons to do open surgery, which could theoretically resolve obstructive jaundice, and prevent the progression of chronic liver disease by resection of giant aneurysm and two other smaller aneurysms. Decompressing the celiac trunk from the diaphragmatic crura was also possible by the surgery plan.
Under general anesthesia, an anterior incision was made in the midline of the abdomen. The large aneurysm of the SMA branch had caused the elevation of the D3 and D4 parts of the duodenum. The duodenum was released, allowing access to the suprarenal and infrarenal aorta. The SMA artery was then exposed and released from the base of the transverse colon to a length of 5 cm. The distal portion of the SMA, beyond the replaced right hepatic branch (the first branch of the SMA), was explored and heparinized.
To preserve the blood supply to vital structures, such as the intestines, the anterior main branch of the SMA was meticulously preserved. However, the posterior branch of the SMA, from which the aneurysm sac originated, was clamped both proximally and distally to prevent further complications. Then, the aneurysm sac was carefully opened, resulting in the evacuation of multiple clots. In addition to the ligation of the proximal and distal ends of the aneurysm, the branches inside the aneurysm sac were also ligated to ensure complete hemostasis.
Following thorough washing and meticulous hemostasis, the huge aneurysm’s sac was covered. The same procedure was done for two smaller gastroduodenal arteries (GDA) branch aneurysms (posterior superior pancreaticoduodenal artery) after clamping of GDA (beyond the right gastroepiploic origin). Our concern about hepatic ischemia was resolved because of the presence of replaced right hepatic artery from SMA, which was preserved during surgery, and fortunately, no evidence of hepatic or biliary ischemia was seen after the surgery.
Finally, transection of MAL and peri-arterial tissue was performed, and decompression of the celiac axis was done. After the division of MAL, blood flow was restored in the proper hepatic artery by palpation. In the end, the abdominal wall was repaired, and the patient was transferred to the recovery room and then surgery ICU. The next day after surgery, the patient suffered a sudden drop in blood pressure and shock and unfortunately passed away. Pathology of resected aneurysms confirmed the presence of all three layers of the arterial wall and the absence of inflammatory infiltrates, fibrinoid necrosis, or evidence of vasculitis in the arterial wall (Fig. 4). Unfortunately, the patient’s family did not consent to an autopsy, but the most likely cause of death was hemorrhagic shock due to a blow out of a ligated artery in frail perivascular tissues.

Discussion
The presented case described a rare cause of jaundice caused by the compressive effect of multiple pancreaticoduodenal aneurysms caused by median arcuate ligament syndrome. A few cases of obstructive jaundice caused by the compressive effect of PDAA have been reported to our knowledge (Table 1). 72.7% were male, and our case is the third known female patient with this condition. The mortality rate was 45.4%, and prior to our case, all deceased patients were male. The reported patients had an average age of 63 (between 48 and 84). Endovascular therapy was the most commonly used treatment method, either alone or in conjunction with surgery. Among the four previously reported deaths (as shown in Table 1), two were untreated, one was due to endovascular therapy, and one was due to surgical treatment.
Table 1: previous case reports of obstructive jaundice as a rare complication of pancreaticoduodenal artery aneurysm
| No | Author | Year | Sex | Age | Presentation | CAS | Rupture | Mass | Diagnosis methods | Treatment | F/U |
|---|---|---|---|---|---|---|---|---|---|---|---|
| 1 | Sampsel et al. [ref. 15] | 1952 | M | 68 | Painless jaundice, pruritus, acholic stools, and dark-colored urine | NA | Yes | 2.5 cm aneurysm of "anomaIous" artery ruptured into pancreas | Abdominal X-rayLaparatomy | Hepaticodochoenterostomy | D |
| 2 | Hasselgren et al. [ref. 16] | 1976 | F | 62 | Pain under the right costal margin, and jaundice | NA | No | Large aneurysm | Abdominal X-ray | AneurysmectomyExploratory choledochotomy | S |
| 3 | Scheflan et al. [ref. 17] | 1977 | M | 56 | Painless jaundice, pruritus, and malaise | Yes | Yes | Large hematoma and 2 cm aneurysm origin from the inferior PDA | Abdominal aortography Selective arteriographyUpper GI seriesUltrasonography | AneurysmectomyExploratory choledochotomyT-tube drainage | S |
| 4 | Kadir et al. [ref. 18] | 1978 | M | 72 | Gastrointestinal bleeding, jaundice, RUQ tenderness, and abdominal distention with ascites | Yes | No | 2.5 × 3.5 cm aneurysm origin from inferior PDA | Selective arteriography | Untreated | D |
| 5 | Bécheur et al. [ref. 19] | 1996 | M | 54 | Jaundice, abdominal pain, and dilatation of the common bile duct | NA | NA | Peripancreatic pseudoaneurysm of the posterior and inferior PDA | Doppler ultrasonography Abdominopelvic CT scan | TAE | S |
| 6 | Widjaja et al. [ref. 20] | 1999 | M | 51 | Epigastric pain, jaundice, severe diarrhoea, and weight loss | NA | Yes | 8.1 × 7.5 × 7.0 cm in left liver lobe aspseudoaneurysm of the PDA | Ultrasonography (B-mode and colour coded Duplex)Intraarterial digitalsubtraction angiography | PTBDTAE | S |
| 7 | Colak et al. [ref. 21] | 2009 | M | 57 | Persistent epigastricpain, weight loss, and jaundice | No | Yes | 8.7 × 6.8 cm pseudoaneurysm origin from inferior PDA | Contrast-enhanced CT scanNon-selective abdominal angiography | Untreated | D |
| 8 | Wattez et al. [ref. 22] | 2013 | F | 64 | Intense acute abdominal pain, dilated intra- and extrahepatic biliary tracts (14 mm) | Yes | No | isolated 2-cm true aneurysm origin from PDA | UltrasonographyContrast-enhanced CT scan | LaparotomyTAE (injection of polymeric synthetic into the aneurysm) | S |
| 9 | Yin et al. [ref. 11] | 2014 | M | 84 | RUQ pain, jaundice | Yes | Yes | Retroperitoneal hematoma and2 cm aneurysm origin from PDA | UltrasonographyAbdominopelvic CT scanCT angiographyConventional angiography | TAE (with no need to drain the liver) | D |
| 10 | Otaegui et al. [ref. 23] | 2016 | M | 48 | Jaundice, epigastric pain, acholic stools, and dark-colored urine, dilated intra- and extrahepatic tracts | Yes | No | 3.5 cm pseudoaneurysm origin from inferior PDA, which was anastomosed with the posterior PDA | Ultrasonography Abdominopelvic CT scan | TAE | S |
| 11 | Current study | 2022 | F | 77 | Jaundice, abdominal pain, and abdominal distention | Yes | No | 14 × 10 × 9 cm true aneurysm, 2.5 × 2.5 cm true aneurysm, and 1.5 × 1.2 cm true aneurysm origin from posterior side of PDA | UltrasonographyDoppler ultrasoundAbdominopelvic CT scanCT angiographyConventional angiography | Laparotomy | D |
PDAA pancreaticoduodenal artery aneurysm, PDA pancreaticoduodenal artery, RUQ right upper quadrant, PTBD percutaneous transhepatic biliary drainage, CT computed tomographic, TAE transcatheter arterial embolization, CAS celiac axis stenosis, M male, F female, F/U follow up, S survival, D death, GI gastrointestinal
Etiology and epidemiology
PDAA is the least common type of VAA, but has a high mortality rate and complications [ref. 24]. According to studies, the mortality rate in PDAA ranges from 26 to 50%. The most common cause of death in this condition is usually hemorrhagic shock caused by the rupture of an aneurysm (the risk is independent of size) [ref. 25, ref. 26]. Etiologies of PDAA are classified into two broad categories based on whether the aneurysm is true or pseudo. A pseudoaneurysm is usually caused by abdominal trauma or pancreatitis, but a true aneurysm is usually due to celiac axis stenosis [ref. 11]. Arterial atherosclerosis and MALS are two potential causes of celiac axis stenosis, which leads to PDAA [ref. 27].
MALS, also known as Dunbar syndrome, is a condition in which the median arcuate ligament puts pressure on the celiac artery, where the abdominal aorta passes through the diaphragm, resulting in celiac artery obstruction or stenosis [ref. 28]. When the blood flow in the celiac trunk is decreased, the compensatory blood flow from SMA enters the PDA, leading to vascular hemodynamic disturbance. These hemodynamic changes can introduce excessive volume and pressure to the vessel wall and eventually lead to PDAA, which can be single or multiple [ref. 29, ref. 30]. MALS is a relatively uncommon condition, affecting only 2 out of every 10,000 people [ref. 31]. This syndrome is mainly seen in thin women in their 4th or 5th decade of life, but the cause and other risk factors of this condition are still unclear [ref. 32, ref. 33].
Clinical manifestation
Although PDAA (as a type of VAA) cases are uncommon [ref. 10], clinical manifestations are more common in PDAA than in other types of VAA. If any clinical symptoms exist, they often include postprandial abdominal pain, nausea, vomiting, and shock due to ruptured aneurysms [ref. 24, ref. 34]. Obstructive jaundice is reported as one of the atypical symptoms in some case reports. In Yin et al. study, eight cases were mentioned that suffered from jaundice due to the compressive effect of PDAA; half of these cases expired, and five cases had ruptured aneurysms. Obstructive jaundice can be caused by the compression effect of the PDAA itself or retroperitoneal and peripancreatic hematoma associated with ruptured PDAA [ref. 11]. If this condition becomes chronic, it can subsequently cause secondary biliary cirrhosis, as in the current report which some radiologic signs of chronic parenchymal liver disease were present. Because of this anatomical position, Schefflen et al. [ref. 17] considered PDAA as a rare differential diagnosis for obstructive jaundice in their presented case.
Diagnosis
As an underlying cause of PDAA, MALS is usually diagnosed by Doppler ultrasound, CTA, and CA [ref. 35]. The first diagnostic modality is Doppler ultrasound, which can show accelerated velocities throughout expiration. Still, we could not do dynamic Doppler ultrasound due to inadequate patient cooperation. The complementary modality for diagnosing MALS is CTA or magnetic resonance angiography (MRA), which can show the compressive effect of the median arcuate ligament on the celiac artery [ref. 36]. This celiac artery narrowing usually looks like a hook and resembles the letter "J." On the other hand, an increase in the thickness of the median arcuate ligament of more than 4 mm is also abnormal and can be a sign of this syndrome [ref. 37]. CA is the gold standard diagnostic method for this syndrome [ref. 28].
PDAA is also usually found incidentally on imaging; most are readily diagnosed in cross-sectional imaging such as CT, CTA, or MRA [ref. 14]. Grey Scale and color Doppler ultrasound can be used to investigate an aneurysm’s presence, especially for giant aneurysms. CTA is a suitable noninvasive diagnostic method for adequately identifying the relationship between aneurysms and related blood vessels, three-dimensional vascular reconstruction, and providing critical data for choosing the therapeutic method. CTA can also be used to assess evidence of PDAA rupture or signs of impending rupture [ref. 12]. A DSA is recommended in complex anatomical circumstances to evaluate an aneurysm and its arterial branch connections [ref. 38].
There are some CT-related features indicating that an aneurysm is an impending rupture. Siegel et al. performed a retrospective study on CT findings of ruptured and unruptured abdominal aortic aneurysms to determine if an aneurysm was at risk of rupture [ref. 39]. Larger anteroposterior and transverse dimensions, less thrombus, high-attenuation crescents within the mural thrombus, and focal discontinuity in otherwise circumferential calcification were all significant findings relating to impending rupture in this study.
Mehard et al. demonstrated the thrombosis fissuration in the wall of the aneurysm as a sign of impending rupture on CT/CTA. This finding is attributed to hemorrhage into thrombosis or aneurysm wall and blood leaking from the lumen into the thrombus, leading to the weakening of the aneurysm’s wall. This sign indicates a forthcoming rupture, and immediate surgical intervention is mandatory. If blood transits the mural thrombosis and reaches the inner surface of the aneurysm’s wall, it can perfuse the periphery of thrombosis along the intimal margin, producing a "hyperattenuating crescent" sign. This entity is associated with a 77% sensitivity and 93% specificity for rupture [ref. 40].
Focal bulging of the aneurysm’s wall (bleb) also implies impending rupture and correlates to inflammatory changes and focal thinning of elastic fibers [ref. 41]. All of these impending rupture of aneurysm signs were present in our case.
Treatment
Before delving into treatment options, it is critical to note that if PDAA is not treated, the mortality rate is 100%. So, regardless of the size of the PDAA, the patient should be treated [ref. 42]. To treat PDAA due to MALS, adequate blood flow to the organs supplied via the celiac axis should be preserved [ref. 43]. In general, there are two approaches to PDAA treatment: surgical procedures and endovascular therapy [ref. 44]. Surgical methods include ligation, resection, exclusion, and endoaneurysmorrhaphy, which were the preferred method in the past. Because the surgical method has a 50% mortality rate and a longer recovery period [ref. 45, ref. 46]; on the other hand, the endovascular method is less invasive and has fewer complications [ref. 35]. Although endovascular methods are now the preferred method [ref. 47], Kubota et al. state that bypass surgery is preferable in unruptured PDAA caused by MALS if the stenosis is 80%, the length of the stenosis is 8 mm, or the distance between the stenosis and the aorta is less than 5 mm (which all of these indications were present in our case) [ref. 48].
TAE with coils is one of the most used interventional methods for the treatment of PDAA patients [ref. 49]. The main concerns regarding the use of TAE are the possibility of insufficient hepatic blood flow and aneurysm recurrence [ref. 50].
According to the previous case reports, a combination of surgical and endovascular methods can be used for some patients. This technique can be implemented in one step or two steps [ref. 43, ref. 51]. For patients who require immediate hemostasis correction and adequate blood flow to upper abdominal organs such as the liver, a one-step method is used, in which emergency TAE is performed concurrently with bypass surgery. For patients with PDAA caused by MALS, the two-step method has been used in two ways: TAE followed by bypass surgery or bypass surgery followed by TAE [ref. 52].
The presence of multiple aneurysms added further complexity to this case. Due to the rarity of multiple PDAA, this condition’s treatment is controversial. In a previous study, the surgical method was chosen in 50% of the cases with multiple aneurysms of the pancreatic arteries (7 out of 14 treated patients) [ref. 53].
Several methods have been used in previous case reports to treat obstructive jaundice caused by the external mechanical force of PDAA on the CBD. Yin et al. mentioned that endovascular therapy specific to PDAA usually resolves obstructive jaundice symptoms [ref. 11]. Otherwise, percutaneous transhepatic biliary drainage (PTBD) may be beneficial [ref. 54, ref. 55]. Importantly, in obstructive jaundice caused by PDAA, endoscopic retrograde cholangiopancreatography (ERCP) carries a high risk of massive bleeding [ref. 56].
When deciding on a treatment method, special consideration should be given to each patient’s unique condition as well as the precise location and origin of the aneurysm. All three therapeutic methods, including bypass surgery, TAE, and combined/hybrid methods, can be used [ref. 49]. The TAE or combined/hybrid methods seemed to be the best and also safe methods with a high success rate [ref. 43, ref. 49]. Endovascular methods can also be used for large or multiple PDAA, as well as conditions that cause obstructive jaundice.
Although we decided to perform TAE first, unfortunately, this procedure could not be completed as planned. The large size of the largest aneurysm, evidence of severe compression effect of aneurysms on CBD leading to chronic parenchymal disease, the multiplicity of aneurysms, accompanying MALS, and the presence of surgery indications mentioned by Kubota et al. [ref. 48] were other factors that led us to choose a surgical plan for the next step. However, in similar cases, including giant or multiple PDAA cases with obstructive jaundice, we recommend using the endovascular or hybrid method under any circumstances.
Conclusion
PDAA following celiac occlusion is one of the rarest causes of obstructive jaundice. So in patients with cholestatic jaundice accompanied by a mass in the pancreatic head with peripheral calcification, it is recommended not to forget this rare cause before invasive procedures such as ERCP, fine needle aspiration, and biopsy to prevent catastrophic hemorrhage. Due to the high mortality and morbidity associated with this condition, further evaluation with CTA is advised when this condition is suspected. The treatment method depends on each patient’s clinical scenario and imaging findings and can be chosen between surgery or endovascular therapy, or a combined method.
| Laboratory test | Result of laboratory test | ||||
|---|---|---|---|---|---|
| Before diagnosis | One day before surgery | Immediately after surgery | One day after surgey | Refrence value | |
| Hemoglobin | 12 | 12.2 | 11.1 | 9.0 | 12–16 |
| Aspartate aminotransferase (AST) | 90 | 95 | 113 | 129 | 0–37 |
| Alanine aminotransferase (ALT) | 50 | 49 | 46 | 61 | 0–31 |
| Alkaline phosphatas | 1873 | 1650 | 703 | 394 | 64–306 |
| Prothrombin time (PT) | 14 | 17.7 | 18.9 | 17 | 11–13.9 |
| Partial Thromboplastin Time (PTT) | 76 | 70 | 98 | 91 | 25–45 |
| international normalised ratio (INR) | 1.2 | 1.29 | 1.38 | 1.24 | 0.9–1 |
| Bilirubin (total) | 30 | 18.3 | 14.8 | 12.5 | 0.2–1.2 |
| Bilirubin (direct) | 16 | 10.3 | 9.2 | 8.5 | 0–0.4 |
| Lactate dehydrogenase (LDH) | 434 | 449 | 422 | 450 | Up to 480 |
| Amylase | 12 | 43 | 23.7 | 51 | Up to 100 |
| Albumin | 2.7 | 2.5 | 2.6 | 2.6 | 3.5–5.2 |
References
- O Ikeda, Y Tamura, Y Nakasone, Y Iryou, Y Yamashita. Nonoperative management of unruptured visceral artery aneurysms: treatment by transcatheter coil embolization. J Vasc Surg, 2008. [DOI | PubMed]
- MA Abbas, WM Stone, RJ Fowl, P Gloviczki, WA Oldenburg, PC Pairolero. Splenic artery aneurysms: two decades experience at Mayo clinic. Ann Vasc Surg, 2002. [DOI | PubMed]
- R Badea, M Barsan, T Scridon, G Miclaus, O Pascu, G Molnar. Superior mesenteric artery aneurysm: importance of sonography as the primary imaging technique for detection. J Ultrasound Med, 2010. [DOI | PubMed]
- PS Paty, JA Cordero, RC Darling, BB Chang, DM Shah, RP Leather. Aneurysms of the pancreaticoduodenal artery. J Vasc Surg, 1996. [DOI | PubMed]
- M Katsura, M Gushimiyagi, H Takara, H Mototake. True aneurysm of the pancreaticoduodenal arteries: a single institution experience. J Gastrointest Surg, 2010. [DOI | PubMed]
- S Miyayama, T Terada, M Tamaki. Ruptured pancreaticoduodenal artery aneurysm associated with median arcuate ligament compression and aortic dissection successfully treated with embolotherapy. Ann Vasc Dis, 2015. [DOI | PubMed]
- P Quandalle, JP Chambon, P Marache, A Saudemont, B Maes. Pancreaticoduodenal artery aneurysms associated with celiac axis stenosis: report of two cases and review of the literature. Ann Vasc Surg, 1990. [DOI | PubMed]
- A Sakatani, Y Doi, T Kitayama, T Matsuda, Y Sasai, N Nishida. Pancreaticoduodenal artery aneurysm associated with coeliac artery occlusion from an aortic intramural hematoma. World J Gastroenterol, 2016. [DOI | PubMed]
- A Watanabe, H Kohtake, S Furui, K Takeshita, Y Ishikawa, S Morita. Celiac artery dissection seen with ruptured pancreaticoduodenal arcade aneurysms in two cases of celiac artery stenosis from compression by median arcuate ligament. J Vasc Surg, 2012. [DOI | PubMed]
- R Kallamadi, MA Demoya, SP Kalva. Inferior pancreaticoduodenal artery aneurysms in association with celiac stenosis/occlusion. Semin Intervent Radiol, 2009. [DOI | PubMed]
- T Yin, Z Wan, H Chen, X Mao, Y Yi, D Li. Obstructive jaundice caused by pancreaticoduodenal artery aneurysms associated with celiac axis stenosis: case report and review of the literature. Ann Vasc Surg, 2015. [DOI | PubMed]
- 12.Tan EWK, Shelat VG, Monteiro AY, Low JK. Spontaneous retroperitoneal haemorrhage from pancreatoduodenal artery (PDA) rupture and associated complications. BMJ Case Rep. 2022;15(10).
- JA Brocker, JL Maher, RW Smith. True pancreaticoduodenal aneurysms with celiac stenosis or occlusion. Am J Surg, 2012. [DOI | PubMed]
- RA Chaer, CJ Abularrage, DM Coleman, MH Eslami, VS Kashyap, C Rockman. The Society for Vascular Surgery clinical practice guidelines on the management of visceral aneurysms. J Vasc Surg, 2020. [DOI | PubMed]
- JW Sampsel, FM Barry, HD Steele. Aneurysm of an anomalous pancreaticoduodenal artery; case report and review of the literature. AMA Arch Surg, 1952. [DOI | PubMed]
- PO Hasselgren, A Rottier. Aneurysm of the pancreaticoduodenal artery. A case report. Acta Chir Scand, 1976. [PubMed]
- M Scheflan, S Kadir, CA Athanasoulis, SE Hedberg. Pancreaticoduodenal artery aneurysm simulating carcinoma of the head of the pancreas. Arch Surg, 1977. [DOI | PubMed]
- S Kadir, CA Athanasoulis, HY Yune, H Wilkov. Aneurysms of the pancreaticoduodenal arteries in association with celiac axis occlusion. Cardiovasc Radiol, 1978. [DOI | PubMed]
- H Bécheur, M Zins, P Lévy, V Vilgrain, Y Menu, P Bernades. A rare cause of obstructive jaundice: peripancreatic pseudoaneurysm. Gastroenterol Clin Biol, 1996. [PubMed]
- A Widjaja, H Rosenthal, J Bleck, B Walter, C Gölkel, J Rademaker. Pitfall: a pseudo tumor within the left liver lobe presenting with abdominal pain, jaundice and severe weight loss. Ultraschall Med, 1999. [DOI | PubMed]
- MC Colak, H Kocaturk, E Bayram, L Karaca. Inferior pancreaticoduodenal artery false aneurysm: a rare cause of gastrointestinal bleeding diagnosed by three-dimensional computed tomography. Singapore Med J, 2009. [PubMed]
- H Wattez, J Lancelevée, C Perot, D Massouille, JP Chambon. Compressive pancreaticoduodenal artery aneurysm associated with celiac artery stenosis. Ann Vasc Surg, 2013. [DOI | PubMed]
- L Gallego Otaegui, A SainzLete, RD Gutiérrez Ríos, M AlkortaZuloaga, X Arteaga Martín, R Jiménez Agüero. Obstructive jaundice caused by a pancreaticoduodenal pseudoaneurysm. Rev Esp Enferm Dig, 2016. [PubMed]
- S Sharma, R Prasad, A Gupta, P Dwivedi, S Mohindra, RR Yadav. Aneurysms of pancreaticoduodenal arcade: clinical profile and endovascular strategies. JGH Open, 2020. [DOI | PubMed]
- M de Perrot, T Berney, J Deléaval, L Bühler, G Mentha, P Morel. Management of true aneurysms of the pancreaticoduodenal arteries. Ann Surg, 1999. [DOI | PubMed]
- JA Degheili, A El Chediak, MYR Dergham, A Al-Kutoubi, AH Hallal. Pancreaticoduodenal artery aneurysm associated with celiac trunk stenosis: case illustration and literature review. Case Rep Radiol, 2017. [PubMed]
- HM Park, SD Lee, EC Lee, IJ Lee, SS Han, HB Kim. Celiac axis stenosis as a rare but critical condition treated with pancreatoduodenectomy: report of 2 cases. Ann Surg Treat Res, 2016. [DOI | PubMed]
- S Iqbal, M Chaudhary. Median arcuate ligament syndrome (Dunbar syndrome). Cardiovasc Diagn Ther, 2021. [DOI | PubMed]
- Y Mano, Y Takehara, T Sakaguchi, MT Alley, H Isoda, T Shimizu. Hemodynamic assessment of celiaco-mesenteric anastomosis in patients with pancreaticoduodenal artery aneurysm concomitant with celiac artery occlusion using flow-sensitive four-dimensional magnetic resonance imaging. Eur J Vasc Endovasc Surg, 2013. [DOI | PubMed]
- S Tokuda, S Sakuraba, H Orita, M Sakurada, T Kushida, H Maekawa. Aneurysms of pancreaticoduodenal artery due to median arcuate ligament syndrome, treated by open surgery and laparoscopic surgery. Case Rep Surg, 2019. [PubMed]
- M Duran, F Simon, N Ertas, H Schelzig, N Floros. Open vascular treatment of median arcuate ligament syndrome. BMC Surg, 2017. [DOI | PubMed]
- M Trinidad-Hernandez, P Keith, I Habib, JV White. Reversible gastroparesis: functional documentation of celiac axis compression syndrome and postoperative improvement. Am Surg, 2006. [DOI | PubMed]
- 33.Sidawy AP, Perler BA. Rutherford’s vascular surgery and endovascular therapy. Elsevier Health Sciences. 2018.
- MR Corey, EA Ergul, RP Cambria, VI Patel, RT Lancaster, CJ Kwolek. The presentation and management of aneurysms of the pancreaticoduodenal arcade. J Vasc Surg, 2016. [DOI | PubMed]
- C Chivot, L Rebibo, B Robert, JM Regimbeau, T Yzet. Ruptured pancreaticoduodenal artery aneurysms associated with celiac stenosis caused by the median arcuate ligament: a poorly known etiology of acute abdominal pain. Eur J Vasc Endovasc Surg, 2016. [DOI | PubMed]
- RA Tembey, AS Bajaj, PK Wagle, AS Ansari. Real-time ultrasound: key factor in identifying celiac artery compression syndrome. Indian J Radiol Imaging, 2015. [DOI | PubMed]
- 37.Gaillard F, Alhusseiny, K. Celiac artery compression syndrome|Radiology Reference Article|Radiopaedia.org. Radiopaedia. 2022.
- S Sanampudi, D Raissi. Aberrant inferior pancreaticoduodenal artery during upper gastrointestinal bleed embolization. Cureus, 2019. [PubMed]
- CL Siegel, RH Cohan, M Korobkin, MB Alpern, DL Courneya, RA Leder. Abdominal aortic aneurysm morphology: CT features in patients with ruptured and nonruptured aneurysms. AJR, 1994. [DOI | PubMed]
- WB Mehard, JP Heiken, GA Sicard. High-attenuating crescent in abdominal aortic aneurysm wall at CT: a sign of acute or impending rupture. Radiology, 1994. [DOI | PubMed]
- J Roy, F Labruto, MO Beckman, J Danielson, G Johansson, J Swedenborg. Bleeding into the intraluminal thrombus in abdominal aortic aneurysms is associated with rupture. J Vasc Surg, 2008. [DOI | PubMed]
- A Peyrottes, D Mariage, P Baqué, D Massalou. Pancreaticoduodenal artery aneurysms due to median arcuate ligament syndrome: what we need to know. Surg Radiol Anat, 2018. [DOI | PubMed]
- S Kii, H Kamachi, D Abo, T Kato, Y Tsuruga, K Wakayama. Combined treatment of an aortosplenic bypass followed by coil embolization in the treatment of pancreaticoduodenal artery aneurysms caused by median arcuate ligament compression: a report of two cases. Surg Case Rep, 2021. [DOI | PubMed]
- R Arata, Y Matsugu, A Oshita, T Itamoto. Surgical treatment of pancreaticoduodenal artery aneurysm due to median arcuate ligament syndrome for which intraoperative doppler ultrasonography was beneficiala case report. Pancreas, 2020. [DOI | PubMed]
- MD Sgroi, NK Kabutey, M Krishnam, RM Fujitani. Pancreaticoduodenal artery aneurysms secondary to median arcuate ligament syndrome may not need celiac artery revascularization or ligament release. Ann Vasc Surg, 2015. [DOI | PubMed]
- DP Coll, R Ierardi, MD Kerstein, S Yost, A Wilson, T Matsumoto. Aneurysms of the pancreaticoduodenal arteries: a change in management. Ann Vasc Surg, 1998. [DOI | PubMed]
- K Flood, AA Nicholson. Inferior pancreaticoduodenal artery aneurysms associated with occlusive lesions of the celiac axis: diagnosis, treatment options, outcomes, and review of the literature. Cardiovasc Intervent Radiol, 2013. [DOI | PubMed]
- 48.Kubota K, Shimizu A, Notake T, Wada Y, Soejima Y. Treatment strategies for unruptured pancreaticoduodenal artery aneurysms associated with celiac artery occlusion. Annal Gastroenterolog Surg.
- 49.Ghoneim B, Nash C, Akmenkalne L, Cremen S, Canning C, Colgan MP, et al. Staged treatment for pancreaticoduodenal artery aneurysm with coeliac artery revascularisation: case report and systematic review. Vascular. 2022:17085381221124991.
- R Antoniak, L Grabowska-Derlatka, R Maciąg, T Ostrowski, I Nawrot, Z Gałązka. Treatment algorithm of peripancreatic arteries aneurysm coexisting with coeliac artery lesion: single institution experience. Biomed Res Int, 2018. [DOI | PubMed]
- MA Simon, N Hedayati, WC Pevec. Hybrid approach to aneurysms of the pancreaticoduodenal artery associated with occlusion of the celiac axis. Ann Vasc Surg., 2017. [DOI | PubMed]
- S Bageacu, M Cuilleron, D Kaczmarek, J Porcheron. True aneurysms of the pancreaticoduodenal artery: successful non-operative management. Surgery, 2006. [DOI | PubMed]
- B Aryal, T Komokata, T Ueno, B Yamamoto, T Senokuchi, H Yasuda. A 2-stage surgical and endovascular treatment of rare multiple aneurysms of pancreatic arteries. Ann Vasc Surg., 2017. [DOI | PubMed]
- DM Sheldon, M Crawford, S Mihrshahi, J Gallagher, D Storey. Therapeutic considerations in obstructive jaundice due to hepatic artery aneurysm. HPB (Oxford), 2006. [DOI | PubMed]
- M Bednarek, P Budzyński, M Poźniczek, K Rembiasz. Percutaneous ultrasound-guided drainage of the biliary tree in palliative treatment of mechanical jaundice: 17 years of experience. Wideochir Inne Tech Maloinwazyjne, 2012. [PubMed]
- FE Eckhauser, JC Stanley, GB Zelenock, GS Borlaza, DT Freier, SM Lindenauer. Gastroduodenal and pancreaticoduodenal artery aneurysms: a complication of pancreatitis causing spontaneous gastrointestinal hemorrhage. Surgery, 1980. [PubMed]
